Primary Antibodies
Secondary Antibodies
Proteins & Peptides
ELISA Kits
About Us
Contact Us
Sign In/Register
0
ISO 9001:2015 Certified
Live Customer Support
4.5/5 on Trustpilot
100% Quality Guarantee
Home
Primary Antibodies
AVEN Antibodies
Anti-Aven Antibody (A48301)
Anti-Aven Antibody (A48301)
Overview
Specifications
Images
Enlarge Image
Enlarge Image
$780
Product Datasheet
Rabbit polyclonal antibody to Aven for ELISA, WB and IHC.
100% Guarantee
Price Match Guarantee
Product Size:
100µl
Quantity:
1
2
3
4
5
6
7
8
9
10
Add To Cart
Request a Quotation
Custom or Bulk Request
Shipping Information
Freight/Packing Charges:
$40
Dispatched from St. Louis, MO.
Lead Time: 6-9 business days.
Specifications
Name
Anti-Aven Antibody
Description
Rabbit polyclonal antibody to Aven
Applications
ELISA
,
WB
,
IHC
Reactivity
Human, Mouse, Rat
Immunogen
Raised against a 14 amino acid peptide from near the carboxy terminus of human Aven.
Host
Rabbit
Clonality
Polyclonal
Conjugate
Unconjugated
Purification
Affinity chromatography purified via peptide column
Formulation
Supplied in phosphate-buffered saline with 0.02% Sodium Azide.
Storage
Shipped at 4°C. Upon delivery aliquot and store at -20°C. Avoid freeze/thaw cycles.
Synonyms
Cell death regulator Aven
Suitable Secondaries
Goat Anti-Rabbit IgG H&L Antibody (AP) (A294874)
Goat Anti-Rabbit IgG H&L Antibody (Biotin) (A294795)
Goat Anti-Rabbit IgG H&L Antibody (FITC) (A294887)
Goat Anti-Rabbit IgG H&L Antibody (HRP) (A294888)
See all Anti-Rabbit IgG Secondaries →
Disclaimer
This product is for research use only. It is not intended for diagnostic or therapeutic use.
Scientific Validation Data
Validation Data
(2)
Enlarge Image
Anti-Aven Antibody (A48301)
Western blot analysis of Aven in Raji cell lysate with Aven antibody at 1 µg/mL in (A) the presence and (B) the absence of blocking peptide.
Enlarge Image
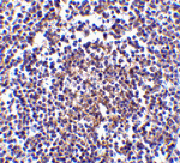
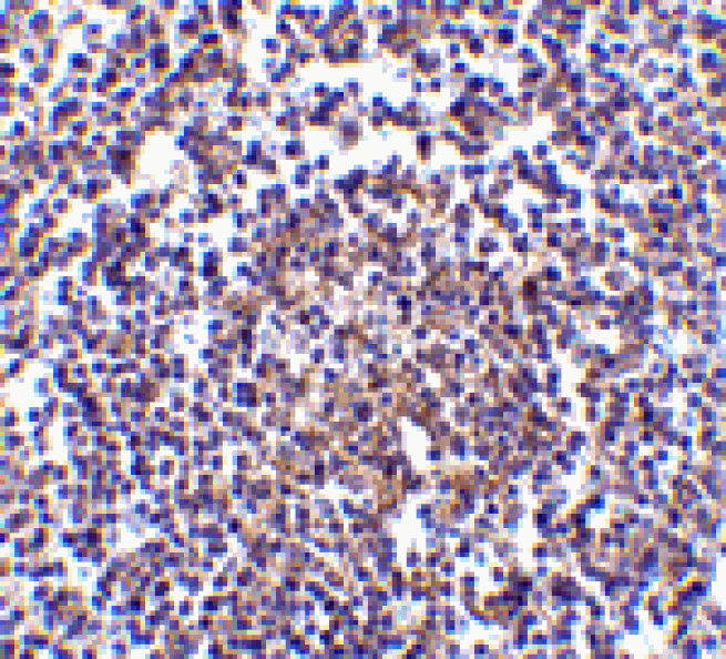
Immunohistochemistry - Anti-Aven Antibody (A48301)
Immunohistochemistry of Aven in human spleen tissue with Aven antibody at 5 µg/mL.
Publishing research using Anti-Aven Antibody (A48301)? Please
let us know
so that we can list the citation on this page.
Alternative products to Anti-Aven Antibody (A48301)
(2)
A101546
Anti-AVEN Antibody
Rabbit polyclonal antibody to AVEN for WB, IHC, IF and ELISA.
(2)
A48302
Anti-Aven Antibody
Rabbit polyclonal antibody to Aven for ELISA, WB and IHC.
A344674
Anti-AVEN Antibody [25GB3870]
Recombinant rabbit monoclonal [25GB3870] antibody to AVEN for WB, Flow Cytometry and ICC/IF.
A344673
Anti-AVEN Antibody [24GB6865]
Recombinant rabbit monoclonal [24GB6865] antibody to AVEN for WB, Flow Cytometry and ICC/IF.
A90498
Anti-AVEN Antibody
Rabbit polyclonal antibody to AVEN for WB and ELISA.
A29349
Anti-AVEN Antibody
Rabbit polyclonal antibody to AVEN for WB.
A49768
Anti-AVEN Antibody
Rabbit polyclonal antibody to AVEN for ELISA and WB.
A344672
Anti-AVEN Antibody [25GB1810]
Recombinant rabbit monoclonal [25GB1810] antibody to AVEN for WB and Flow Cytometry.
(2)
A101546
Anti-AVEN Antibody
Rabbit polyclonal antibody to AVEN for WB, IHC, IF and ELISA.
(2)
A48302
Anti-Aven Antibody
Rabbit polyclonal antibody to Aven for ELISA, WB and IHC.
A344674
Anti-AVEN Antibody [25GB3870]
Recombinant rabbit monoclonal [25GB3870] antibody to AVEN for WB, Flow Cytometry and ICC/IF.
A344673
Anti-AVEN Antibody [24GB6865]
Recombinant rabbit monoclonal [24GB6865] antibody to AVEN for WB, Flow Cytometry and ICC/IF.
A90498
Anti-AVEN Antibody
Rabbit polyclonal antibody to AVEN for WB and ELISA.
A29349
Anti-AVEN Antibody
Rabbit polyclonal antibody to AVEN for WB.
A49768
Anti-AVEN Antibody
Rabbit polyclonal antibody to AVEN for ELISA and WB.
A344672
Anti-AVEN Antibody [25GB1810]
Recombinant rabbit monoclonal [25GB1810] antibody to AVEN for WB and Flow Cytometry.
See all Aven Antibodies
Proteins predicted to interact with AVEN
Predicted protein interactions based upon String database. Revelancy score correlates with probability of interaction.
APAF1 Antibodies
99.1% Relevancy Score
BclXL Antibodies
96.7% Relevancy Score
Caspase-9 Antibodies
73.9% Relevancy Score
DHX36 Antibodies
50.4% Relevancy Score
Cytochrome C Antibodies
48.8% Relevancy Score
ATM Antibodies
48.7% Relevancy Score
Bcl-2 Antibodies
46% Relevancy Score
Caspase-8 Antibodies
40.8% Relevancy Score
RPL39 Antibodies
39% Relevancy Score
Top