Primary Antibodies
Secondary Antibodies
Proteins & Peptides
ELISA Kits
About Us
Contact Us
Sign In/Register
0
ISO 9001:2015 Certified
Live Customer Support
4.5/5 on Trustpilot
100% Quality Guarantee
Home
Primary Antibodies
BANP Antibodies
Anti-BANP Antibody (A48448)
Anti-BANP Antibody (A48448)
Overview
Specifications
Images
Enlarge Image
Enlarge Image
$780
Product Datasheet
Rabbit polyclonal antibody to BANP for ELISA, WB and IHC.
100% Guarantee
Price Match Guarantee
Product Size:
100µl
Quantity:
1
2
3
4
5
6
7
8
9
10
Add To Cart
Request a Quotation
Custom or Bulk Request
Shipping Information
Freight/Packing Charges:
$40
Dispatched from St. Louis, MO.
Lead Time: 6-9 business days.
Specifications
Name
Anti-BANP Antibody
Description
Rabbit polyclonal antibody to BANP
Applications
ELISA
,
WB
,
IHC
Reactivity
Human, Mouse, Rat
Immunogen
Raised against a 14 amino acid peptide near the center of human BANP.
Host
Rabbit
Clonality
Polyclonal
Conjugate
Unconjugated
Purification
Affinity chromatography purified via peptide column
Formulation
Supplied in phosphate-buffered saline with 0.02% Sodium Azide.
Storage
Shipped at 4°C. Upon delivery aliquot and store at -20°C. Avoid freeze/thaw cycles.
Synonyms
BEN domain-containing protein 1, BEND1, Btg3-associated nuclear protein, Protein BANP, Scaffold/matrix-associated region-1-binding protein, SMAR1
Suitable Secondaries
Goat Anti-Rabbit IgG H&L Antibody (AP) (A294874)
Goat Anti-Rabbit IgG H&L Antibody (Biotin) (A294795)
Goat Anti-Rabbit IgG H&L Antibody (FITC) (A294887)
Goat Anti-Rabbit IgG H&L Antibody (HRP) (A294888)
See all Anti-Rabbit IgG Secondaries →
Disclaimer
This product is for research use only. It is not intended for diagnostic or therapeutic use.
Scientific Validation Data
Validation Data
(2)
Enlarge Image
Anti-BANP Antibody (A48448)
Western blot analysis of BANP in mouse kidney tissue lysate with BANP antibody at (A) 1 and (B) 2 µg/mL.
Enlarge Image
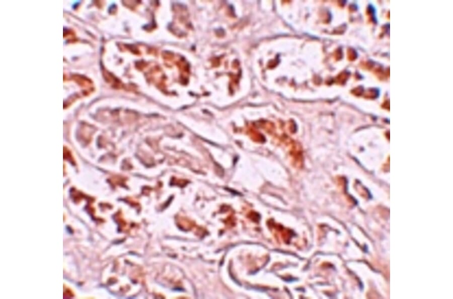
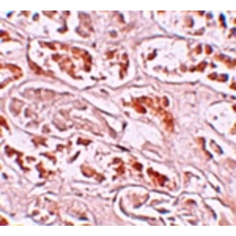
Immunohistochemistry - Anti-BANP Antibody (A48448)
Immunohistochemistry of BANP in human kidney tissue with BANP antibody at 10 µg/mL.
Publishing research using Anti-BANP Antibody (A48448)? Please
let us know
so that we can list the citation on this page.
Alternative products to Anti-BANP Antibody (A48448)
A15801
Anti-BANP Antibody
Rabbit polyclonal antibody to BANP for WB.
A15801
Anti-BANP Antibody
Rabbit polyclonal antibody to BANP for WB.
Proteins predicted to interact with BANP
Predicted protein interactions based upon String database. Revelancy score correlates with probability of interaction.
HDAC1 Antibodies
96% Relevancy Score
p53 Antibodies
94.4% Relevancy Score
SETMAR Antibodies
89.6% Relevancy Score
MDM2 Antibodies
81.3% Relevancy Score
PRP19 Antibodies
81.1% Relevancy Score
CASP Antibodies
74.1% Relevancy Score
CUTL1 Antibodies
74.1% Relevancy Score
beta Catenin Antibodies
73.7% Relevancy Score
FARS2 Antibodies
59.4% Relevancy Score
Top