ISO 9001:2015 Certified
Live Customer Support
4.5/5 on Trustpilot
100% Quality Guarantee

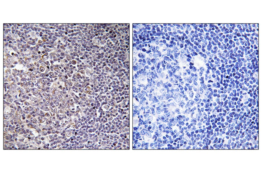
Anti-BCAS4 Antibody (A99677)

Rabbit polyclonal antibody to BCAS4 for WB, IHC, IF and ELISA.

Shipping Information

$40
Dispatched from St. Louis, MO.
Lead Time: 6-8 business days.
Name
Anti-BCAS4 Antibody
Description
Rabbit polyclonal antibody to BCAS4.
Applications
WB, IHC, IF, ELISA
Dilutions
WB: 1:500~1:1000, IHC: 1:50~1:100, ELISA: 1:20000
Reactivity
Human, Rat, Mouse
Cross Reactivity
No reported cross-reactivity.
Immunogen
Synthetic peptide derived from human BCAS4 (amino acids 31-80).
Host
Rabbit
Clonality
Polyclonal
Isotype
IgG
Conjugate

Unconjugated

Purification
Purified from rabbit serum by antigen affinity chromatography using the immunizing peptide.
Molecular Weight
22kDa
Product Form
Liquid
Formulation
Supplied in Phosphate Buffered Saline (without Mg2+ and Ca2+), pH 7.4, with 150mM NaCl, 0.02% Sodium Azide, and 50% Glycerol.
Storage
Shipped at 4°C. Upon delivery aliquot and store at -20°C. Avoid freeze / thaw cycles.
Synonyms
Breast carcinoma-amplified sequence 4
Disclaimer
This product is for research use only. It is not intended for diagnostic or therapeutic use.
Publishing research using Anti-BCAS4 Antibody (A99677)? Please let us know so that we can list the citation on this page.

Alternative products to Anti-BCAS4 Antibody (A99677)

Proteins predicted to interact with BASC4

Predicted protein interactions based upon String database. Revelancy score correlates with probability of interaction.
98.3% Relevancy Score
92.2% Relevancy Score
92% Relevancy Score
89.3% Relevancy Score
87.9% Relevancy Score
86.4% Relevancy Score
58.9% Relevancy Score
54.1% Relevancy Score
54% Relevancy Score