Primary Antibodies
Secondary Antibodies
Proteins & Peptides
ELISA Kits
About Us
Contact Us
Sign In/Register
0
ISO 9001:2015 Certified
Live Customer Support
4.5/5 on Trustpilot
100% Quality Guarantee
Home
Primary Antibodies
BclXL Antibodies
Anti-BCL-XL (phospho Ser62) Antibody (A94215)
Anti-BCL-XL (phospho Ser62) Antibody (A94215)
Overview
Specifications
Images
Enlarge Image
Enlarge Image
$200
Product Datasheet
Rabbit polyclonal antibody to BCL-XL (phospho Ser62) for WB, IHC, IF and ELISA.
100% Guarantee
Price Match Guarantee
Product Size:
10µg
100µg
Quantity:
1
2
3
4
5
6
7
8
9
10
Add To Cart
Request a Quotation
Custom or Bulk Request
Shipping Information
Freight/Packing Charges:
$40
Dispatched from St. Louis, MO.
Lead Time: 6-8 business days.
Specifications
Name
Anti-BCL-XL (phospho Ser62) Antibody
Description
Rabbit polyclonal antibody to BCL-XL (phospho Ser62).
Specificity
This antibody detects endogenous levels of BCL-XL only when phosphorylated at Ser62.
Applications
WB
,
IHC
,
IF
,
ELISA
Dilutions
WB: 1:500~1:1000, IHC: 1:50~1:100, IF: 1:100~1:500, ELISA: 1:40000
Reactivity
Human, Mouse, Rat
Cross Reactivity
No reported cross-reactivity.
Immunogen
Synthetic peptide derived from human BCL-XL around the phosphorylation site of Ser62 (amino acids 28-77).
Host
Rabbit
Clonality
Polyclonal
Isotype
IgG
Conjugate
Unconjugated
Purification
Purified from rabbit serum by antigen affinity chromatography using the immunizing phospho peptide.
Molecular Weight
26kDa
Product Form
Liquid
Formulation
Supplied in Phosphate Buffered Saline (without Mg2+ and Ca2+), pH 7.4, with 150mM NaCl, 0.02% Sodium Azide, and 50% Glycerol.
Storage
Shipped at 4°C. Upon delivery aliquot and store at -20°C. Avoid freeze / thaw cycles.
Synonyms
Apoptosis regulator Bcl-X, Bcl-2-like protein 1, Bcl2-L-1, BCL2L, BCL2L1, BCLX
Isotype Controls
Rabbit IgG (A82272)
Rabbit IgG (A17360)
Suitable Secondaries
Goat Anti-Rabbit IgG H&L Antibody (AP) (A294874)
Goat Anti-Rabbit IgG H&L Antibody (Biotin) (A294795)
Goat Anti-Rabbit IgG H&L Antibody (FITC) (A294887)
Goat Anti-Rabbit IgG H&L Antibody (HRP) (A294888)
See all Anti-Rabbit IgG Secondaries →
Disclaimer
This product is for research use only. It is not intended for diagnostic or therapeutic use.
Scientific Validation Data
Validation Data
(2)
Enlarge Image
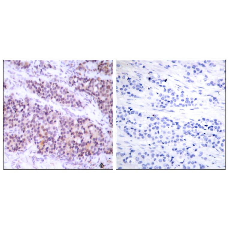
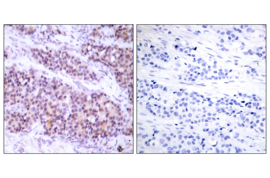
Immunohistochemistry - Anti-BCL-XL (phospho Ser62) Antibody (A94215)
Immunohistochemical analysis of paraffin-embedded human breast carcinoma using Anti-BCL-XL (phospho Ser62) Antibody. The right hand panel represents a negative control, where the antibody was pre-incubated with the immunising peptide.
Enlarge Image
Western Blot - Anti-BCL-XL (phospho Ser62) Antibody (A94215)
Western blot analysis of lysates from 293 cells treated with UV and MDA MB 435 cells treated with UV using Anti-BCL-XL (phospho Ser62) Antibody.
Publishing research using Anti-BCL-XL (phospho Ser62) Antibody (A94215)? Please
let us know
so that we can list the citation on this page.
Alternative products to Anti-BCL-XL (phospho Ser62) Antibody (A94215)
(5)
A95103
Anti-BCL-XL Antibody
Rabbit polyclonal antibody to BCL-XL for WB, IHC, IF and ELISA.
(4)
A93505
Anti-BCL-XL (phospho Thr47) Antibody
Rabbit polyclonal antibody to BCL-XL (phospho Thr47) for WB, IHC, IF and ELISA.
(3)
A36576
1 Citation
Anti-Bcl-2-like protein 1 Antibody
Mouse monoclonal antibody to Bcl-2-like protein 1 for WB and IHC.
(3)
A34928
Anti-BCL2L1 Antibody
Rabbit polyclonal antibody to BCL2L1 for WB, IHC and ICC/IF.
(2)
A37003
Anti-BCL2L1 Antibody
Rabbit polyclonal antibody to BCL2L1 for WB and IHC.
A93553
Anti-BCL-XL (phospho Thr115) Antibody
Rabbit polyclonal antibody to BCL-XL (phospho Thr115) for IHC, IF and ELISA.
(3)
A34929
Anti-BCL2L1 Antibody
Rabbit polyclonal antibody to BCL2L1 for WB, IHC and ICC/IF.
(5)
A95103
Anti-BCL-XL Antibody
Rabbit polyclonal antibody to BCL-XL for WB, IHC, IF and ELISA.
(4)
A93505
Anti-BCL-XL (phospho Thr47) Antibody
Rabbit polyclonal antibody to BCL-XL (phospho Thr47) for WB, IHC, IF and ELISA.
(3)
A36576
1 Citation
Anti-Bcl-2-like protein 1 Antibody
Mouse monoclonal antibody to Bcl-2-like protein 1 for WB and IHC.
(3)
A34928
Anti-BCL2L1 Antibody
Rabbit polyclonal antibody to BCL2L1 for WB, IHC and ICC/IF.
(2)
A37003
Anti-BCL2L1 Antibody
Rabbit polyclonal antibody to BCL2L1 for WB and IHC.
A93553
Anti-BCL-XL (phospho Thr115) Antibody
Rabbit polyclonal antibody to BCL-XL (phospho Thr115) for IHC, IF and ELISA.
(3)
A34929
Anti-BCL2L1 Antibody
Rabbit polyclonal antibody to BCL2L1 for WB, IHC and ICC/IF.
See all BclXL Antibodies
Proteins predicted to interact with BclXL
Predicted protein interactions based upon String database. Revelancy score correlates with probability of interaction.
BID Antibodies
99.9% Relevancy Score
HRK Antibodies
99.9% Relevancy Score
Noxa Antibodies
99.9% Relevancy Score
p53 Antibodies
99.9% Relevancy Score
Beclin 1 Antibodies
99.9% Relevancy Score
Bcl-2 Antibodies
99.9% Relevancy Score
BIK Antibodies
99.9% Relevancy Score
Bax Antibodies
99.9% Relevancy Score
PUMA Antibodies
99.9% Relevancy Score
Top