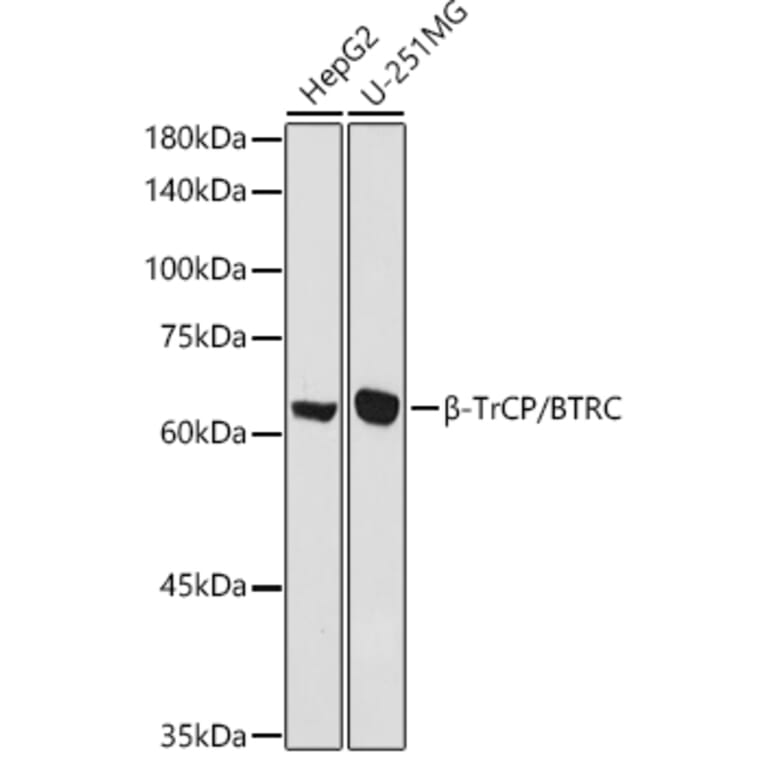
Western Blot - Anti-Beta TRCP / HOS Antibody (A307151)
Western blot analysis of extracts of various cell lines, using Anti-Beta TRCP / HOS Antibody (A307151) at 1:1,000 dilution. The secondary antibody was Goat Anti-Rabbit IgG H&L Antibody (HRP) at 1:10,000 dilution. Lysates/proteins were present at 25µg per lane. The blocking buffer used was 3% non-fat dry milk in TBST. Detection was with a ECL Basic Kit. Exposure time: 30s.
Immunohistochemistry - Anti-Beta TRCP / HOS Antibody (A307151)
Immunohistochemistry analysis of paraffin-embedded human breast cancer tissue using Anti-Beta TRCP / HOS Antibody (A307151) at a dilution of 1:50 (40x lens). Perform high pressure antigen retrieval with 10 mM citrate buffer pH 6.0 before commencing with IHC staining protocol.
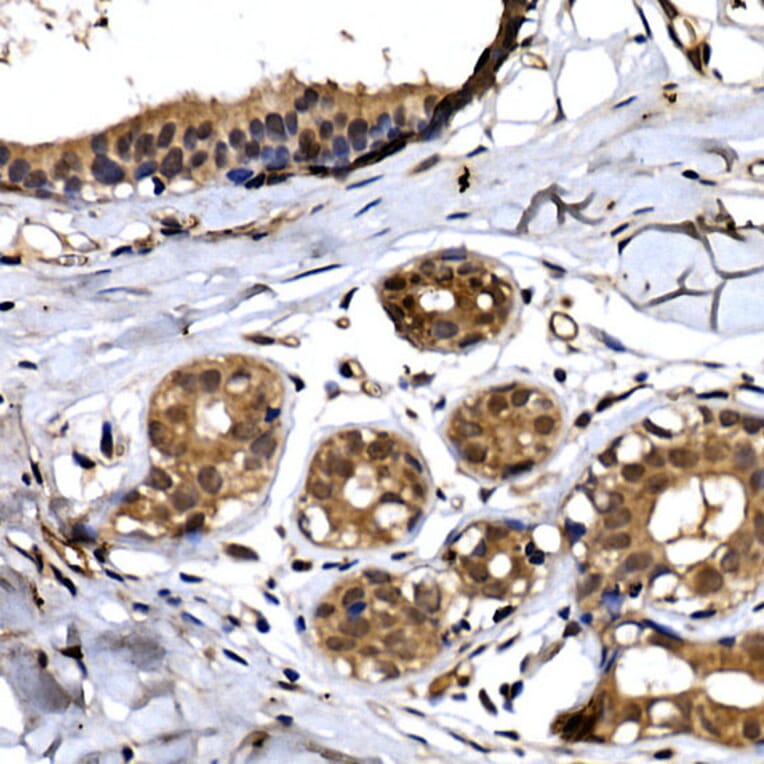
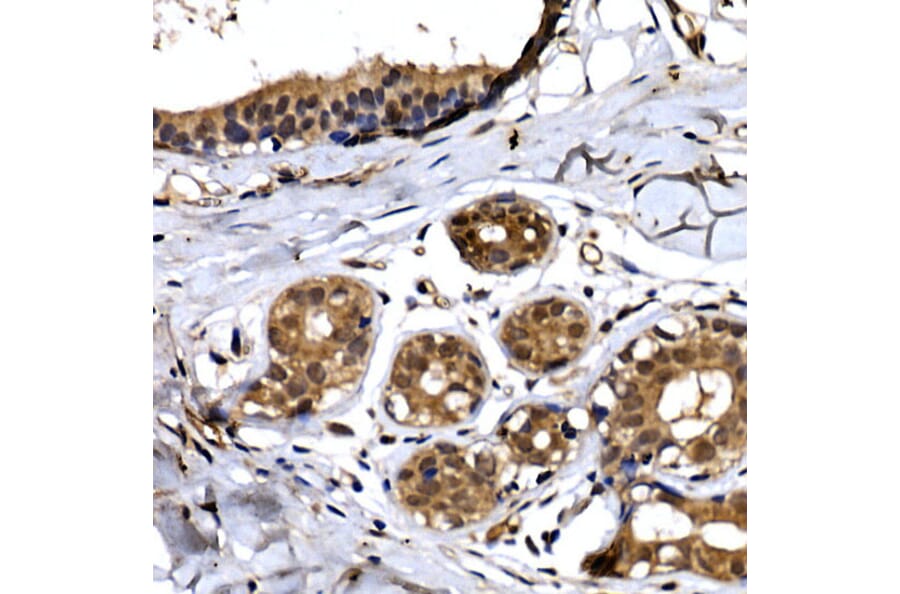
Immunohistochemistry - Anti-Beta TRCP / HOS Antibody (A307151)
Immunohistochemistry analysis of paraffin-embedded human colon carcinoma tissue using Anti-Beta TRCP / HOS Antibody (A307151) at a dilution of 1:50 (40x lens). Perform high pressure antigen retrieval with 10 mM citrate buffer pH 6.0 before commencing with IHC staining protocol.
Immunofluorescence - Anti-Beta TRCP / HOS Antibody (A307151)
Immunofluorescence analysis of C6 cells using Anti-Beta TRCP / HOS Antibody (A307151) at a dilution of 1:100. DAPI was used to stain the cell nuclei (blue).
Immunofluorescence - Anti-Beta TRCP / HOS Antibody (A307151)
Immunofluorescence analysis of U-2 OS cells using Anti-Beta TRCP / HOS Antibody (A307151) at a dilution of 1:100. DAPI was used to stain the cell nuclei (blue).