Primary Antibodies
Secondary Antibodies
Proteins & Peptides
ELISA Kits
About Us
Contact Us
Sign In/Register
0
ISO 9001:2015 Certified
Live Customer Support
4.5/5 on Trustpilot
100% Quality Guarantee
Home
Primary Antibodies
Axin 1 Antibodies
Anti-AXIN1 Antibody (A45719)
Anti-AXIN1 Antibody (A45719)
Overview
Specifications
Images
Enlarge Image
Enlarge Image
$430
Rabbit polyclonal antibody to AXIN1 for IHC.
100% Guarantee
Price Match Guarantee
Product Size:
100µl
Quantity:
1
2
3
4
5
6
7
8
9
10
Add To Cart
Request a Quotation
Custom or Bulk Request
Shipping Information
Freight/Packing Charges:
$40
Dispatched from St. Louis, MO.
Lead Time: 6-9 business days.
Specifications
Name
Anti-AXIN1 Antibody
Description
Rabbit polyclonal antibody to AXIN1
Specificity
The antibody detects endogenous levels of total AXIN1 protein.
Applications
IHC
Reactivity
Human, Mouse, Rat
Immunogen
Synthetic peptide of human AXIN1
Host
Rabbit
Clonality
Polyclonal
Conjugate
Unconjugated
Purification
Antigen affinity purification.
Concentration
2 mg/ml
Formulation
Rabbit IgG in pH7.4 PBS, 0.05% NaN3, 40% Glycerol.
Storage
Store at -20˚C
Synonyms
AXIN, Axin-1, Axis inhibition protein 1, hAxin
Suitable Secondaries
Goat Anti-Rabbit IgG H&L Antibody (AP) (A294874)
Goat Anti-Rabbit IgG H&L Antibody (Biotin) (A294795)
Goat Anti-Rabbit IgG H&L Antibody (FITC) (A294887)
Goat Anti-Rabbit IgG H&L Antibody (HRP) (A294888)
See all Anti-Rabbit IgG Secondaries →
Disclaimer
This product is for research use only. It is not intended for diagnostic or therapeutic use.
Scientific Validation Data
Validation Data
(2)
Enlarge Image
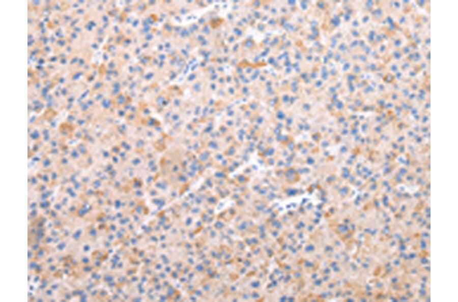
Immunohistochemistry - Anti-AXIN1 Antibody (A45719)
Immunohistochemical analysis of paraffin-embedded Human liver cancer tissue using #43229 at dilution 1/30.
Enlarge Image
Immunohistochemistry - Anti-AXIN1 Antibody (A45719)
Immunohistochemical analysis of paraffin-embedded Human lung cancer tissue using #43229 at dilution 1/30.
Publishing research using Anti-AXIN1 Antibody (A45719)? Please
let us know
so that we can list the citation on this page.
Alternative products to Anti-AXIN1 Antibody (A45719)
(2)
A48847
Anti-AXIN1 Antibody
Rabbit polyclonal antibody to AXIN1 for E, WB and ICC.
(3)
A305162
Anti-Axin 1 Antibody
Rabbit polyclonal antibody to Axin 1 for WB and IHC.
A28310
Anti-AXIN1 Antibody
Rabbit polyclonal antibody to AXIN1 for WB.
A87905
Anti-Axin 1 Antibody
Rabbit polyclonal antibody to Axin 1 for WB.
A58538
Anti-Axin 1 Antibody [PAT1A4AT]
Mouse monoclonal [PAT1A4AT] antibody to Axin 1 for ELISA, WB, IF and IP.
A83272
Anti-Axin 1 Antibody
Goat polyclonal antibody to Axin 1 for ELISA and IHC.
A42091
Anti-Axin 1 Antibody
Rabbit polyclonal antibody to Axin 1 for WB.
A305182
Anti-Axin 1 Antibody
Rabbit polyclonal antibody to Axin 1 for WB.
(2)
A48847
Anti-AXIN1 Antibody
Rabbit polyclonal antibody to AXIN1 for E, WB and ICC.
(3)
A305162
Anti-Axin 1 Antibody
Rabbit polyclonal antibody to Axin 1 for WB and IHC.
A28310
Anti-AXIN1 Antibody
Rabbit polyclonal antibody to AXIN1 for WB.
A87905
Anti-Axin 1 Antibody
Rabbit polyclonal antibody to Axin 1 for WB.
A58538
Anti-Axin 1 Antibody [PAT1A4AT]
Mouse monoclonal [PAT1A4AT] antibody to Axin 1 for ELISA, WB, IF and IP.
A83272
Anti-Axin 1 Antibody
Goat polyclonal antibody to Axin 1 for ELISA and IHC.
A42091
Anti-Axin 1 Antibody
Rabbit polyclonal antibody to Axin 1 for WB.
A305182
Anti-Axin 1 Antibody
Rabbit polyclonal antibody to Axin 1 for WB.
See all AXIN1 Antibodies
Proteins predicted to interact with Axin 1
Predicted protein interactions based upon String database. Revelancy score correlates with probability of interaction.
beta TRCP Antibodies
99.9% Relevancy Score
GSK3 alpha Antibodies
99.9% Relevancy Score
beta Catenin Antibodies
99.9% Relevancy Score
DVL1 Antibodies
99.9% Relevancy Score
Axin 2 Antibodies
99.9% Relevancy Score
LRP6 Antibodies
99.9% Relevancy Score
APC Antibodies
99.9% Relevancy Score
Casein Kinase 1 alpha Antibodies
99.9% Relevancy Score
GSK-3 beta Antibodies
99.9% Relevancy Score
Top