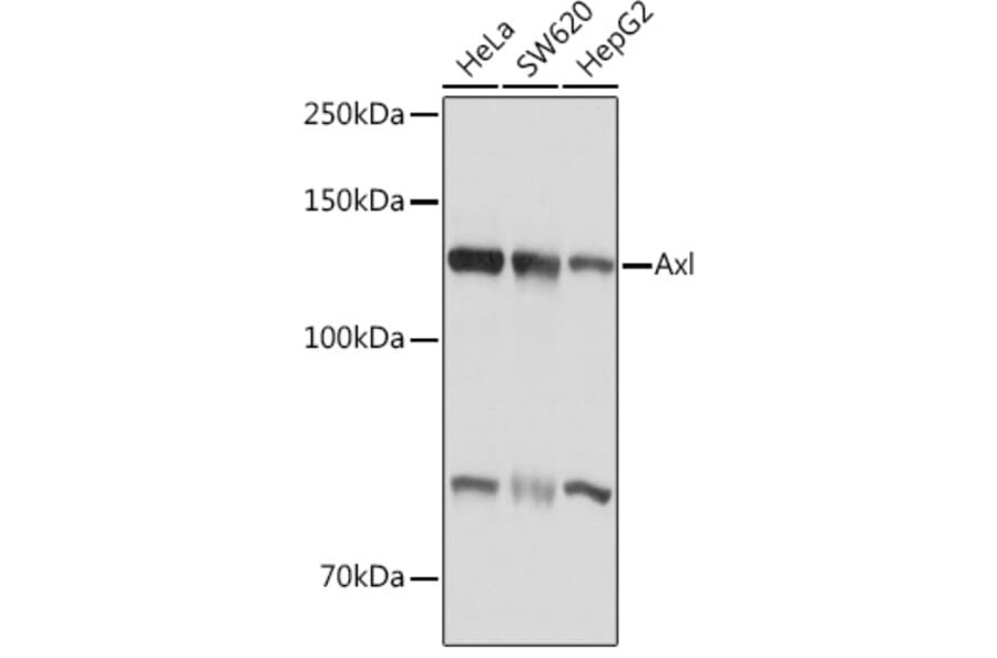
Western blot analysis of extracts of various cell lines, using Anti-Axl Antibody (A91665) at 1:1,000 dilution. The secondary antibody was Goat Anti-Rabbit IgG H&L Antibody (HRP) at 1:10,000 dilution. Lysates/proteins were present at 25µg per lane. The blocking buffer used was 3% non-fat dry milk in TBST. Detection was with a ECL Basic Kit. Exposure time: 1s.
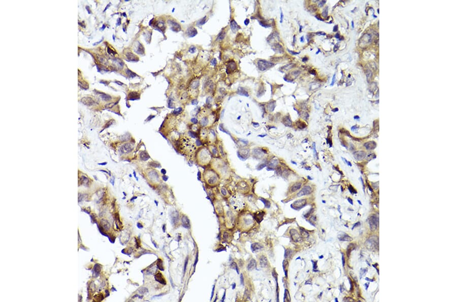
Immunohistochemistry analysis of paraffin-embedded human lung cancer using Anti-Axl Antibody (A91665) at a dilution of 1:100 (40x lens). Perform high pressure antigen retrieval with 10 mM citrate buffer pH 6.0 before commencing with IHC staining protocol.
Immunofluorescence analysis of DU145 cells using Anti-Axl Antibody (A91665) at a dilution of 1:200 (40x lens). DAPI was used to stain the cell nuclei (blue).
Immunofluorescence analysis of HeLa cells using Anti-Axl Antibody (A91665) at a dilution of 1:200 (40x lens). DAPI was used to stain the cell nuclei (blue).
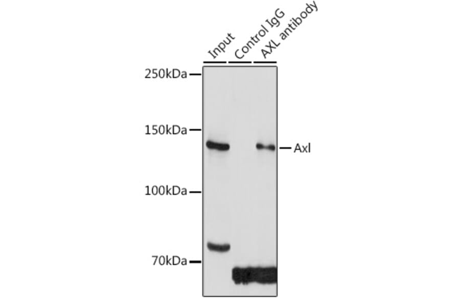
Immunoprecipitation analysis of 300µg extracts of HeLa cells using 3µg of Anti-Axl Antibody (A91665). This Western blot was performed on the immunoprecipitate using Anti-Axl Antibody (A91665) at a dilution of 1:1000.
Recombinant human monoclonal antibody to Axl for use as a research grade Enapotamab biosimilar for ELISA, Flow Cytometry, Functional Studies and in vivo Research.
Recombinant humanized monoclonal antibody to Axl for use as a research grade Tilvestamab biosimilar for ELISA, Flow Cytometry, Functional Studies and in vivo Research.
Recombinant humanized monoclonal antibody to Axl for use as a research grade Mecbotamab biosimilar for ELISA, Flow Cytometry, Functional Studies and in vivo Research.
Recombinant human monoclonal antibody to Axl for use as a research grade Anti-Human Axl [BGB101] bio for ELISA, Flow Cytometry, Functional Studies and in vivo Research.
Recombinant human monoclonal antibody to Axl for use as a research grade Anti-Human Axl [ORY012] bio for ELISA, Flow Cytometry, Functional Studies and in vivo Research.
Recombinant human monoclonal antibody to Axl for use as a research grade Enapotamab biosimilar for ELISA, Flow Cytometry, Functional Studies and in vivo Research.
Recombinant humanized monoclonal antibody to Axl for use as a research grade Tilvestamab biosimilar for ELISA, Flow Cytometry, Functional Studies and in vivo Research.
Recombinant humanized monoclonal antibody to Axl for use as a research grade Mecbotamab biosimilar for ELISA, Flow Cytometry, Functional Studies and in vivo Research.
Recombinant human monoclonal antibody to Axl for use as a research grade Anti-Human Axl [BGB101] bio for ELISA, Flow Cytometry, Functional Studies and in vivo Research.
Recombinant human monoclonal antibody to Axl for use as a research grade Anti-Human Axl [ORY012] bio for ELISA, Flow Cytometry, Functional Studies and in vivo Research.