Primary Antibodies
Secondary Antibodies
Proteins & Peptides
ELISA Kits
About Us
Contact Us
Sign In/Register
0
ISO 9001:2015 Certified
Live Customer Support
4.5/5 on Trustpilot
100% Quality Guarantee
Home
Primary Antibodies
BAP31 Antibodies
Anti-BAP31 Antibody (A47875)
Anti-BAP31 Antibody (A47875)
Overview
Specifications
Images
Enlarge Image
Enlarge Image
$780
Product Datasheet
Rabbit polyclonal antibody to BAP31 for ELISA, WB and IHC.
100% Guarantee
Price Match Guarantee
Product Size:
100µl
Quantity:
1
2
3
4
5
6
7
8
9
10
Add To Cart
Request a Quotation
Custom or Bulk Request
Shipping Information
Freight/Packing Charges:
$40
Dispatched from St. Louis, MO.
Lead Time: 6-9 business days.
Specifications
Name
Anti-BAP31 Antibody
Description
Rabbit polyclonal antibody to BAP31
Applications
ELISA
,
WB
,
IHC
Reactivity
Human, Mouse, Rat
Immunogen
Raised against a 17 amino acid peptide from near the center of human BAP31.
Host
Rabbit
Clonality
Polyclonal
Conjugate
Unconjugated
Purification
Affinity chromatography purified via peptide column
Formulation
Supplied in phosphate-buffered saline with 0.02% Sodium Azide.
Storage
Shipped at 4°C. Upon delivery aliquot and store at -20°C. Avoid freeze/thaw cycles.
Synonyms
6C6-AG tumor-associated antigen, B-cell receptor-associated protein 31, BCAP31, BCR-associated protein 31, DXS1357E, p28, Protein CDM
Suitable Secondaries
Goat Anti-Rabbit IgG H&L Antibody (AP) (A294874)
Goat Anti-Rabbit IgG H&L Antibody (Biotin) (A294795)
Goat Anti-Rabbit IgG H&L Antibody (FITC) (A294887)
Goat Anti-Rabbit IgG H&L Antibody (HRP) (A294888)
See all Anti-Rabbit IgG Secondaries →
Disclaimer
This product is for research use only. It is not intended for diagnostic or therapeutic use.
Scientific Validation Data
Validation Data
(2)
Enlarge Image
Anti-BAP31 Antibody (A47875)
Western blot analysis of BAP31 in rat lung tissue lysate with BAP31 antibody at (A) 0.5, (B) 1 and (C) 2ug/mL.
Enlarge Image
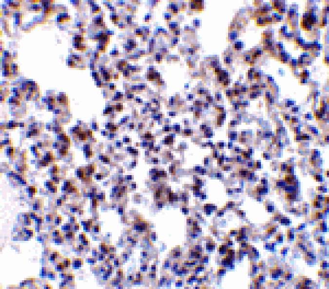
Immunohistochemistry - Anti-BAP31 Antibody (A47875)
Immunohistochemistry of BAP31 in rat lung tissue with BAP31 antibody at 10 µg/mL.
Publishing research using Anti-BAP31 Antibody (A47875)? Please
let us know
so that we can list the citation on this page.
Alternative products to Anti-BAP31 Antibody (A47875)
(4)
A308503
Anti-BAP31 Antibody [ARC1894]
Rabbit monoclonal [ARC1894] antibody to BAP31 for WB, IHC and ICC/IF.
(4)
A83210
Anti-BAP31 Antibody
Goat polyclonal antibody to BAP31 for ELISA, WB and IHC.
(3)
A15514
Anti-BAP31 Antibody
Rabbit polyclonal antibody to BAP31 for WB, ICC/IF and IP.
(3)
A35111
Anti-BAP31 Antibody
Rabbit polyclonal antibody to BAP31 for WB, IHC and ICC/IF.
(2)
A47873
Anti-BAP31 Antibody
Rabbit polyclonal antibody to BAP31 for ELISA, WB and IHC.
(2)
A97694
Anti-BAP31 Antibody
Rabbit polyclonal antibody to BAP31 for WB and ELISA.
(2)
A40478
Anti-BAP31 Antibody
Rabbit polyclonal antibody to BAP31 for ELISA and WB.
A31841
Anti-BCAP31 Antibody
Rabbit polyclonal antibody to BCAP31 for WB, IHC and IF.
(2)
A37203
Anti-BCAP31 Antibody
Rabbit polyclonal antibody to BCAP31 for WB and IHC.
A344696
Anti-BAP31 Antibody [23GB3680]
Recombinant rabbit monoclonal [23GB3680] antibody to BAP31 for WB, Flow Cytometry and ICC/IF.
A344695
Anti-BCAP31 Antibody [24GB11775]
Recombinant rabbit monoclonal [24GB11775] antibody to BCAP31 for WB, Flow Cytometry and ICC/IF.
(4)
A308503
Anti-BAP31 Antibody [ARC1894]
Rabbit monoclonal [ARC1894] antibody to BAP31 for WB, IHC and ICC/IF.
(4)
A83210
Anti-BAP31 Antibody
Goat polyclonal antibody to BAP31 for ELISA, WB and IHC.
(3)
A15514
Anti-BAP31 Antibody
Rabbit polyclonal antibody to BAP31 for WB, ICC/IF and IP.
(3)
A35111
Anti-BAP31 Antibody
Rabbit polyclonal antibody to BAP31 for WB, IHC and ICC/IF.
(2)
A47873
Anti-BAP31 Antibody
Rabbit polyclonal antibody to BAP31 for ELISA, WB and IHC.
(2)
A97694
Anti-BAP31 Antibody
Rabbit polyclonal antibody to BAP31 for WB and ELISA.
(2)
A40478
Anti-BAP31 Antibody
Rabbit polyclonal antibody to BAP31 for ELISA and WB.
A31841
Anti-BCAP31 Antibody
Rabbit polyclonal antibody to BCAP31 for WB, IHC and IF.
(2)
A37203
Anti-BCAP31 Antibody
Rabbit polyclonal antibody to BCAP31 for WB and IHC.
A344696
Anti-BAP31 Antibody [23GB3680]
Recombinant rabbit monoclonal [23GB3680] antibody to BAP31 for WB, Flow Cytometry and ICC/IF.
A344695
Anti-BCAP31 Antibody [24GB11775]
Recombinant rabbit monoclonal [24GB11775] antibody to BCAP31 for WB, Flow Cytometry and ICC/IF.
See all BAP31 Antibodies
Proteins predicted to interact with BAP31
Predicted protein interactions based upon String database. Revelancy score correlates with probability of interaction.
FIS1 Antibodies
99.6% Relevancy Score
Caspase-8 Antibodies
98.9% Relevancy Score
Calnexin Antibodies
93.8% Relevancy Score
BAP29 Antibodies
92.6% Relevancy Score
VAPB Antibodies
91.5% Relevancy Score
UBC13 Antibodies
88.5% Relevancy Score
DRP1 Antibodies
86.2% Relevancy Score
BclXL Antibodies
85.3% Relevancy Score
Bcl-2 Antibodies
84.6% Relevancy Score
Top