Primary Antibodies
Secondary Antibodies
Proteins & Peptides
ELISA Kits
About Us
Contact Us
Sign In/Register
0
ISO 9001:2015 Certified
Live Customer Support
4.5/5 on Trustpilot
100% Quality Guarantee
Home
Primary Antibodies
Bad Antibodies
Anti-BAD Antibody (A48597)
Anti-BAD Antibody (A48597)
Overview
Specifications
Images
Enlarge Image
Enlarge Image
$780
Product Datasheet
Rabbit polyclonal antibody to BAD for ELISA, WB and IHC.
100% Guarantee
Price Match Guarantee
Product Size:
100µl
Quantity:
1
2
3
4
5
6
7
8
9
10
Add To Cart
Request a Quotation
Custom or Bulk Request
Shipping Information
Freight/Packing Charges:
$40
Dispatched from St. Louis, MO.
Lead Time: 6-9 business days.
Specifications
Name
Anti-BAD Antibody
Description
Rabbit polyclonal antibody to BAD
Applications
ELISA
,
WB
,
IHC
Reactivity
Human, Mouse, Rat
Immunogen
Raised against a peptide corresponding to 15 amino acids near the C-terminus of human Bad.
Host
Rabbit
Clonality
Polyclonal
Conjugate
Unconjugated
Purification
Ion exchange chromatography purified
Formulation
Supplied in phosphate-buffered saline with 0.02% Sodium Azide.
Storage
Shipped at 4°C. Upon delivery aliquot and store at -20°C. Avoid freeze/thaw cycles.
Synonyms
BBC6, Bcl-2-binding component 6, Bcl-2-like protein 8, Bcl-xL/Bcl-2-associated death promoter, Bcl2 antagonist of cell death, Bcl2-associated agonist of cell death, Bcl2-L-8, BCL2L8
Suitable Secondaries
Goat Anti-Rabbit IgG H&L Antibody (AP) (A294874)
Goat Anti-Rabbit IgG H&L Antibody (Biotin) (A294795)
Goat Anti-Rabbit IgG H&L Antibody (FITC) (A294887)
Goat Anti-Rabbit IgG H&L Antibody (HRP) (A294888)
See all Anti-Rabbit IgG Secondaries →
Disclaimer
This product is for research use only. It is not intended for diagnostic or therapeutic use.
Scientific Validation Data
Validation Data
(2)
Enlarge Image
Anti-BAD Antibody (A48597)
Western blot analysis of Bad in T24 cell lysates with Bad antibody at (A) 0.5, (B) 1, and (C) 2 µg/mL.
Enlarge Image
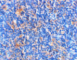
Immunohistochemistry - Anti-BAD Antibody (A48597)
Immunohistochemical staining of rat thymus using Bad at 2 µg/mL.
Publishing research using Anti-BAD Antibody (A48597)? Please
let us know
so that we can list the citation on this page.
Alternative products to Anti-BAD Antibody (A48597)
(6)
A96470
Anti-BAD Antibody
Rabbit polyclonal antibody to BAD for WB, IHC, IF and ELISA.
(4)
A96468
Anti-BAD Antibody
Rabbit polyclonal antibody to BAD for WB, IHC, IF and ELISA.
(3)
A94675
Anti-BAD (phospho Ser155) Antibody
Rabbit polyclonal antibody to BAD (phospho Ser155) for WB, IHC, IF and ELISA.
(3)
A96469
Anti-BAD Antibody
Rabbit polyclonal antibody to BAD for WB, IHC, IF and ELISA.
(3)
A94677
Anti-BAD (phospho Ser112) Antibody
Rabbit polyclonal antibody to BAD (phospho Ser112) for WB, IHC, IF and ELISA.
(3)
A94676
Anti-BAD (phospho Ser136) Antibody
Rabbit polyclonal antibody to BAD (phospho Ser136) for WB, IHC, IF and ELISA.
(2)
A94896
Anti-BAD (phospho Ser91 + Ser128) Antibody
Rabbit polyclonal antibody to BAD (phospho Ser91 + Ser128) for WB, IHC, IF and ELISA.
(3)
A93788
Anti-BAD (phospho Ser134) Antibody
Rabbit polyclonal antibody to BAD (phospho Ser134) for WB, IHC, IF and ELISA.
(3)
A96471
Anti-BAD Antibody
Rabbit polyclonal antibody to BAD for WB, IHC, IF and ELISA.
(3)
A13532
Anti-Bad Antibody
Rabbit polyclonal antibody to Bad for WB, IHC and ICC/IF.
(2)
A50493
Anti-BAD (Phospho-Ser136) Antibody
Rabbit polyclonal antibody to BAD (Phospho-Ser136) for WB and IHC.
(2)
A25741
Anti-Bad (P130) Antibody
Rabbit polyclonal antibody to Bad (P130) for WB, IHC and IF.
(6)
A96470
Anti-BAD Antibody
Rabbit polyclonal antibody to BAD for WB, IHC, IF and ELISA.
(4)
A96468
Anti-BAD Antibody
Rabbit polyclonal antibody to BAD for WB, IHC, IF and ELISA.
(3)
A94675
Anti-BAD (phospho Ser155) Antibody
Rabbit polyclonal antibody to BAD (phospho Ser155) for WB, IHC, IF and ELISA.
(3)
A96469
Anti-BAD Antibody
Rabbit polyclonal antibody to BAD for WB, IHC, IF and ELISA.
(3)
A94677
Anti-BAD (phospho Ser112) Antibody
Rabbit polyclonal antibody to BAD (phospho Ser112) for WB, IHC, IF and ELISA.
(3)
A94676
Anti-BAD (phospho Ser136) Antibody
Rabbit polyclonal antibody to BAD (phospho Ser136) for WB, IHC, IF and ELISA.
(2)
A94896
Anti-BAD (phospho Ser91 + Ser128) Antibody
Rabbit polyclonal antibody to BAD (phospho Ser91 + Ser128) for WB, IHC, IF and ELISA.
(3)
A93788
Anti-BAD (phospho Ser134) Antibody
Rabbit polyclonal antibody to BAD (phospho Ser134) for WB, IHC, IF and ELISA.
(3)
A96471
Anti-BAD Antibody
Rabbit polyclonal antibody to BAD for WB, IHC, IF and ELISA.
(3)
A13532
Anti-Bad Antibody
Rabbit polyclonal antibody to Bad for WB, IHC and ICC/IF.
(2)
A50493
Anti-BAD (Phospho-Ser136) Antibody
Rabbit polyclonal antibody to BAD (Phospho-Ser136) for WB and IHC.
(2)
A25741
Anti-Bad (P130) Antibody
Rabbit polyclonal antibody to Bad (P130) for WB, IHC and IF.
See all BAD Antibodies
Proteins predicted to interact with Bad
Predicted protein interactions based upon String database. Revelancy score correlates with probability of interaction.
Bcl-2 Antibodies
99.9% Relevancy Score
BclXL Antibodies
99.9% Relevancy Score
AKT1 Antibodies
99.3% Relevancy Score
14-3-3 zeta Antibodies
98.9% Relevancy Score
Raf1 Antibodies
98.5% Relevancy Score
14-3-3 tau Antibodies
98.4% Relevancy Score
14-3-3 beta Antibodies
98.2% Relevancy Score
14-3-3 epsilon Antibodies
98% Relevancy Score
14-3-3 eta Antibodies
97.5% Relevancy Score
Top