Primary Antibodies
Secondary Antibodies
Proteins & Peptides
ELISA Kits
About Us
Contact Us
Sign In/Register
0
ISO 9001:2015 Certified
Live Customer Support
4.5/5 on Trustpilot
100% Quality Guarantee
Home
Primary Antibodies
Osteocalcin Antibodies
Anti-BGLAP Antibody (A46051)
Anti-BGLAP Antibody (A46051)
Overview
Specifications
Images
Enlarge Image
Enlarge Image
$430
Product Datasheet
Rabbit polyclonal antibody to BGLAP for ELISA and IHC.
100% Guarantee
Price Match Guarantee
Product Size:
100µl
Quantity:
1
2
3
4
5
6
7
8
9
10
Add To Cart
Request a Quotation
Custom or Bulk Request
Shipping Information
Freight/Packing Charges:
$40
Dispatched from St. Louis, MO.
Lead Time: 6-9 business days.
Specifications
Name
Anti-BGLAP Antibody
Description
Rabbit polyclonal antibody to BGLAP
Specificity
The antibody detects endogenous levels of total BGLAP protein.
Applications
ELISA
,
IHC
Reactivity
Human
Immunogen
Synthetic peptide corresponding to residues near the C terminal of human bone gamma-carboxyglutamate (gla) protein
Host
Rabbit
Clonality
Polyclonal
Conjugate
Unconjugated
Purification
Antigen affinity purification.
Concentration
1.3 mg/mL
Formulation
Supplied in PBS, pH 7.3, containing 0.05% sodium azide and 50% glycerol.
Storage
Shipped at 4°C. Upon delivery aliquot and store at -20°C. Avoid freeze/thaw cycles.
Synonyms
BGP, Bone Gla protein, Gamma-carboxyglutamic acid-containing protein
Suitable Secondaries
Goat Anti-Rabbit IgG H&L Antibody (AP) (A294874)
Goat Anti-Rabbit IgG H&L Antibody (Biotin) (A294795)
Goat Anti-Rabbit IgG H&L Antibody (FITC) (A294887)
Goat Anti-Rabbit IgG H&L Antibody (HRP) (A294888)
See all Anti-Rabbit IgG Secondaries →
Disclaimer
This product is for research use only. It is not intended for diagnostic or therapeutic use.
Scientific Validation Data
Validation Data
(2)
Enlarge Image
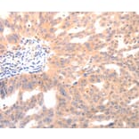
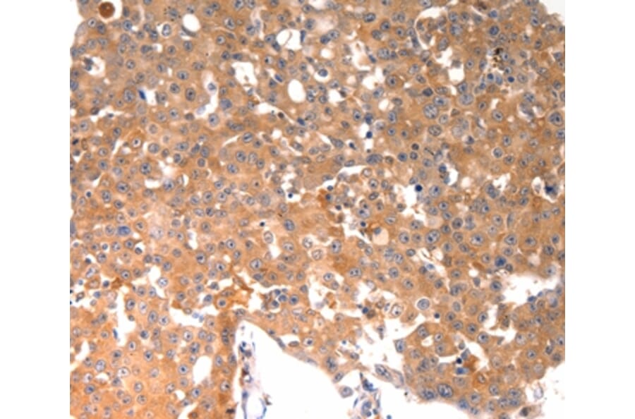
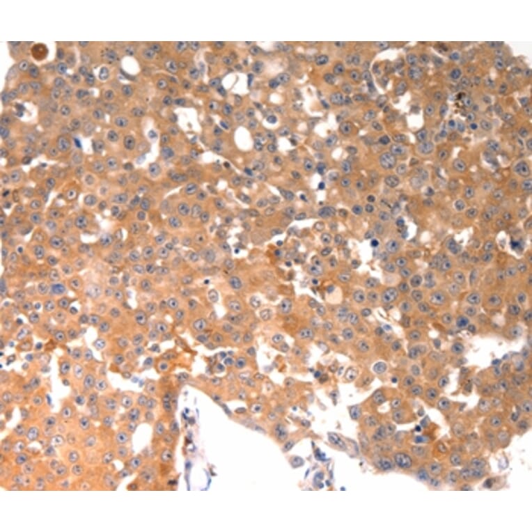
Immunohistochemistry - Anti-BGLAP Antibody (A46051)
Immunohistochemical analysis of paraffin-embedded Human breast cancer tissue using #36774 at dilution 1/60.
Enlarge Image
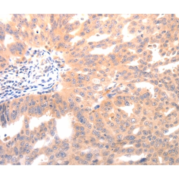
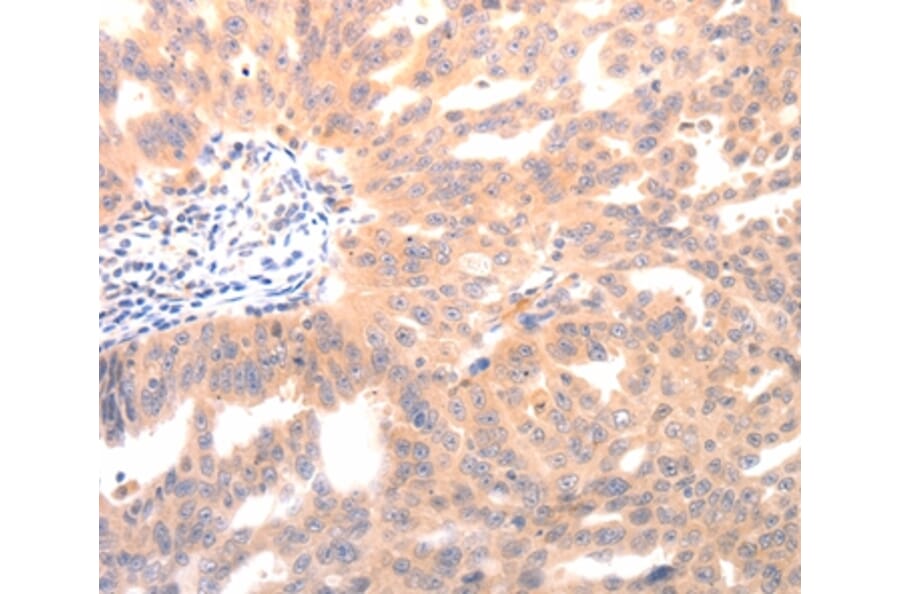
Immunohistochemistry - Anti-BGLAP Antibody (A46051)
Immunohistochemical analysis of paraffin-embedded Human ovarian cancer tissue using #36774 at dilution 1/60.
Publishing research using Anti-BGLAP Antibody (A46051)? Please
let us know
so that we can list the citation on this page.
Alternative products to Anti-BGLAP Antibody (A46051)
(5)
A11934
Anti-Osteocalcin Antibody
Rabbit polyclonal antibody to Osteocalcin for WB and ICC/IF.
A304520
Anti-Osteocalcin Antibody [OC4-30] - Azide free
Mouse monoclonal [OC4-30] antibody to Osteocalcin for WB, ELISA and IHC.
A304523
Anti-Osteocalcin Antibody [OCG4] - Azide free
Mouse monoclonal [OCG4] antibody to Osteocalcin for WB, ELISA and IHC.
(2)
A53730
Anti-Osteocalcin Antibody
Rabbit polyclonal antibody to Osteocalcin for ELISA, IHC, IP and WB.
A304521
Anti-Osteocalcin Antibody [OCG3] - Azide free
Mouse monoclonal [OCG3] antibody to Osteocalcin for ELISA and IHC.
A304522
Anti-Osteocalcin Antibody [OCG2] - Azide free
Mouse monoclonal [OCG2] antibody to Osteocalcin for WB, ELISA and IHC.
A279312
Anti-Osteocalcin Antibody [3H8H12D2A12F12]
Mouse monoclonal [3H8H12D2A12F12] antibody to Osteocalcin for ELISA.
A49880
Anti-Osteocalcin Antibody
Rabbit polyclonal antibody to Osteocalcin for ELISA and IHC.
A81917
Anti-Osteocalcin Antibody
Rabbit polyclonal antibody to Osteocalcin for RIA and ELISA.
A279493
Anti-Osteocalcin Antibody [6F9G4E10]
Mouse monoclonal [6F9G4E10] antibody to Osteocalcin for ELISA.
(5)
A11934
Anti-Osteocalcin Antibody
Rabbit polyclonal antibody to Osteocalcin for WB and ICC/IF.
A304520
Anti-Osteocalcin Antibody [OC4-30] - Azide free
Mouse monoclonal [OC4-30] antibody to Osteocalcin for WB, ELISA and IHC.
A304523
Anti-Osteocalcin Antibody [OCG4] - Azide free
Mouse monoclonal [OCG4] antibody to Osteocalcin for WB, ELISA and IHC.
(2)
A53730
Anti-Osteocalcin Antibody
Rabbit polyclonal antibody to Osteocalcin for ELISA, IHC, IP and WB.
A304521
Anti-Osteocalcin Antibody [OCG3] - Azide free
Mouse monoclonal [OCG3] antibody to Osteocalcin for ELISA and IHC.
A304522
Anti-Osteocalcin Antibody [OCG2] - Azide free
Mouse monoclonal [OCG2] antibody to Osteocalcin for WB, ELISA and IHC.
A279312
Anti-Osteocalcin Antibody [3H8H12D2A12F12]
Mouse monoclonal [3H8H12D2A12F12] antibody to Osteocalcin for ELISA.
A49880
Anti-Osteocalcin Antibody
Rabbit polyclonal antibody to Osteocalcin for ELISA and IHC.
A81917
Anti-Osteocalcin Antibody
Rabbit polyclonal antibody to Osteocalcin for RIA and ELISA.
A279493
Anti-Osteocalcin Antibody [6F9G4E10]
Mouse monoclonal [6F9G4E10] antibody to Osteocalcin for ELISA.
See all BGLAP Antibodies
Proteins predicted to interact with Osteocalcin
Predicted protein interactions based upon String database. Revelancy score correlates with probability of interaction.
RUNX2 Antibodies
99.6% Relevancy Score
Osteopontin Antibodies
99.4% Relevancy Score
SPARC Antibodies
99.1% Relevancy Score
GPCR6A Antibodies
97.4% Relevancy Score
Bone Sialoprotein Antibodies
97.1% Relevancy Score
GGCX Antibodies
96.4% Relevancy Score
Parathyroid Hormone Antibodies
94.1% Relevancy Score
MGP Antibodies
93.3% Relevancy Score
BMP2 Antibodies
93.2% Relevancy Score
Top