ISO 9001:2015 Certified
Live Customer Support
4.5/5 on Trustpilot
100% Quality Guarantee

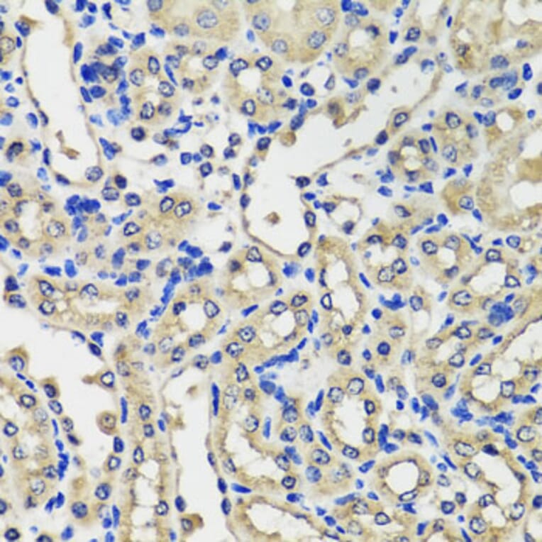
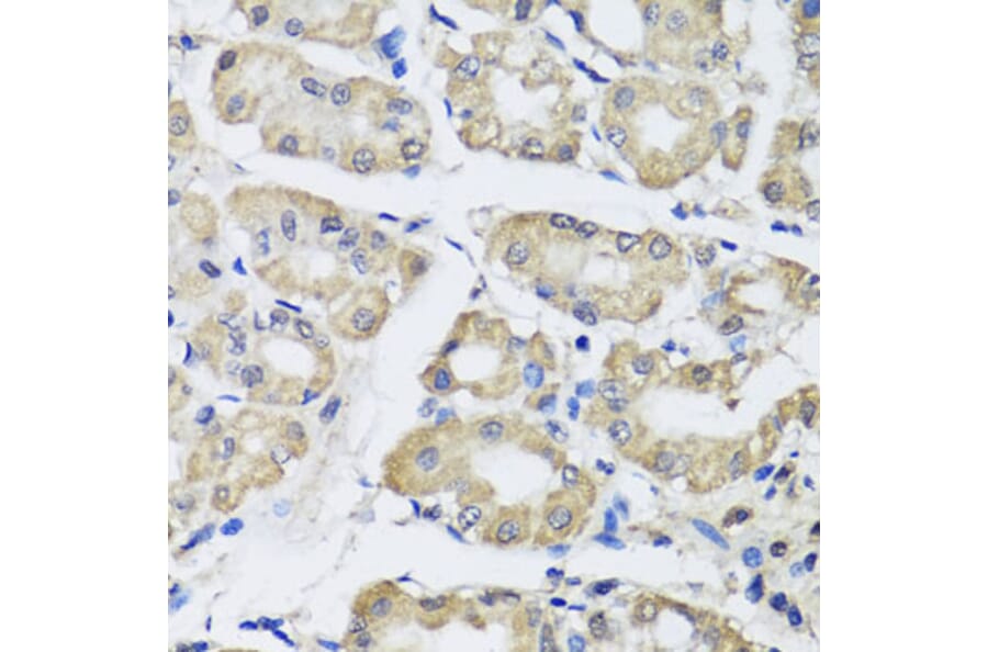
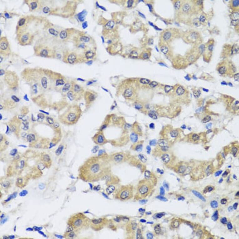
Anti-ATRNL1 Antibody (A15903)

Rabbit polyclonal antibody to ATRNL1 for WB and IHC.

Shipping Information

$40
Dispatched from St. Louis, MO.
Lead Time: 7-10 business days.
Name
Anti-ATRNL1 Antibody
Description
Rabbit polyclonal antibody to ATRNL1.
Applications
WB, IHC
Dilutions
WB: 1:500-1:2000, IHC: 1:50-1:100
Reactivity
Human, Mouse
Immunogen
Recombinant fusion protein containing a sequence corresponding to amino acids 53-160 of human ATRNL1 (NP_001263211.1).
Sequence
LYAQVSQSKPCERTGSCFSGRCVNSTCLCDPGWVGDQCQHCQGRFKLTEPSGYLTDGPINYKYKTKCTWLIEGYPNAVLRLRFNHFATECSWDHMYVYDGDSIYAPLI
Host
Rabbit
Clonality
Polyclonal
Isotype
IgG
Conjugate

Unconjugated

Purification
Affinity purification.
Concentration
Lot Specific
Molecular Weight
153kDa
Product Form
Liquid
Formulation
Supplied in Phosphate Buffered Saline, pH 7.30, with 0.02% Sodium Azide and 50% Glycerol.
Storage
Shipped at 4°C. Upon delivery aliquot and store at -20°C. Avoid freeze/thaw cycles.
Synonyms
Attractin-like protein 1, KIAA0534
Disclaimer
This product is for research use only. It is not intended for diagnostic or therapeutic use.
Publishing research using Anti-ATRNL1 Antibody (A15903)? Please let us know so that we can list the citation on this page.

Alternative products to Anti-ATRNL1 Antibody (A15903)

Proteins predicted to interact with ATRNL1

Predicted protein interactions based upon String database. Revelancy score correlates with probability of interaction.
69.5% Relevancy Score
59.4% Relevancy Score
39.4% Relevancy Score
37.7% Relevancy Score
37.1% Relevancy Score
36.5% Relevancy Score
35% Relevancy Score
34.7% Relevancy Score
34.7% Relevancy Score