Primary Antibodies
Secondary Antibodies
Proteins & Peptides
ELISA Kits
About Us
Contact Us
Sign In/Register
0
ISO 9001:2015 Certified
Live Customer Support
4.5/5 on Trustpilot
100% Quality Guarantee
Home
Primary Antibodies
BAG1 Antibodies
Anti-BAG-1 Antibody (A47888)
Anti-BAG-1 Antibody (A47888)
Overview
Specifications
Images
Enlarge Image
Enlarge Image
$780
Product Datasheet
Rabbit polyclonal antibody to BAG-1 for ELISA, WB and IHC.
100% Guarantee
Price Match Guarantee
Product Size:
100µl
Quantity:
1
2
3
4
5
6
7
8
9
10
Add To Cart
Request a Quotation
Custom or Bulk Request
Shipping Information
Freight/Packing Charges:
$40
Dispatched from St. Louis, MO.
Lead Time: 6-9 business days.
Specifications
Name
Anti-BAG-1 Antibody
Description
Rabbit polyclonal antibody to BAG-1
Applications
ELISA
,
WB
,
IHC
Reactivity
Human, Mouse, Rat
Immunogen
Raised against a 14 amino acid peptide from near the amino terminus of human BAG-1.
Host
Rabbit
Clonality
Polyclonal
Conjugate
Unconjugated
Purification
Affinity chromatography purified via peptide column
Formulation
Supplied in phosphate-buffered saline with 0.02% Sodium Azide.
Storage
Shipped at 4°C. Upon delivery aliquot and store at -20°C. Avoid freeze/thaw cycles.
Synonyms
BAG family molecular chaperone regulator 1, Bcl-2-associated athanogene 1, HAP
Suitable Secondaries
Goat Anti-Rabbit IgG H&L Antibody (AP) (A294874)
Goat Anti-Rabbit IgG H&L Antibody (Biotin) (A294795)
Goat Anti-Rabbit IgG H&L Antibody (FITC) (A294887)
Goat Anti-Rabbit IgG H&L Antibody (HRP) (A294888)
See all Anti-Rabbit IgG Secondaries →
Disclaimer
This product is for research use only. It is not intended for diagnostic or therapeutic use.
Scientific Validation Data
Validation Data
(2)
Enlarge Image
Anti-BAG-1 Antibody (A47888)
Western blot analysis of BAG-1 in PC-3 cell lysate with BAG-1 antibody at (A) 1 and (B) 2 µg/mL.
Enlarge Image
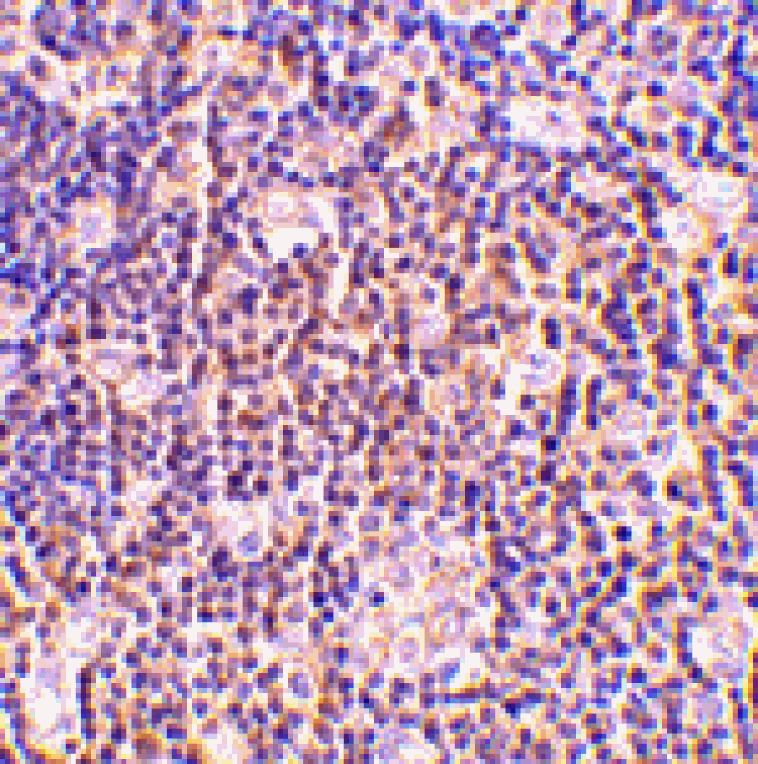
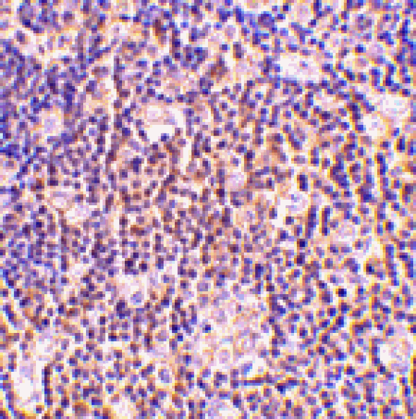
Immunohistochemistry - Anti-BAG-1 Antibody (A47888)
Immunohistochemistry of BAG-1 in human lymph node tissue with BAG-1 antibody at 2 µg/mL
Publishing research using Anti-BAG-1 Antibody (A47888)? Please
let us know
so that we can list the citation on this page.
Alternative products to Anti-BAG-1 Antibody (A47888)
(6)
A35455
Anti-BAG1 Antibody
Rabbit polyclonal antibody to BAG1 for WB and ICC/IF.
(3)
A30071
Anti-BAG1 Antibody
Rabbit polyclonal antibody to BAG1 for WB, IHC and IF.
A344681
Anti-BAG1 Antibody [24GB9015]
Recombinant rabbit monoclonal [24GB9015] antibody to BAG1 for WB, Flow Cytometry and ICC/IF.
A344682
Anti-BAG1 Antibody [23GB2995]
Recombinant rabbit monoclonal [23GB2995] antibody to BAG1 for WB, Flow Cytometry and ICC/IF.
(2)
A13201
Anti-Bag1 Antibody
Rabbit polyclonal antibody to Bag1 for WB and ICC/IF.
A49382
Anti-BAG-1 Antibody
Rabbit polyclonal antibody to BAG-1 for ELISA and WB.
(2)
A101545
Anti-BAG1 Antibody
Rabbit polyclonal antibody to BAG1 for WB and ELISA.
(2)
A121507
Anti-BAG1 Antibody [RM356]
Recombinant rabbit monoclonal [RM356] antibody to BAG1 for WB and IHC.
A40581
Anti-Bag-1 Antibody
Rabbit polyclonal antibody to Bag-1 for ELISA and WB.
(6)
A35455
Anti-BAG1 Antibody
Rabbit polyclonal antibody to BAG1 for WB and ICC/IF.
(3)
A30071
Anti-BAG1 Antibody
Rabbit polyclonal antibody to BAG1 for WB, IHC and IF.
A344681
Anti-BAG1 Antibody [24GB9015]
Recombinant rabbit monoclonal [24GB9015] antibody to BAG1 for WB, Flow Cytometry and ICC/IF.
A344682
Anti-BAG1 Antibody [23GB2995]
Recombinant rabbit monoclonal [23GB2995] antibody to BAG1 for WB, Flow Cytometry and ICC/IF.
(2)
A13201
Anti-Bag1 Antibody
Rabbit polyclonal antibody to Bag1 for WB and ICC/IF.
A49382
Anti-BAG-1 Antibody
Rabbit polyclonal antibody to BAG-1 for ELISA and WB.
(2)
A101545
Anti-BAG1 Antibody
Rabbit polyclonal antibody to BAG1 for WB and ELISA.
(2)
A121507
Anti-BAG1 Antibody [RM356]
Recombinant rabbit monoclonal [RM356] antibody to BAG1 for WB and IHC.
A40581
Anti-Bag-1 Antibody
Rabbit polyclonal antibody to Bag-1 for ELISA and WB.
See all BAG-1 Antibodies
Proteins predicted to interact with BAG1
Predicted protein interactions based upon String database. Revelancy score correlates with probability of interaction.
Hsc70 Antibodies
99.9% Relevancy Score
HSPA4 Antibodies
99.9% Relevancy Score
BAG2 Antibodies
99.7% Relevancy Score
Bcl-2 Antibodies
99.6% Relevancy Score
HSP40 Antibodies
99.1% Relevancy Score
BAG3 Antibodies
96.7% Relevancy Score
STUB1 Antibodies
96.3% Relevancy Score
HSPH1 Antibodies
95.4% Relevancy Score
Raf1 Antibodies
93.9% Relevancy Score
Top