Primary Antibodies
Secondary Antibodies
Proteins & Peptides
ELISA Kits
About Us
Contact Us
Sign In/Register
0
ISO 9001:2015 Certified
Live Customer Support
4.5/5 on Trustpilot
100% Quality Guarantee
Home
Primary Antibodies
BCL3 Antibodies
Anti-BCL3 Antibody (A38798)
Anti-BCL3 Antibody (A38798)
Overview
Specifications
Images
Enlarge Image
Enlarge Image
$430
Rabbit polyclonal antibody to BCL3 for WB and IHC.
100% Guarantee
Price Match Guarantee
Product Size:
100µl
Quantity:
1
2
3
4
5
6
7
8
9
10
Add To Cart
Request a Quotation
Custom or Bulk Request
Shipping Information
Freight/Packing Charges:
$40
Dispatched from St. Louis, MO.
Lead Time: 6-9 business days.
Specifications
Name
Anti-BCL3 Antibody
Description
Rabbit polyclonal antibody to BCL3
Specificity
The antibody detects endogenous levels of total BCL3 protein.
Applications
WB
,
IHC
Reactivity
Human, Mouse
Immunogen
Synthetic peptide corresponding to residues near the N terminal of human B-cell CLL / lymphoma 3
Host
Rabbit
Clonality
Polyclonal
Conjugate
Unconjugated
Purification
Antigen affinity purification.
Concentration
1 mg/ml
Formulation
Rabbit IgG in pH7.3 PBS, 0.05% NaN3, 50% Glycerol.
Storage
Store at -20˚C
Synonyms
B-cell lymphoma 3 protein, BCL-3, BCL4, D19S37, Proto-oncogene BCL3
Suitable Secondaries
Goat Anti-Rabbit IgG H&L Antibody (AP) (A294874)
Goat Anti-Rabbit IgG H&L Antibody (Biotin) (A294795)
Goat Anti-Rabbit IgG H&L Antibody (FITC) (A294887)
Goat Anti-Rabbit IgG H&L Antibody (HRP) (A294888)
See all Anti-Rabbit IgG Secondaries →
Disclaimer
This product is for research use only. It is not intended for diagnostic or therapeutic use.
Scientific Validation Data
Validation Data
(2)
Enlarge Image
Anti-BCL3 Antibody (A38798)
Gel: 8% SDS-PAGE Lysates (from left to right): A549 and hela cell Amount of lysate: 40ug per lane Primary antibody: 1/333 dilution Secondary antibody dilution: 1/8000 Exposure time: 10 minutes
Enlarge Image
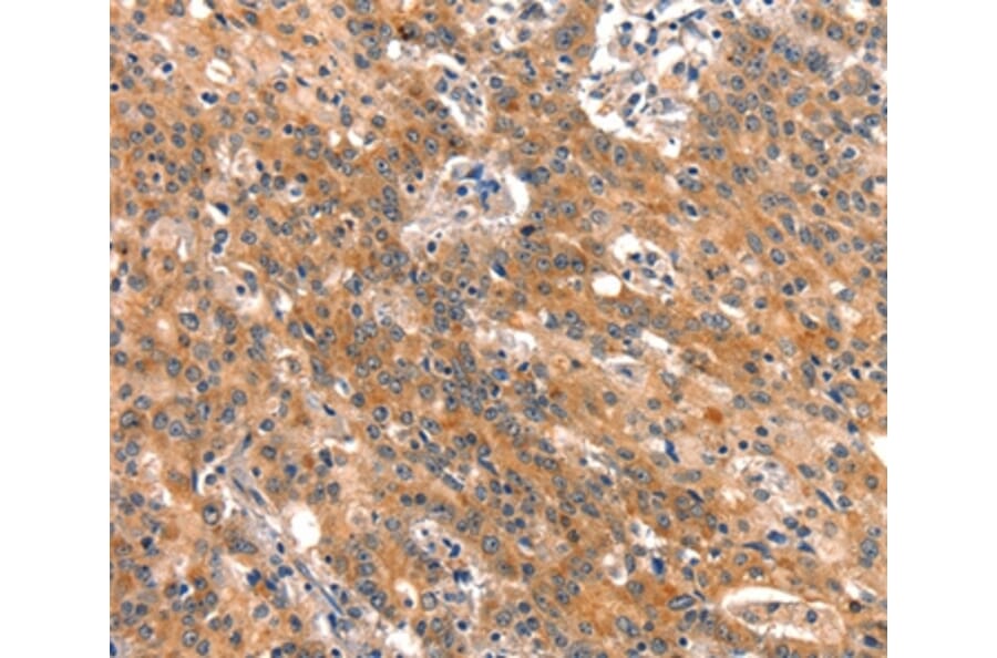
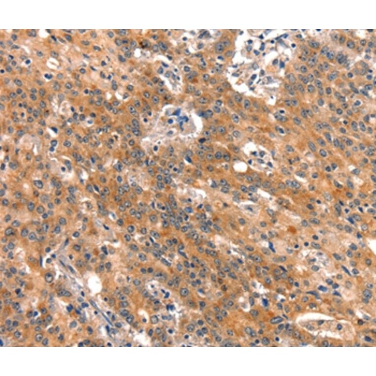
Immunohistochemistry - Anti-BCL3 Antibody (A38798)
Immunohistochemical analysis of paraffin-embedded Human gastric cancer tissue using #37149 at dilution 1/15.
Publishing research using Anti-BCL3 Antibody (A38798)? Please
let us know
so that we can list the citation on this page.
Alternative products to Anti-BCL3 Antibody (A38798)
(4)
A80546
Anti-Bcl3 Antibody
Rabbit polyclonal antibody to Bcl3 for WB and ICC/IF.
A304486
Anti-Bcl-3 Antibody [150-3.5] - BSA and Azide free
Hamster monoclonal [150-35] antibody to Bcl-3 for WB and ELISA.
A51110
Anti-BCL-3 (Phospho-Ser402) Antibody
Rabbit Polycolonal antibody to BCL-3 (Phospho-Ser402) for WB.
(4)
A80546
Anti-Bcl3 Antibody
Rabbit polyclonal antibody to Bcl3 for WB and ICC/IF.
A304486
Anti-Bcl-3 Antibody [150-3.5] - BSA and Azide free
Hamster monoclonal [150-35] antibody to Bcl-3 for WB and ELISA.
A51110
Anti-BCL-3 (Phospho-Ser402) Antibody
Rabbit Polycolonal antibody to BCL-3 (Phospho-Ser402) for WB.
Proteins predicted to interact with BCL3
Predicted protein interactions based upon String database. Revelancy score correlates with probability of interaction.
NFkB p50 Antibodies
99.9% Relevancy Score
NFKB2 Antibodies
99.9% Relevancy Score
CYLD Antibodies
98.6% Relevancy Score
RelB Antibodies
95.9% Relevancy Score
c-Rel Antibodies
95.2% Relevancy Score
NF-kB p65 Antibodies
95.1% Relevancy Score
HDAC1 Antibodies
90.9% Relevancy Score
IkB alpha Antibodies
90.4% Relevancy Score
c-Fos Antibodies
85.6% Relevancy Score
Top