Primary Antibodies
Secondary Antibodies
Proteins & Peptides
ELISA Kits
About Us
Contact Us
Sign In/Register
0
ISO 9001:2015 Certified
Live Customer Support
4.5/5 on Trustpilot
100% Quality Guarantee
Home
Primary Antibodies
BAG2 Antibodies
Anti-BAG2 Antibody (A39012)
Anti-BAG2 Antibody (A39012)
Overview
Specifications
Images
Enlarge Image
Enlarge Image
Enlarge Image
$430
Product Datasheet
Rabbit polyclonal antibody to BAG2 for WB and IHC.
100% Guarantee
Price Match Guarantee
Product Size:
100µl
Quantity:
1
2
3
4
5
6
7
8
9
10
Add To Cart
Request a Quotation
Custom or Bulk Request
Shipping Information
Freight/Packing Charges:
$40
Dispatched from St. Louis, MO.
Lead Time: 6-9 business days.
Specifications
Name
Anti-BAG2 Antibody
Description
Rabbit polyclonal antibody to BAG2
Specificity
The antibody detects endogenous levels of total BAG2 protein.
Applications
WB
,
IHC
Reactivity
Human
Immunogen
Synthetic peptide of human BAG2
Host
Rabbit
Clonality
Polyclonal
Conjugate
Unconjugated
Purification
Antigen affinity purification.
Concentration
1.3 mg/mL
Formulation
Rabbit IgG in pH7.4 PBS, 0.05% NaN3, 40% Glycerol.
Storage
Shipped at 4°C. Upon delivery aliquot and store at -20°C. Avoid freeze/thaw cycles.
Synonyms
BAG family molecular chaperone regulator 2, BAG-2, Bcl-2-associated athanogene 2
Suitable Secondaries
Goat Anti-Rabbit IgG H&L Antibody (AP) (A294874)
Goat Anti-Rabbit IgG H&L Antibody (Biotin) (A294795)
Goat Anti-Rabbit IgG H&L Antibody (FITC) (A294887)
Goat Anti-Rabbit IgG H&L Antibody (HRP) (A294888)
See all Anti-Rabbit IgG Secondaries →
Disclaimer
This product is for research use only. It is not intended for diagnostic or therapeutic use.
Scientific Validation Data
Validation Data
(3)
Enlarge Image
Anti-BAG2 Antibody (A39012)
Gel: 12% SDS-PAGE Lysate: 40 μg Lane 1-5: A549£¬A431,Hela£¬Jurkat and HEPG2 cell Primary antibody: 1/300 dilution Secondary antibody: Goat anti rabbit IgG at 1/8000 dilution Exposure time: 3 seconds
Enlarge Image
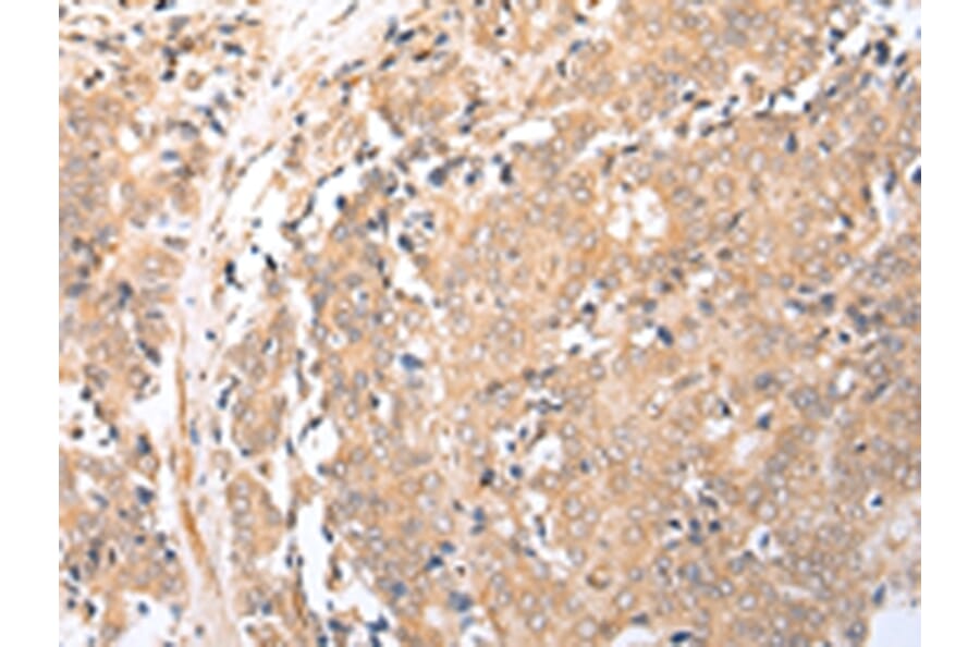
Immunohistochemistry - Anti-BAG2 Antibody (A39012)
Immunohistochemical analysis of paraffin-embedded Human prostate cancer tissue using #43282 at dilution 1/25.
Enlarge Image
Immunohistochemistry - Anti-BAG2 Antibody (A39012)
Immunohistochemical analysis of paraffin-embedded Human lung cancer tissue using #43282 at dilution 1/25.
Publishing research using Anti-BAG2 Antibody (A39012)? Please
let us know
so that we can list the citation on this page.
Alternative products to Anti-BAG2 Antibody (A39012)
(4)
A306969
Anti-BAG2 Antibody [ARC1297]
Rabbit monoclonal [ARC1297] antibody to BAG2 for WB and IHC.
(2)
A83784
Anti-BAG2 Antibody
Goat polyclonal antibody to BAG2 for ELISA and WB.
A344684
Anti-BAG2 Antibody [23GB7975]
Recombinant rabbit monoclonal [23GB7975] antibody to BAG2 for WB and ICC/IF.
A113566
Anti-BAG2 Antibody [PAT29E9AT]
Mouse monoclonal [PAT29E9AT] antibody to BAG2 for ELISA, WB, Flow Cytometry and ICC/IF.
A344683
Anti-BAG2 Antibody [23GB4350]
Recombinant rabbit monoclonal [23GB4350] antibody to BAG2 for WB, Flow Cytometry and ICC/IF.
A15880
Anti-BAG2 Antibody
Rabbit polyclonal antibody to BAG2 for WB.
(4)
A306969
Anti-BAG2 Antibody [ARC1297]
Rabbit monoclonal [ARC1297] antibody to BAG2 for WB and IHC.
(2)
A83784
Anti-BAG2 Antibody
Goat polyclonal antibody to BAG2 for ELISA and WB.
A344684
Anti-BAG2 Antibody [23GB7975]
Recombinant rabbit monoclonal [23GB7975] antibody to BAG2 for WB and ICC/IF.
A113566
Anti-BAG2 Antibody [PAT29E9AT]
Mouse monoclonal [PAT29E9AT] antibody to BAG2 for ELISA, WB, Flow Cytometry and ICC/IF.
A344683
Anti-BAG2 Antibody [23GB4350]
Recombinant rabbit monoclonal [23GB4350] antibody to BAG2 for WB, Flow Cytometry and ICC/IF.
A15880
Anti-BAG2 Antibody
Rabbit polyclonal antibody to BAG2 for WB.
See all BAG2 Antibodies
Proteins predicted to interact with BAG2
Predicted protein interactions based upon String database. Revelancy score correlates with probability of interaction.
Hsc70 Antibodies
99.9% Relevancy Score
BAG1 Antibodies
99.7% Relevancy Score
HSPA4 Antibodies
99.7% Relevancy Score
STUB1 Antibodies
99.7% Relevancy Score
HSPH1 Antibodies
99.5% Relevancy Score
BAG3 Antibodies
97.7% Relevancy Score
BAG5 Antibodies
95.5% Relevancy Score
HSPA4L Antibodies
93.8% Relevancy Score
SGTA Antibodies
93.1% Relevancy Score
Top