ISO 9001:2015 Certified
Live Customer Support
4.5/5 on Trustpilot
100% Quality Guarantee

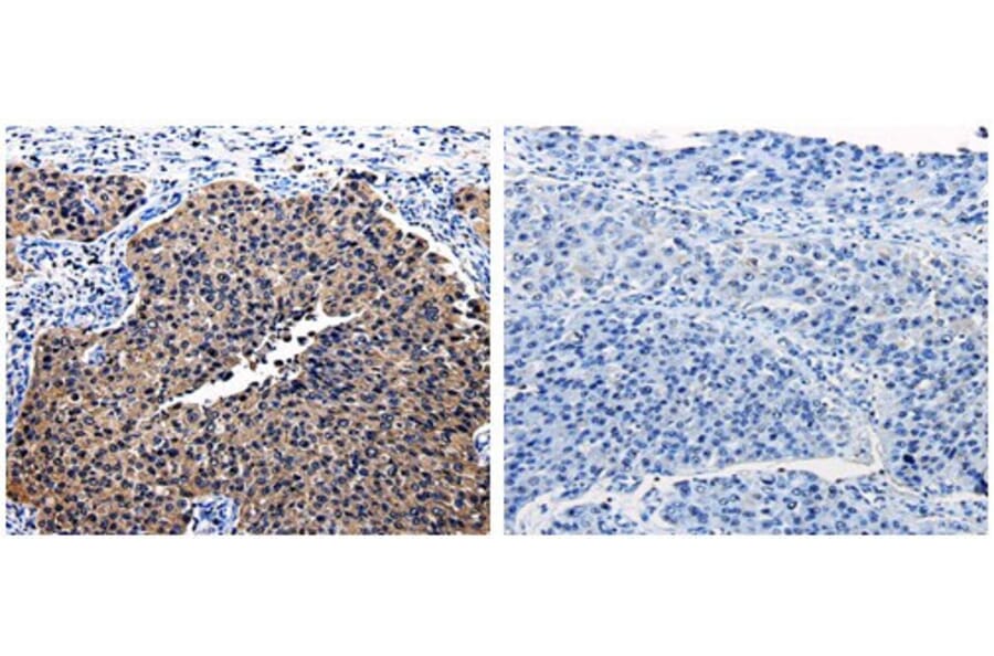
Anti-BID Antibody (A48617)

Rabbit polyclonal antibody to BID for ELISA, WB and IHC.

Shipping Information

$40
Dispatched from St. Louis, MO.
Lead Time: 6-9 business days.
Name
Anti-BID Antibody
Description
Rabbit polyclonal antibody to BID
Specificity
The antibody detects endogenous level of total BID protein.
Applications
ELISA, WB, IHC
Reactivity
Human
Immunogen
Full length fusion protein
Host
Rabbit
Clonality
Polyclonal
Conjugate

Unconjugated

Formulation
Supplied in phosphate-buffered saline (without Mg²? and Ca²?), pH 7.3, containing 150 mM NaCl, 0.05% sodium azide, and 50% glycerol.
Storage
Shipped at 4°C. Upon delivery aliquot and store at -20°C. Avoid freeze/thaw cycles.
Synonyms
BH3-interacting domain death agonist, p22 BID
Disclaimer
This product is for research use only. It is not intended for diagnostic or therapeutic use.
Publishing research using Anti-BID Antibody (A48617)? Please let us know so that we can list the citation on this page.

Alternative products to Anti-BID Antibody (A48617)

Proteins predicted to interact with BID

Predicted protein interactions based upon String database. Revelancy score correlates with probability of interaction.
99.9% Relevancy Score
99.9% Relevancy Score
99.8% Relevancy Score
99.8% Relevancy Score
99.6% Relevancy Score
99.2% Relevancy Score
98.2% Relevancy Score
98.1% Relevancy Score
97.6% Relevancy Score