Western Blot - Anti-beta Catenin Antibody [ARC0136] (A307069)
Western blot analysis of extracts of HeLa cells, using Anti-beta Catenin Antibody [ARC0136] (A307069) at 1:1,000 dilution. The secondary antibody was Goat Anti-Rabbit IgG H&L Antibody (HRP) at 1:10,000 dilution. Lysates/proteins were present at 25µg per lane. The blocking buffer used was 3% non-fat dry milk in TBST. Detection was with a ECL Basic Kit. Exposure time: 10s.
Western Blot - Anti-beta Catenin Antibody [ARC0136] (A307069)
Western blot analysis of extracts of Mouse brain, using Anti-beta Catenin Antibody [ARC0136] (A307069) at 1:1,000 dilution. The secondary antibody was Goat Anti-Rabbit IgG H&L Antibody (HRP) at 1:10,000 dilution. Lysates/proteins were present at 25µg per lane. The blocking buffer used was 3% non-fat dry milk in TBST. Detection was with a ECL Basic Kit. Exposure time: 10s.
Western Blot - Anti-beta Catenin Antibody [ARC0136] (A307069)
Western blot analysis of extracts from wild type (WT) and beta-Catenin knockout (KO) 293T cells, using Anti-beta Catenin Antibody [ARC0136] (A307069) at 1:1,000 dilution. The secondary antibody was Goat Anti-Rabbit IgG H&L Antibody (HRP) at 1:10,000 dilution. Lysates/proteins were present at 25µg per lane. The blocking buffer used was 3% non-fat dry milk in TBST. Detection was with a ECL Basic Kit. Exposure time: 10s.
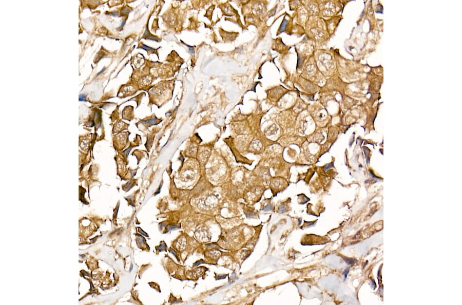
Immunohistochemistry analysis of paraffin-embedded human breast cancer tissue using Anti-beta Catenin Antibody [ARC0136] (A307069) at a dilution of 1:50(40x lens). Perform high pressure antigen retrieval with 10 mM citrate buffer pH 6.0 before commencing with IHC staining protocol.
Immunohistochemistry analysis of paraffin-embedded human pancreas using Anti-beta Catenin Antibody [ARC0136] (A307069) at a dilution of 1:50(40x lens). Perform high pressure antigen retrieval with 10 mM citrate buffer pH 6.0 before commencing with IHC staining protocol.
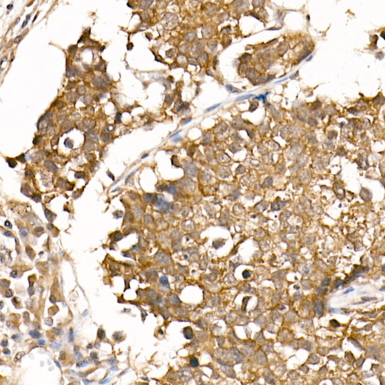
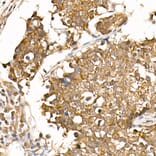
Immunohistochemistry analysis of paraffin-embedded human small cell lung cancer using Anti-beta Catenin Antibody [ARC0136] (A307069) at a dilution of 1:50(40x lens). Perform high pressure antigen retrieval with 10 mM citrate buffer pH 6.0 before commencing with IHC staining protocol.
Immunofluorescence analysis of C6 using Anti-beta Catenin Antibody [ARC0136] (A307069) at dilution of 100 (40x lens). DAPI was used to stain the cell nuclei (blue).
Western Blot - Anti-beta Catenin Antibody [ARC0136] (A307069)
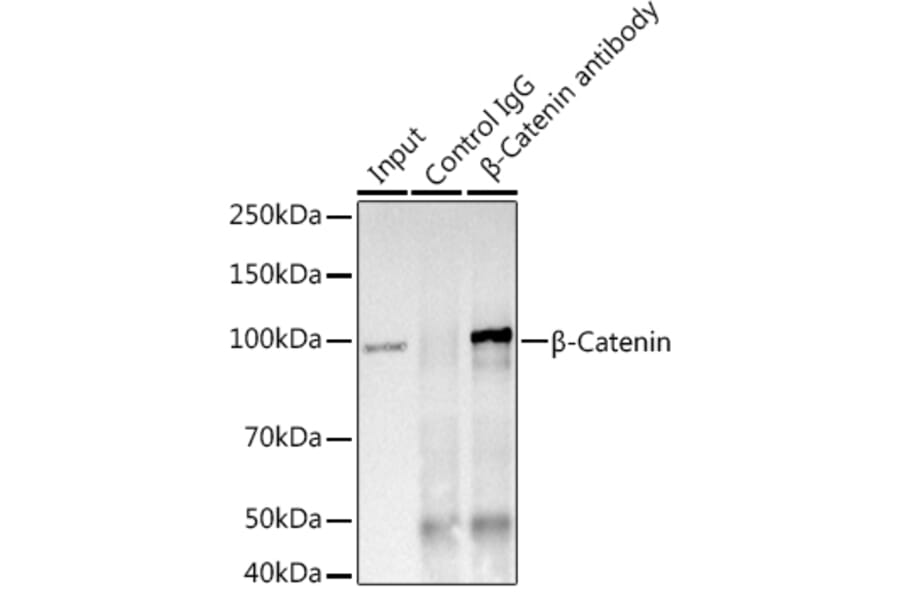
Immunoprecipitation analysis of 600µg extracts of mouse brain using 3µg of Anti-beta Catenin Antibody [ARC0136] (A307069). This Western blot was performed on the immunoprecipitate using Anti-beta Catenin Antibody [ARC0136] (A307069) at a dilution of 1:1000.