Primary Antibodies
Secondary Antibodies
Proteins & Peptides
ELISA Kits
About Us
Contact Us
Sign In/Register
0
ISO 9001:2015 Certified
Live Customer Support
4.5/5 on Trustpilot
100% Quality Guarantee
Home
Primary Antibodies
Bcr Antibodies
Anti-BCR Antibody (A47219)
Anti-BCR Antibody (A47219)
Overview
Specifications
Images
Enlarge Image
Enlarge Image
$430
Product Datasheet
Rabbit polyclonal antibody to BCR for IHC.
100% Guarantee
Price Match Guarantee
Product Size:
100µl
Quantity:
1
2
3
4
5
6
7
8
9
10
Add To Cart
Request a Quotation
Custom or Bulk Request
Shipping Information
Freight/Packing Charges:
$40
Dispatched from St. Louis, MO.
Lead Time: 6-9 business days.
Specifications
Name
Anti-BCR Antibody
Description
Rabbit polyclonal antibody to BCR
Specificity
The antibody detects endogenous levels of total BCR protein.
Applications
IHC
Reactivity
Human, Mouse
Immunogen
Synthetic peptide corresponding to a region derived from internal residues of human breakpoint cluster region
Host
Rabbit
Clonality
Polyclonal
Conjugate
Unconjugated
Purification
Antigen affinity purification.
Concentration
1.6 mg/mL
Formulation
Supplied in PBS, pH 7.3, containing 0.05% sodium azide and 50% glycerol.
Storage
Shipped at 4°C. Upon delivery aliquot and store at -20°C. Avoid freeze/thaw cycles.
Synonyms
BCR1, Breakpoint cluster region protein, D22S11, Renal carcinoma antigen NY-REN-26
Suitable Secondaries
Goat Anti-Rabbit IgG H&L Antibody (AP) (A294874)
Goat Anti-Rabbit IgG H&L Antibody (Biotin) (A294795)
Goat Anti-Rabbit IgG H&L Antibody (FITC) (A294887)
Goat Anti-Rabbit IgG H&L Antibody (HRP) (A294888)
See all Anti-Rabbit IgG Secondaries →
Disclaimer
This product is for research use only. It is not intended for diagnostic or therapeutic use.
Scientific Validation Data
Validation Data
(2)
Enlarge Image
Immunohistochemistry - Anti-BCR Antibody (A47219)
Immunohistochemical analysis of paraffin-embedded Human thyroid cancer tissue using #37152 at dilution 1/15.
Enlarge Image
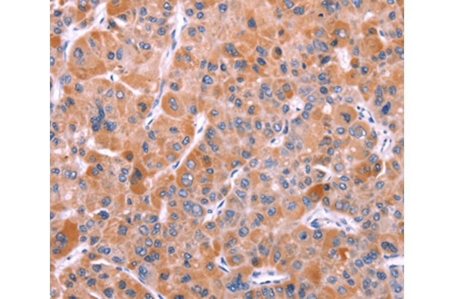
Immunohistochemistry - Anti-BCR Antibody (A47219)
Immunohistochemical analysis of paraffin-embedded Human liver cancer tissue using #37152 at dilution 1/15.
Publishing research using Anti-BCR Antibody (A47219)? Please
let us know
so that we can list the citation on this page.
Alternative products to Anti-BCR Antibody (A47219)
(3)
A93557
Anti-Bcr (phospho Tyr360) Antibody
Rabbit polyclonal antibody to Bcr (phospho Tyr360) for WB, IHC, IF and ELISA.
(3)
A99726
Anti-Bcr Antibody
Rabbit polyclonal antibody to Bcr for WB, IHC, IF and ELISA.
(3)
A12512
Anti-Bcr Antibody
Rabbit polyclonal antibody to Bcr for WB and IHC.
(2)
A25539
Anti-Bcr (S356) Antibody
Rabbit polyclonal antibody to Bcr (S356) for WB and IHC.
A25063
Anti-Bcr (D171) Antibody
Rabbit polyclonal antibody to Bcr (D171) for WB and IHC.
A11082
Anti-Bcr (phospho Tyr177) Antibody
Rabbit polyclonal antibody to Bcr (phospho Tyr177) for WB.
(2)
A39354
Anti-Bcr (Ab-177) Antibody
Rabbit polyclonal antibody to Bcr (Ab-177) for WB and ICC/IF.
(2)
A50499
Anti-Bcr (Phospho-Tyr177) Antibody
Rabbit polyclonal antibody to Bcr (Phospho-Tyr177) for WB and IHC.
A344733
Anti-Bcr Antibody [25GB1190]
Recombinant rabbit monoclonal [25GB1190] antibody to Bcr for WB, Flow Cytometry and ICC/IF.
(2)
A95035
Anti-Bcr (phospho Tyr177) Antibody
Rabbit polyclonal antibody to Bcr (phospho Tyr177) for WB and ELISA.
A344732
Anti-Bcr Antibody [24GB6945]
Recombinant rabbit monoclonal [24GB6945] antibody to Bcr for WB, Flow Cytometry and ICC/IF.
(3)
A93557
Anti-Bcr (phospho Tyr360) Antibody
Rabbit polyclonal antibody to Bcr (phospho Tyr360) for WB, IHC, IF and ELISA.
(3)
A99726
Anti-Bcr Antibody
Rabbit polyclonal antibody to Bcr for WB, IHC, IF and ELISA.
(3)
A12512
Anti-Bcr Antibody
Rabbit polyclonal antibody to Bcr for WB and IHC.
(2)
A25539
Anti-Bcr (S356) Antibody
Rabbit polyclonal antibody to Bcr (S356) for WB and IHC.
A25063
Anti-Bcr (D171) Antibody
Rabbit polyclonal antibody to Bcr (D171) for WB and IHC.
A11082
Anti-Bcr (phospho Tyr177) Antibody
Rabbit polyclonal antibody to Bcr (phospho Tyr177) for WB.
(2)
A39354
Anti-Bcr (Ab-177) Antibody
Rabbit polyclonal antibody to Bcr (Ab-177) for WB and ICC/IF.
(2)
A50499
Anti-Bcr (Phospho-Tyr177) Antibody
Rabbit polyclonal antibody to Bcr (Phospho-Tyr177) for WB and IHC.
A344733
Anti-Bcr Antibody [25GB1190]
Recombinant rabbit monoclonal [25GB1190] antibody to Bcr for WB, Flow Cytometry and ICC/IF.
(2)
A95035
Anti-Bcr (phospho Tyr177) Antibody
Rabbit polyclonal antibody to Bcr (phospho Tyr177) for WB and ELISA.
A344732
Anti-Bcr Antibody [24GB6945]
Recombinant rabbit monoclonal [24GB6945] antibody to Bcr for WB, Flow Cytometry and ICC/IF.
See all BCR Antibodies
Proteins predicted to interact with Bcr
Predicted protein interactions based upon String database. Revelancy score correlates with probability of interaction.
c-Abl Antibodies
99.6% Relevancy Score
GRB2 Antibodies
99.4% Relevancy Score
CrkL Antibodies
97.5% Relevancy Score
CBL Antibodies
97.1% Relevancy Score
Crk Antibodies
94.5% Relevancy Score
STAT5B Antibodies
93.6% Relevancy Score
SHC Antibodies
92.5% Relevancy Score
STAT5A Antibodies
92.4% Relevancy Score
SHC3 Antibodies
90.1% Relevancy Score
Top