ISO 9001:2015 Certified
Live Customer Support
4.5/5 on Trustpilot
100% Quality Guarantee

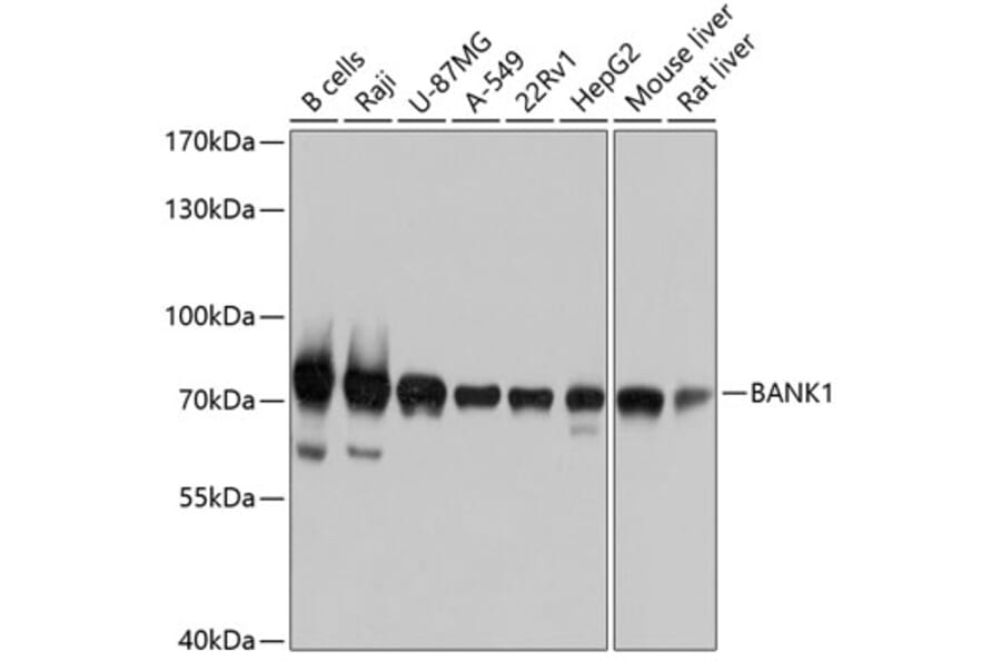
Anti-BANK1 Antibody (A12888)

Rabbit polyclonal antibody to BANK1 for WB.

Shipping Information

$40
Dispatched from St. Louis, MO.
Lead Time: 7-10 business days.
Name
Anti-BANK1 Antibody
Description
Rabbit polyclonal antibody to BANK1.
Applications
WB
Dilutions
WB: 1:1,000-1:2,000
Reactivity
Human, Mouse, Rat
Immunogen
Recombinant fusion protein containing a sequence corresponding to amino acids 516-785 of human BANK1 (NP_060405.4).
Sequence
PVANAFQLERPHFTLPGTMVEGQMERSQNWGHPGVRQETGDEPKGEKEKKEEEKEQEEEEDPYTFAEIDDSEYDMILANLSIKKKTGSRSFIINRPPAPTPRPTSIPPKEETTPYIAQVFQQKTARRQSDDDKFRGLPKKQDRARIESPAFSTLRGCLTDGQEELILLQEKVKNGKMSMDEALEKFKHWQMGKSGLEMIQQEKLRQLRDCIIGKRPEEENVYNKLTIVHHPGGKETAHNENKFYNVHFSNKLPARPQVEKEFGFCCKKDH
Host
Rabbit
Clonality
Polyclonal
Isotype
IgG
Conjugate

Unconjugated

Purification
Affinity purification.
Concentration
Lot Specific
Molecular Weight
89 kDa
Product Form
Liquid
Formulation
Supplied in Phosphate Buffered Saline, pH 7.3, with 50% Glycerol and 0.02% Sodium Azide.
Storage
Shipped at 4°C. Upon delivery aliquot and store at -20°C. Avoid freeze/thaw cycles.
Synonyms
B-cell scaffold protein with ankyrin repeats
Disclaimer
This product is for research use only. It is not intended for diagnostic or therapeutic use.
Publishing research using Anti-BANK1 Antibody (A12888)? Please let us know so that we can list the citation on this page.

Proteins predicted to interact with BANK1

Predicted protein interactions based upon String database. Revelancy score correlates with probability of interaction.
91.2% Relevancy Score
87.5% Relevancy Score
85.4% Relevancy Score
79% Relevancy Score
78.2% Relevancy Score
76.9% Relevancy Score
76.5% Relevancy Score
75.9% Relevancy Score
73.4% Relevancy Score