Primary Antibodies
Secondary Antibodies
Proteins & Peptides
ELISA Kits
About Us
Contact Us
Sign In/Register
0
ISO 9001:2015 Certified
Live Customer Support
4.5/5 on Trustpilot
100% Quality Guarantee
Home
Primary Antibodies
Beclin 1 Antibodies
Anti-Beclin-1 Antibody (A47423)
Anti-Beclin-1 Antibody (A47423)
Overview
Specifications
Images
Enlarge Image
Enlarge Image
$780
Product Datasheet
Rabbit polyclonal antibody to Beclin-1 for ELISA, WB and IHC.
100% Guarantee
Price Match Guarantee
Product Size:
100µl
Quantity:
1
2
3
4
5
6
7
8
9
10
Add To Cart
Request a Quotation
Custom or Bulk Request
Shipping Information
Freight/Packing Charges:
$40
Dispatched from St. Louis, MO.
Lead Time: 6-9 business days.
Tags:
Lysosome Marker
Specifications
Name
Anti-Beclin-1 Antibody
Description
Rabbit polyclonal antibody to Beclin-1
Applications
ELISA
,
WB
,
IHC
Reactivity
Human, Mouse, Rat
Immunogen
Raised against a 17 amino acid peptide from near the amino terminus of human Beclin-1.
Host
Rabbit
Clonality
Polyclonal
Conjugate
Unconjugated
Purification
Affinity chromatography purified via peptide column
Formulation
Supplied in phosphate-buffered saline with 0.02% Sodium Azide.
Storage
Shipped at 4°C. Upon delivery aliquot and store at -20°C. Avoid freeze/thaw cycles.
Synonyms
BECN1, Coiled-coil myosin-like BCL2-interacting protein, GT197, Protein GT197
Suitable Secondaries
Goat Anti-Rabbit IgG H&L Antibody (AP) (A294874)
Goat Anti-Rabbit IgG H&L Antibody (Biotin) (A294795)
Goat Anti-Rabbit IgG H&L Antibody (FITC) (A294887)
Goat Anti-Rabbit IgG H&L Antibody (HRP) (A294888)
See all Anti-Rabbit IgG Secondaries →
Disclaimer
This product is for research use only. It is not intended for diagnostic or therapeutic use.
Scientific Validation Data
Validation Data
(2)
Enlarge Image
Anti-Beclin-1 Antibody (A47423)
Western blot analysis of Beclin-1 in 293 cell lysate with Beclin-1 antibody at (A) 0.5, (B) 1 and (C) 2 µg/mL.
Enlarge Image
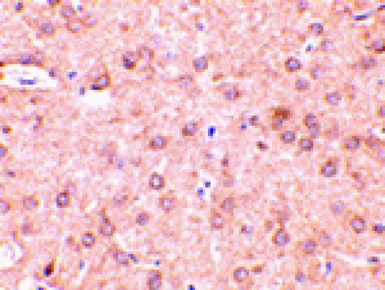
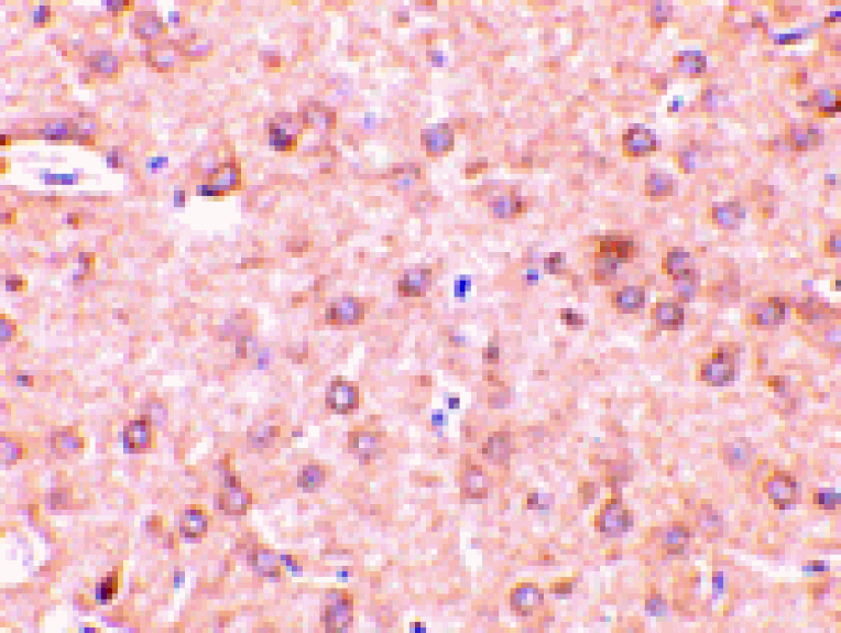
Immunohistochemistry - Anti-Beclin-1 Antibody (A47423)
Immunohistochemistry of beclin-1 in rat brain tissue with beclin-1 antibody at 2 µg/mL.
Publishing research using Anti-Beclin-1 Antibody (A47423)? Please
let us know
so that we can list the citation on this page.
Alternative products to Anti-Beclin-1 Antibody (A47423)
A321416
Anti-Beclin 1 Antibody [OTI3F3]
Mouse monoclonal [OTI3F3] antibody to Beclin 1 for Flow Cytometry, IF, IHC and WB.
A321415
Anti-Beclin 1 Antibody [OTI3F3] - BSA and Azide free
Mouse monoclonal [OTI3F3] antibody to Beclin 1 for Flow Cytometry, IF, IHC and WB.
A321414
Anti-Beclin 1 Antibody [OTI1F1]
Mouse monoclonal [OTI1F1] antibody to Beclin 1 for Flow Cytometry, IF, IHC and WB.
A321413
Anti-Beclin 1 Antibody [OTI1F1] - BSA and Azide free
Mouse monoclonal [OTI1F1] antibody to Beclin 1 for Flow Cytometry, IF, IHC and WB.
(4)
A305169
Anti-Beclin 1 Antibody
Rabbit polyclonal antibody to Beclin 1 for WB and ICC/IF.
A308398
Anti-Beclin 1 (phospho Ser15) Antibody
Rabbit polyclonal antibody to Beclin 1 (phospho Ser15) for WB.
A15661
Anti-Beclin 1 Antibody
Rabbit polyclonal antibody to Beclin 1 for WB and IP.
A48978
Anti-BECN1 Antibody
Mouse monoclonal antibody to BECN1 for ELISA and WB.
(3)
A305168
Anti-Beclin 1 Antibody
Rabbit polyclonal antibody to Beclin 1 for WB and ICC/IF.
(2)
A48713
Anti-Beclin-1 Antibody
Rabbit polyclonal antibody to Beclin-1 for ELISA, WB and ICC/IF.
A321418
Anti-Beclin 1 Antibody [OTI4A10]
Mouse monoclonal [OTI4A10] antibody to Beclin 1 for Flow Cytometry, IF and WB.
A321417
Anti-Beclin 1 Antibody [OTI4A10] - BSA and Azide free
Mouse monoclonal [OTI4A10] antibody to Beclin 1 for Flow Cytometry, IF and WB.
A321416
Anti-Beclin 1 Antibody [OTI3F3]
Mouse monoclonal [OTI3F3] antibody to Beclin 1 for Flow Cytometry, IF, IHC and WB.
A321415
Anti-Beclin 1 Antibody [OTI3F3] - BSA and Azide free
Mouse monoclonal [OTI3F3] antibody to Beclin 1 for Flow Cytometry, IF, IHC and WB.
A321414
Anti-Beclin 1 Antibody [OTI1F1]
Mouse monoclonal [OTI1F1] antibody to Beclin 1 for Flow Cytometry, IF, IHC and WB.
A321413
Anti-Beclin 1 Antibody [OTI1F1] - BSA and Azide free
Mouse monoclonal [OTI1F1] antibody to Beclin 1 for Flow Cytometry, IF, IHC and WB.
(4)
A305169
Anti-Beclin 1 Antibody
Rabbit polyclonal antibody to Beclin 1 for WB and ICC/IF.
A308398
Anti-Beclin 1 (phospho Ser15) Antibody
Rabbit polyclonal antibody to Beclin 1 (phospho Ser15) for WB.
A15661
Anti-Beclin 1 Antibody
Rabbit polyclonal antibody to Beclin 1 for WB and IP.
A48978
Anti-BECN1 Antibody
Mouse monoclonal antibody to BECN1 for ELISA and WB.
(3)
A305168
Anti-Beclin 1 Antibody
Rabbit polyclonal antibody to Beclin 1 for WB and ICC/IF.
(2)
A48713
Anti-Beclin-1 Antibody
Rabbit polyclonal antibody to Beclin-1 for ELISA, WB and ICC/IF.
A321418
Anti-Beclin 1 Antibody [OTI4A10]
Mouse monoclonal [OTI4A10] antibody to Beclin 1 for Flow Cytometry, IF and WB.
A321417
Anti-Beclin 1 Antibody [OTI4A10] - BSA and Azide free
Mouse monoclonal [OTI4A10] antibody to Beclin 1 for Flow Cytometry, IF and WB.
See all Beclin-1 Antibodies
Proteins predicted to interact with Beclin 1
Predicted protein interactions based upon String database. Revelancy score correlates with probability of interaction.
TMEM49 Antibodies
99.9% Relevancy Score
FIP200 Antibodies
99.9% Relevancy Score
BclXL Antibodies
99.9% Relevancy Score
ULK1 Antibodies
99.9% Relevancy Score
Bcl-2 Antibodies
99.9% Relevancy Score
HMGB1 Antibodies
99.9% Relevancy Score
VPS15 Antibodies
99.9% Relevancy Score
AMBRA1 Antibodies
99.9% Relevancy Score
NRBF2 Antibodies
99.9% Relevancy Score
Top