Primary Antibodies
Secondary Antibodies
Proteins & Peptides
ELISA Kits
About Us
Contact Us
Sign In/Register
0
ISO 9001:2015 Certified
Live Customer Support
4.5/5 on Trustpilot
100% Quality Guarantee
Home
Primary Antibodies
Anti-β-actin Antibody (A35613)
Anti-β-actin Antibody (A35613)
Overview
Specifications
Images
Enlarge Image
Enlarge Image
$405
Mouse monoclonal antibody to β-actin for WB, IHC and IF.
100% Guarantee
Price Match Guarantee
Product Size:
100µl
Quantity:
1
2
3
4
5
6
7
8
9
10
Add To Cart
Request a Quotation
Custom or Bulk Request
Shipping Information
Freight/Packing Charges:
$40
Dispatched from St. Louis, MO.
Lead Time: 6-9 business days.
Specifications
Name
Anti-β-actin Antibody
Description
Mouse monoclonal antibody to β-actin
Specificity
Antibody detects endogenous β-actin protein.
Applications
WB
,
IHC
,
IF
Reactivity
Human, Rat, Mouse, Monkey, Canine, Chicken
Host
Mouse
Clonality
Monoclonal
Conjugate
Unconjugated
Purification
Affinity purification using immunogen.
Concentration
1 mg/ml
Formulation
Mouse IgG1 in phosphate buffered saline (without Mg2+ and Ca2+), pH 7.4, 150mM NaCl, 0.02% sodium azide and 50% glycerol.
Storage
Store at -20˚C
Suitable Secondaries
Goat Anti-Mouse IgG H&L Antibody (AP) (A301438)
Goat Anti-Mouse IgG H&L Antibody (Biotin) (A301439)
Goat Anti-Mouse IgG H&L Antibody (FITC) (A301669)
Goat Anti-Mouse IgG H&L Antibody (HRP) (A301445)
See all Anti-Mouse IgG Secondaries →
Disclaimer
This product is for research use only. It is not intended for diagnostic or therapeutic use.
Scientific Validation Data
Validation Data
(2)
Enlarge Image
Anti-β-actin Antibody (A35613)
Western blot analysis of 1) 293T ,2) Mouse Kidney tissue, 3) Hela, 4) Rat Heart tissue, 5) Rat Brain tissue, using #38074 diluted at 1: 5,000.
Enlarge Image
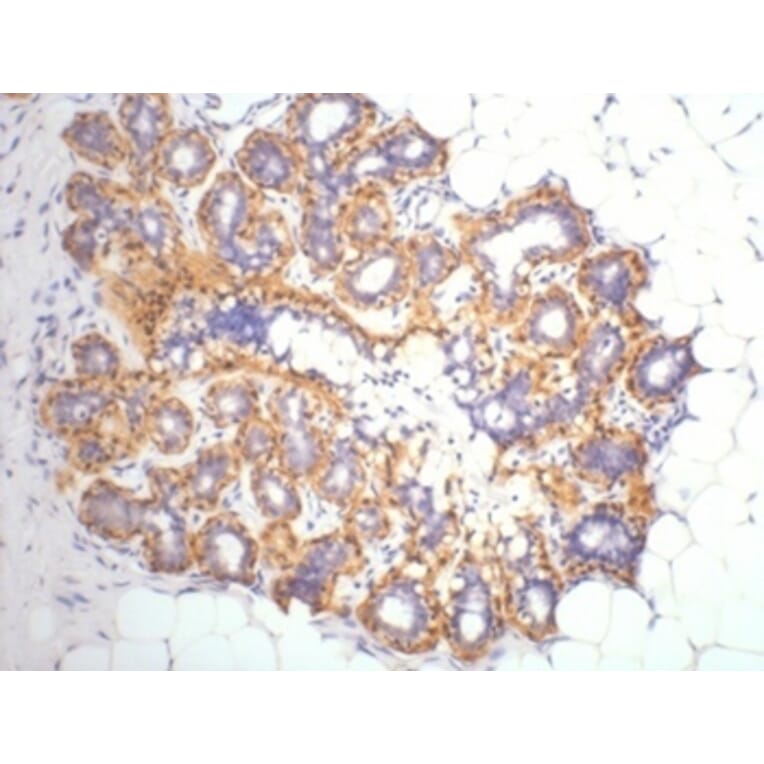
Anti-β-actin Antibody (A35613)
IHC staining of Human ovary tissue with β-Actin mouse mAb (5B7) diluted at 1: 200.
Publishing research using Anti-β-actin Antibody (A35613)? Please
let us know
so that we can list the citation on this page.
Top