ISO 9001:2015 Certified
Live Customer Support
4.5/5 on Trustpilot
100% Quality Guarantee

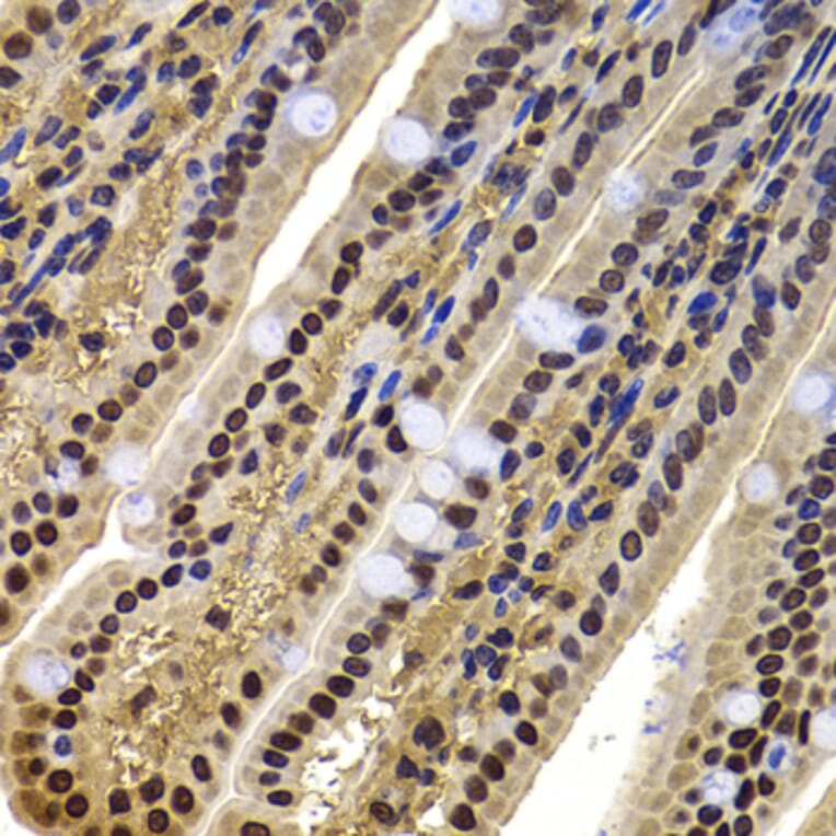
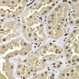
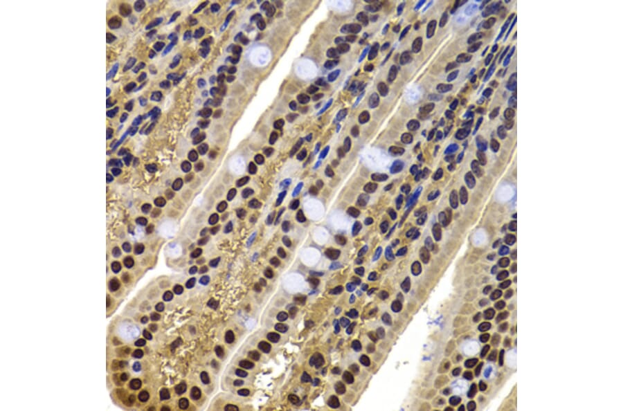
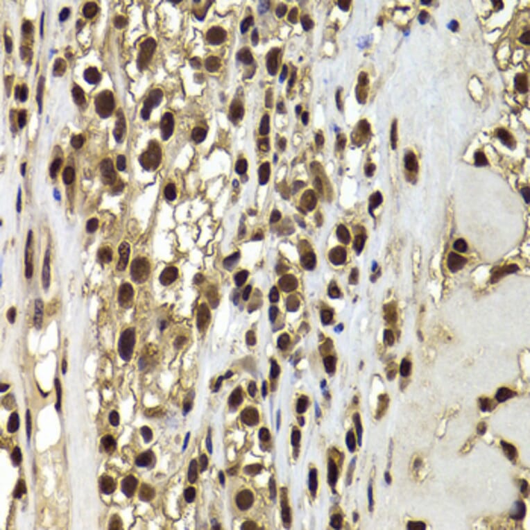
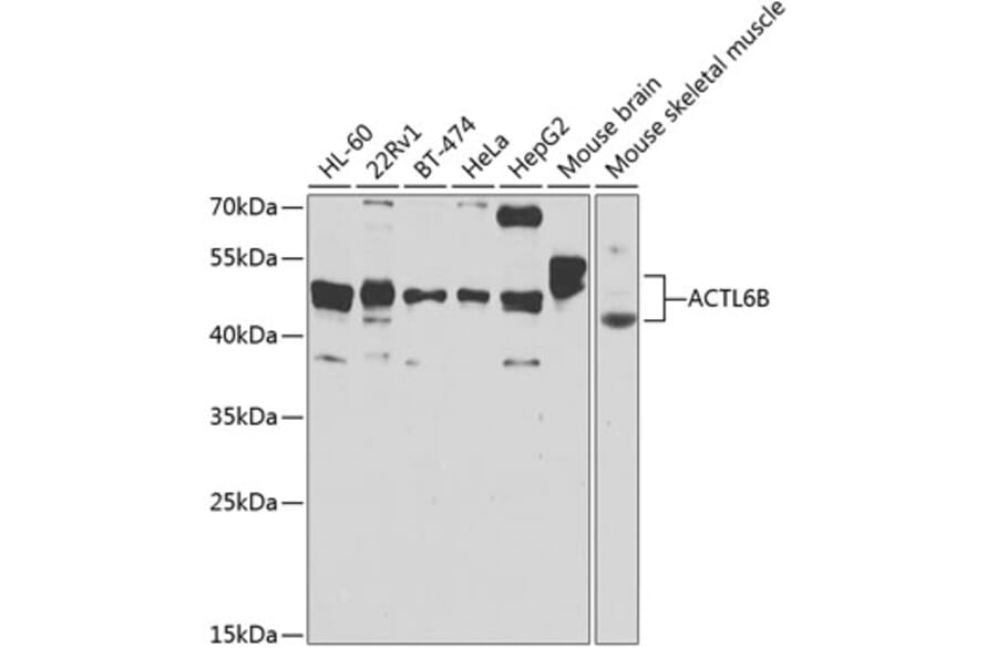
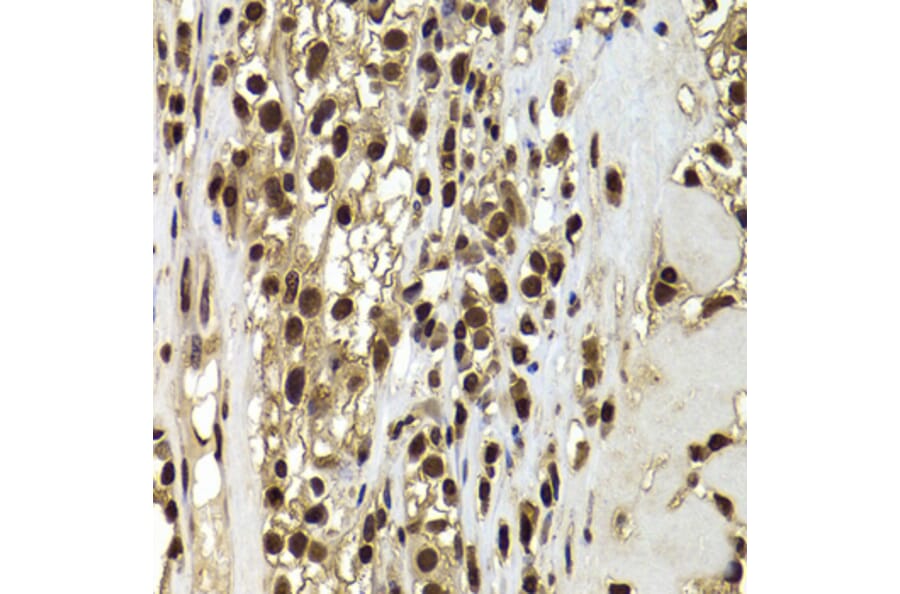
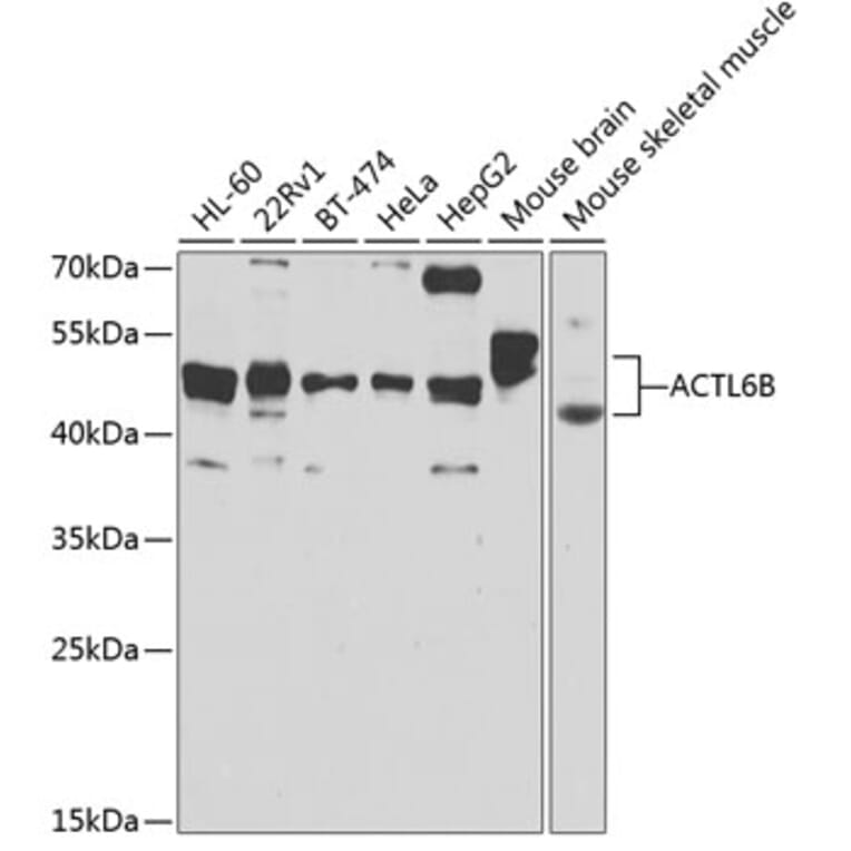
Anti-BAF53b Antibody (A15546)

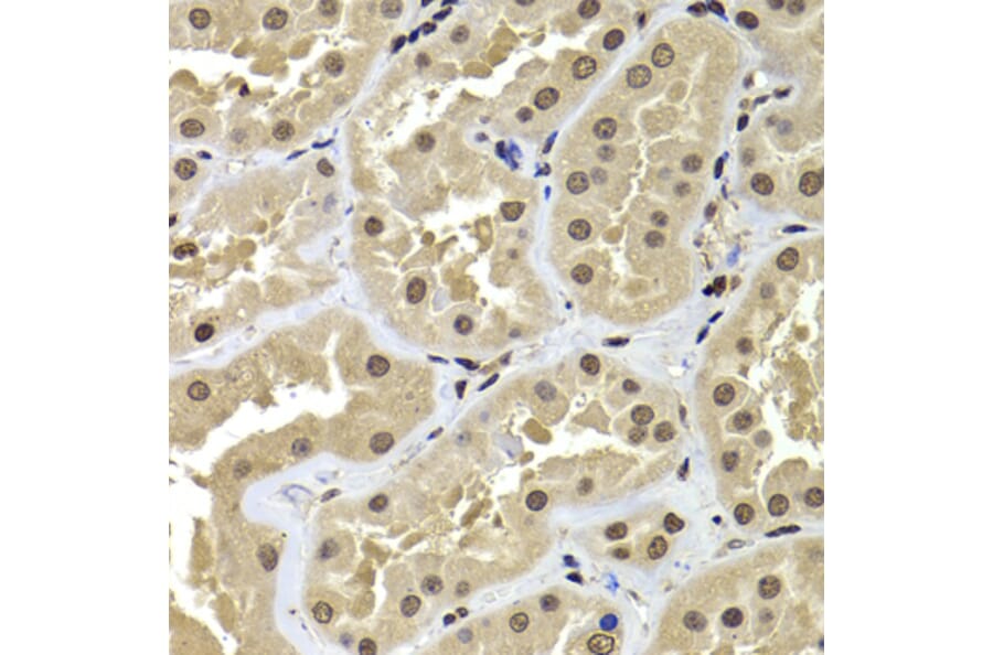
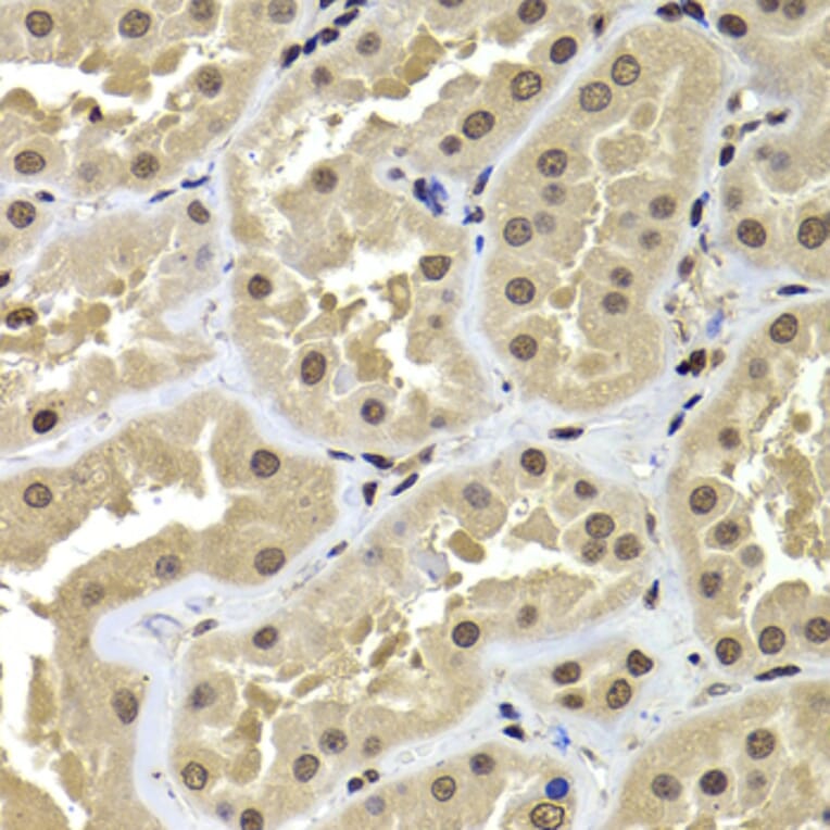
Rabbit polyclonal antibody to BAF53b for WB, IHC and ICC/IF.

Shipping Information

$40
Dispatched from St. Louis, MO.
Lead Time: 7-10 business days.
Name
Anti-BAF53b Antibody
Description
Rabbit polyclonal antibody to BAF53b.
Applications
WB, IHC, ICC/IF
Dilutions
WB: 1:500-1:2,000, IHC: 1:50-1:200, ICC/IF: 1:50-1:100
Reactivity
Human, Mouse, Rat
Immunogen
Recombinant fusion protein containing a sequence corresponding to amino acids 1-280 of human ACTL6B (NP_057272.1).
Sequence
MSGGVYGGDEVGALVFDIGSFSVRAGYAGEDCPKADFPTTVGLLAAEEGGGLELEGDKEKKGKIFHIDTNALHVPRDGAEVMSPLKNGMIEDWECFRAILDHTYSKHVKSEPNLHPVLMSEAPWNTRAKREKLTELMFEQYNIPAFFLCKTAVLTAFANGRSTGLVLDSGATHTTAIPVHDGYVLQQGIVKSPLAGDFISMQCRELFQEMAIDIIPPYMIAAKEPVREGAPPNWKKKEKLPQVSKSWHNYMCNEVIQDFQASVLQVSDSPYDEQVAAQMP
Host
Rabbit
Clonality
Polyclonal
Isotype
IgG
Conjugate

Unconjugated

Purification
Affinity purification.
Concentration
Lot Specific
Molecular Weight
47 - 55 kDa
Product Form
Liquid
Formulation
Supplied in Phosphate Buffered Saline, pH 7.3, with 50% Glycerol and 0.02% Sodium Azide.
Storage
Shipped at 4°C. Upon delivery aliquot and store at -20°C. Avoid freeze/thaw cycles.
Synonyms
53 kDa BRG1-associated factor B, Actin-like protein 6B, Actin-related protein Baf53b, ACTL6, ACTL6B, ArpNalpha, BRG1-associated factor 53B
Disclaimer
This product is for research use only. It is not intended for diagnostic or therapeutic use.
Publishing research using Anti-BAF53b Antibody (A15546)? Please let us know so that we can list the citation on this page.

Alternative products to Anti-BAF53b Antibody (A15546)

Proteins predicted to interact with BAF53B

Predicted protein interactions based upon String database. Revelancy score correlates with probability of interaction.
99.9% Relevancy Score
99.9% Relevancy Score
99.2% Relevancy Score
99.1% Relevancy Score
99% Relevancy Score
98.9% Relevancy Score
98.2% Relevancy Score
98.2% Relevancy Score
98% Relevancy Score