ISO 9001:2015 Certified
Live Customer Support
4.5/5 on Trustpilot
100% Quality Guarantee

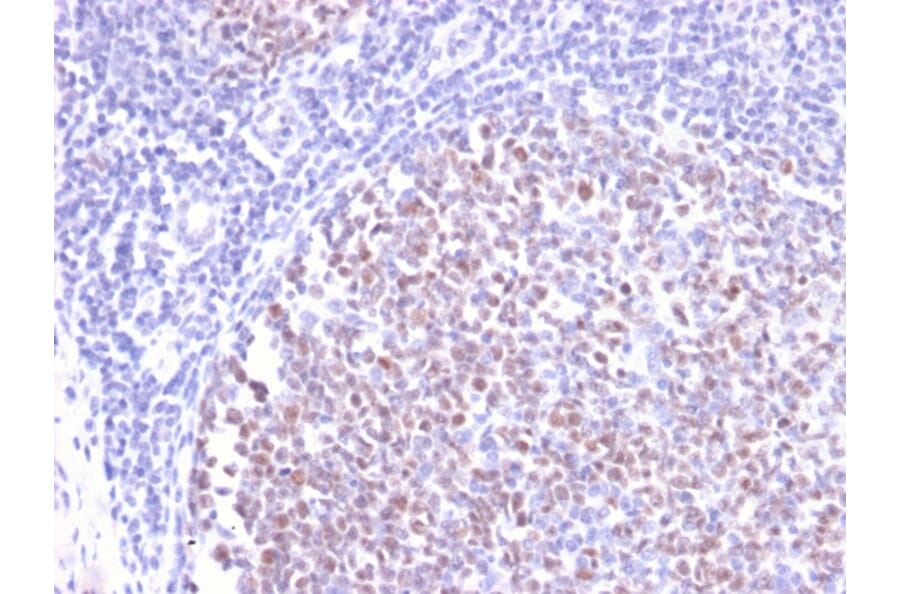
Recombinant Anti-Bcl-6 Antibody [BCL6/2497R] - BSA and Azide free (A253089)

Recombinant rabbit monoclonal [BCL6/2497R] antibody to Bcl-6 for IHC-P.

Alternative Formats and ConjugatesAlternative Formats

Shipping Information

$40
Dispatched from St. Louis, MO.
Lead Time: 5-8 business days.
Name
Anti-Bcl-6 Antibody [BCL6/2497R] - BSA and Azide free
Description
Recombinant rabbit monoclonal [BCL6/2497R] antibody to Bcl-6.
Specificity
This antibody recognizes a protein of 95kDa, which is identified as Bcl-6. Antibody to bcl-6 is helpful in a number of diagnostic settings: (1) In the differential diagnosis of small B-cell lymphoma. Follicular lymphoma will show bcl-6 (and CD10) positivity whereas other small B-cell lymphomas are usually negative. (2) Bcl-6 is an important prognostic marker in diffuse large B-cell lymphomas (DLBCL), where CD10, bcl-6 and MUM1/IRF4 are used to identify germinal center and activated B-cell phenotypes. (3) Bcl-6 can be valuable in distinguishing classical Hodgkin lymphoma from nodular lymphocyte predominant Hodgkin lymphoma (NLPHL). The Reed-Sternberg cells of classical Hodgkin lymphoma are bcl-6 negative whereas the large ('LH') cells of NLPHL are bcl-6 positive. In contrast, anti-Bcl-6 rarely stains mantle-cell lymphoma and MALT lymphoma.
Applications
IHC-P
Dilutions
IHC-P: 1-2 µg/ml
Reactivity
Human
Immunogen
Recombinant fragment, around amino acids 256-389, of human Bcl-6 protein. The exact sequence is proprietary.
Host
Rabbit
Clonality
Monoclonal
Clone ID
BCL6/2497R
Isotype
IgG
Conjugate

Unconjugated

Purification
Protein A/G chromatography.
Concentration
1 mg/ml
Molecular Weight
95 kDa
Product Form
Liquid
Formulation
Supplied in 10mM Phosphate Buffered Saline; without Sodium Azide and carrier free.
Storage
Shipped at 4°C. Upon delivery aliquot and store at -20°C. Avoid freeze / thaw cycles.
General Notes
This monoclonal antibody is also available in a different formulation with BSA and Sodium Azide - Anti-Bcl-6 Antibody [BCL6/2497R] (A249909).
Synonyms
B-cell lymphoma 5 protein, B-cell lymphoma 6 protein, BCL-5, BCL5, LAZ3, Protein LAZ-3, ZBTB27, Zinc finger and BTB domain-containing protein 27, Zinc finger protein 51, ZNF51
Disclaimer
This product is for research use only. It is not intended for diagnostic or therapeutic use.
Publishing research using Recombinant Anti-Bcl-6 Antibody [BCL6/2497R] - BSA and Azide free (A253089)? Please let us know so that we can list the citation on this page.

Alternative products to Anti-Bcl-6 Antibody [BCL6/2497R] - BSA and Azide free (A253089)

Proteins predicted to interact with BCL6

Predicted protein interactions based upon String database. Revelancy score correlates with probability of interaction.
99.9% Relevancy Score
99.9% Relevancy Score
99.9% Relevancy Score
96.6% Relevancy Score
95.7% Relevancy Score
94.2% Relevancy Score
93.5% Relevancy Score
93.1% Relevancy Score
92.6% Relevancy Score