Primary Antibodies
Secondary Antibodies
Proteins & Peptides
ELISA Kits
About Us
Contact Us
Sign In/Register
0
ISO 9001:2015 Certified
Live Customer Support
4.5/5 on Trustpilot
100% Quality Guarantee
Home
Primary Antibodies
BAAT Antibodies
Anti-BAAT Antibody (A38718)
Anti-BAAT Antibody (A38718)
Overview
Specifications
Images
Enlarge Image
Enlarge Image
$430
Product Datasheet
Rabbit polyclonal antibody to BAAT for WB and IHC.
100% Guarantee
Price Match Guarantee
Product Size:
100µl
Quantity:
1
2
3
4
5
6
7
8
9
10
Add To Cart
Request a Quotation
Custom or Bulk Request
Shipping Information
Freight/Packing Charges:
$40
Dispatched from St. Louis, MO.
Lead Time: 6-9 business days.
Tags:
Peroxisome Marker
Specifications
Name
Anti-BAAT Antibody
Description
Rabbit polyclonal antibody to BAAT
Specificity
The antibody detects endogenous levels of total BAAT protein.
Applications
WB
,
IHC
Reactivity
Human, Mouse
Immunogen
Fusion protein corresponding to residues near the C terminal of human bile acid CoA: amino acid N-acyltransferase (glycine N-choloyltransferase)
Host
Rabbit
Clonality
Polyclonal
Conjugate
Unconjugated
Purification
Antigen affinity purification.
Concentration
1.3 mg/mL
Formulation
Supplied in PBS, pH 7.3, containing 0.05% sodium azide and 50% glycerol.
Storage
Shipped at 4°C. Upon delivery aliquot and store at -20°C. Avoid freeze/thaw cycles.
Synonyms
BACAT, Bile acid-CoA thioesterase, Bile acid-CoA:amino acid N-acyltransferase, Choloyl-CoA hydrolase, EC:3.1.2.27, Glycine N-choloyltransferase, Long-chain fatty-acyl-CoA hydrolase
Suitable Secondaries
Goat Anti-Rabbit IgG H&L Antibody (AP) (A294874)
Goat Anti-Rabbit IgG H&L Antibody (Biotin) (A294795)
Goat Anti-Rabbit IgG H&L Antibody (FITC) (A294887)
Goat Anti-Rabbit IgG H&L Antibody (HRP) (A294888)
See all Anti-Rabbit IgG Secondaries →
Disclaimer
This product is for research use only. It is not intended for diagnostic or therapeutic use.
Scientific Validation Data
Validation Data
(2)
Enlarge Image
Anti-BAAT Antibody (A38718)
Gel: 8% SDS-PAGE Lysates (from left to right): Human normal liver and mouse pancreas tissue Amount of lysate: 40ug per lane Primary antibody: 1/650 dilution Secondary antibody dilution: 1/8000 Exposure time: 10 seconds
Enlarge Image
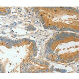
Immunohistochemistry - Anti-BAAT Antibody (A38718)
Immunohistochemical analysis of paraffin-embedded Human colon cancer tissue using #36274 at dilution 1/30.
Publishing research using Anti-BAAT Antibody (A38718)? Please
let us know
so that we can list the citation on this page.
Alternative products to Anti-BAAT Antibody (A38718)
(3)
A10180
Anti-BAAT Antibody
Rabbit polyclonal antibody to BAAT for WB, IHC and ICC/IF.
(3)
A10180
Anti-BAAT Antibody
Rabbit polyclonal antibody to BAAT for WB, IHC and ICC/IF.
Proteins predicted to interact with BAAT
Predicted protein interactions based upon String database. Revelancy score correlates with probability of interaction.
SLC27A5 Antibodies
98.7% Relevancy Score
Sterol Carrier Protein 2 Antibodies
95.6% Relevancy Score
Acyl-CoA Thioesterase 8 Antibodies
94.2% Relevancy Score
GGT1 Antibodies
91.4% Relevancy Score
GGT6 Antibodies
90.6% Relevancy Score
GAD1 Antibodies
90.5% Relevancy Score
GAD65 Antibodies
90.4% Relevancy Score
GGT7 Antibodies
90% Relevancy Score
GGT5 Antibodies
90% Relevancy Score
Top