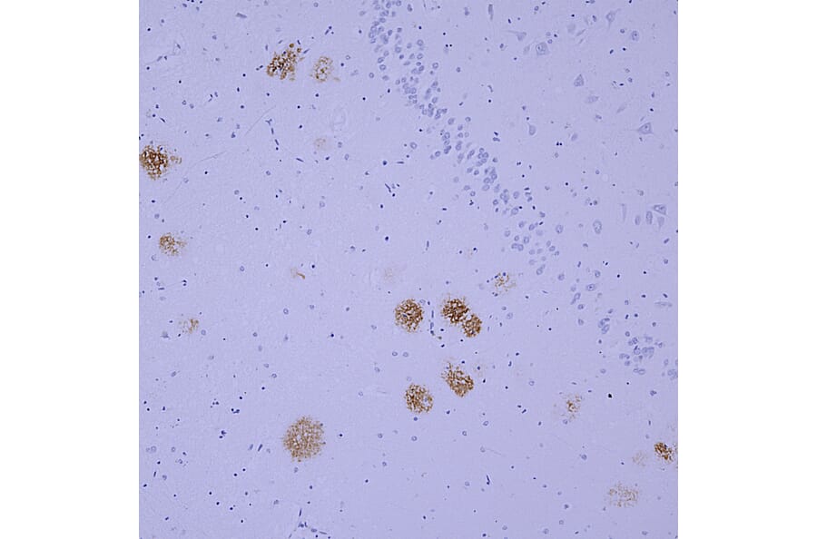
Immunohistochemistry analysis of a NBF fixed paraffin embedded human hippocampus section from an Alzheimer’s Disease case. Mouse mAb to amyloid aß, Anti-beta Amyloid Antibody [AB9] (A85418) dilution 1:2,000, was detected in DAB (brown) following the ImmPress method with citra buffer retrieval. Counterstained with Hematoxylin (blue). Anti-beta Amyloid Antibody [AB9] (A85418) specifically labels the amyloid plaques characteristic of this disease as identified by their morphology. This antibody performs well in standard NBF fixed tissues but has not been tested in other fixatives or species.
Immunohistochemical analysis of paraffin-embedded Alzheimer’s hippocampus using Thioflavin S (left panel) and Anti-Amyloid Aß Antibody using the HRP-DAB staining technique. Left image shows a section stained with Thioflavin S, a fluorescent reagent which binds to both senile plaques (SP) and neurofibrillary tangles (NFT), the two hallmark lesions of Alzheimer’s disease. Lipofuscin granules (LP) are seen in normal aging brain, but are autofluorescent and so can also be seen in this image. Anti-Amyloid Aß Antibody shows strong staining only of the senile plaques. The right image shows Anti-Amyloid Aß Antibody staining of an adjacent section, showing strong staining of the senile plaques, with more minor staining of blood vessels.
Immunofluorescent analysis of a region of cerebral cortex from an Alzheimer’s disease (AD) patient stained with Anti-Amyloid Aß Antibody [AB9] (A85418). The signal was detected with a secondary anti-mouse antibody coupled to HRP, and the signal revealed with DAB. The region of the lowest of the three senile plaques (SP) is shown in the inset stained with the fluorescent dye thioflavin-S. This dye binds not only to the senile plaque but also a neurofibrillary tangle (NFT), the other pathological hallmark of AD which do not contain Amyloid Aß.
Western Blot - Anti-beta Amyloid Antibody [AB9] (A85418)
Western blot analysis of an Amyloid-Aß peptide preparation using Anti-Amyloid Aß Antibody [AB9] (A85418). The antibody recognises monomeric Amyloid Aß peptide running at approximately 5kDa, as well as higher molecular weight Amyloid Aß aggregates.
Western Blot - Anti-beta Amyloid Antibody [AB9] (A85418)
Blot of amyloid beta peptide blotted with Anti-Amyloid Aß Antibody. This antibody recognises amyloid ß peptide running at 5 kDa and amyloid beta aggregates.