ISO 9001:2015 Certified
Live Customer Support
4.5/5 on Trustpilot
100% Quality Guarantee

Anti-Bcl2L2 Antibody [PCRP-BCL2L2-1A4] (A277772)

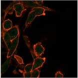
Mouse monoclonal [PCRP-BCL2L2-1A4] antibody to Bcl2L2 for IP, Flow Cytometry and IF.

Alternative Formats and ConjugatesAlternative Formats

Shipping Information

$40
Dispatched from St. Louis, MO.
Lead Time: 5-8 business days.
Name
Anti-Bcl2L2 Antibody [PCRP-BCL2L2-1A4]
Description
Mouse monoclonal [PCRP-BCL2L2-1A4] antibody to Bcl2L2.
Specificity
This gene encodes a member of the BCL-2 protein family. The proteins of this family form hetero- or homodimers and act as anti- and pro-apoptotic regulators. Expression of this gene in cells has been shown to contribute to reduced cell apoptosis under cytotoxic conditions. Studies of the related gene in mice indicated a role in the survival of NGF- and BDNF-dependent neurons. Mutation and knockout studies of the mouse gene demonstrated an essential role in adult spermatogenesis. Alternative splicing results in multiple transcript variants. Read-through transcription also exists between this gene and the neighboring downstream PABPN1 (poly(A) binding protein, nuclear 1) gene.
Applications
IP, Flow Cytometry, IF
Dilutions
IP: 1-2µg / 100-500µg proteins, Flow Cytometry: 1-2 µg/million cells, IF: 1-2 µg/ml
Reactivity
Human
Immunogen
Recombinant full-length human Bcl2L2 protein.
Host
Mouse
Clonality
Monoclonal
Clone ID
PCRP-BCL2L2-1A4
Isotype
IgG2b
Conjugate

Unconjugated

Purification
Protein A/G chromatography.
Concentration
200 µg/ml
Molecular Weight
22-30 kDa
Product Form
Liquid
Formulation
Supplied in 10mM Phosphate Buffered Saline with 0.05% BSA and 0.05% Sodium Azide.
Storage
Shipped at 4°C. Upon delivery aliquot and store at -20°C. Avoid freeze / thaw cycles.
General Notes
This monoclonal antibody is also available in a different formulation without BSA and Sodium Azide - Anti-Bcl2L2 Antibody [PCRP-BCL2L2-1A4] - BSA and Azide free (A278360).
Synonyms
Apoptosis regulator Bcl-W, Bcl-2-like protein 2, Bcl2-L-2, BCLW, KIAA0271
Disclaimer
This product is for research use only. It is not intended for diagnostic or therapeutic use.
Publishing research using Anti-Bcl2L2 Antibody [PCRP-BCL2L2-1A4] (A277772)? Please let us know so that we can list the citation on this page.

Alternative products to Anti-Bcl2L2 Antibody [PCRP-BCL2L2-1A4] (A277772)

Proteins predicted to interact with Bcl-w

Predicted protein interactions based upon String database. Revelancy score correlates with probability of interaction.
99.9% Relevancy Score
99.8% Relevancy Score
99.6% Relevancy Score
99.1% Relevancy Score
98.8% Relevancy Score
98.7% Relevancy Score
98% Relevancy Score
97.9% Relevancy Score
95.9% Relevancy Score