Western Blot - Anti-Bcl-2 Antibody [ARC0173] (A306910)
Western blot analysis of extracts of various cell lines, using Anti-Bcl-2 Antibody [ARC0173] (A306910) at 1:1,000 dilution. The secondary antibody was Goat Anti-Rabbit IgG H&L Antibody (HRP) at 1:10,000 dilution. Lysates/proteins were present at 25µg per lane. The blocking buffer used was 3% non-fat dry milk in TBST. Detection was with a ECL Basic Kit. Exposure time: 3min.
Immunohistochemistry analysis of paraffin-embedded human tonsil (100X) using Anti-Bcl-2 Antibody [ARC0173] (A306910) at a dilution of 1:100 (40x lens). Perform high pressure antigen retrieval with 10 mM citrate buffer pH 6.0 before commencing with IHC staining protocol.
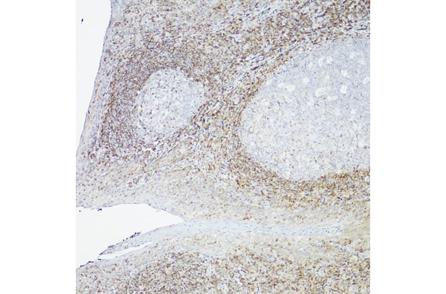
Immunohistochemistry analysis of paraffin-embedded human appendix tissue (100X) using Anti-Bcl-2 Antibody [ARC0173] (A306910) at a dilution of 1:100 (40x lens). Perform high pressure antigen retrieval with 10 mM citrate buffer pH 6.0 before commencing with IHC staining protocol.
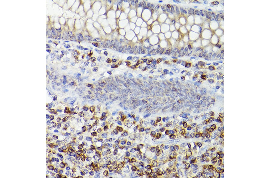
Immunohistochemistry analysis of paraffin-embedded human appendix tissue (400X) using Anti-Bcl-2 Antibody [ARC0173] (A306910) at a dilution of 1:100 (40x lens). Perform high pressure antigen retrieval with 10 mM citrate buffer pH 6.0 before commencing with IHC staining protocol.
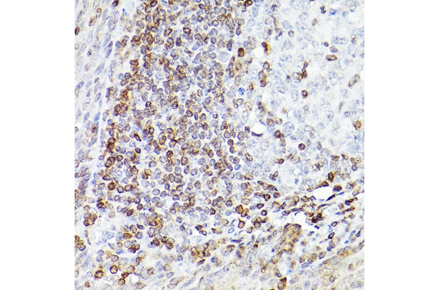
Immunohistochemistry analysis of paraffin-embedded human tonsil (400X) using Anti-Bcl-2 Antibody [ARC0173] (A306910) at a dilution of 1:100 (40x lens). Perform high pressure antigen retrieval with 10 mM citrate buffer pH 6.0 before commencing with IHC staining protocol.
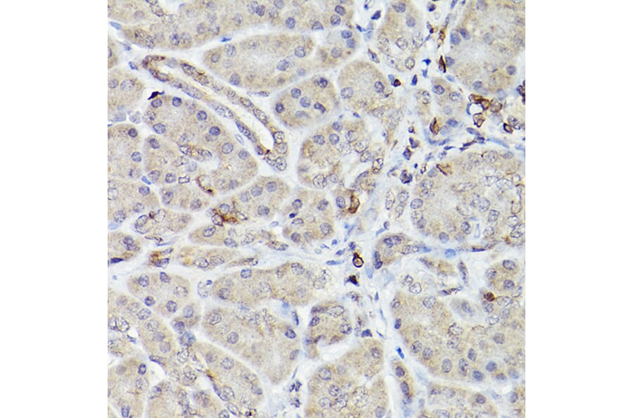
Immunohistochemistry analysis of paraffin-embedded human normal pancreas using Anti-Bcl-2 Antibody [ARC0173] (A306910) at a dilution of 1:100 (40x lens). Perform high pressure antigen retrieval with 10 mM citrate buffer pH 6.0 before commencing with IHC staining protocol.
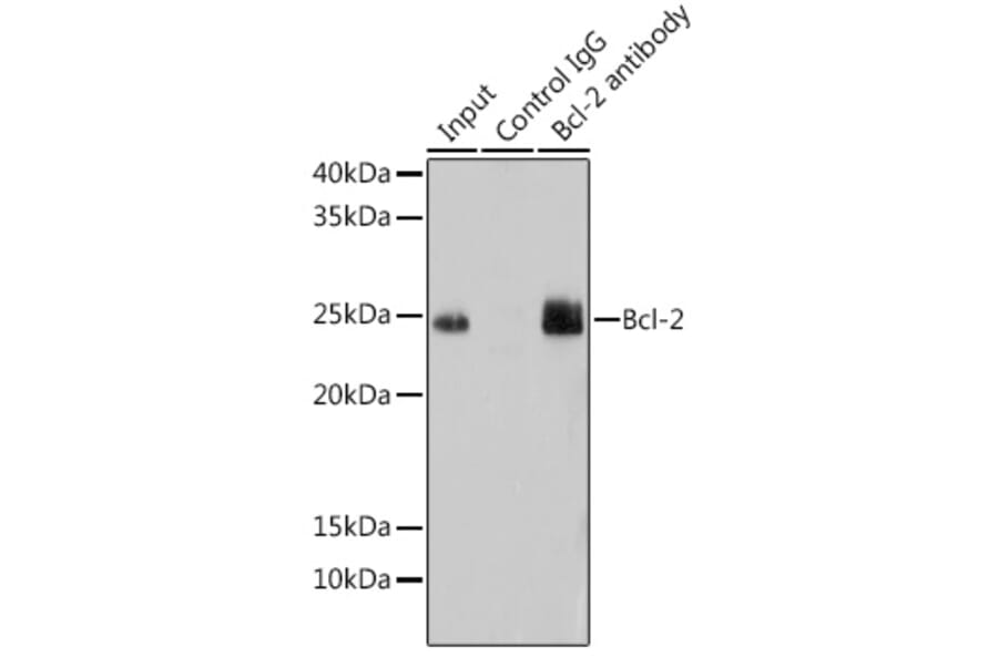
Western Blot - Anti-Bcl-2 Antibody [ARC0173] (A306910)
Immunoprecipitation analysis of 200µg extracts of mouse lung using 3µg of Anti-Bcl-2 Antibody [ARC0173] (A306910). This Western blot was performed on the immunoprecipitate using Anti-Bcl-2 Antibody [ARC0173] (A306910) at a dilution of 1:1000.