ISO 9001:2015 Certified
Live Customer Support
4.5/5 on Trustpilot
100% Quality Guarantee

Anti-BIN1 Antibody (A30880)

$435

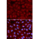
Rabbit polyclonal antibody to BIN1 for WB, IHC and IF.

Shipping Information

$40
Dispatched from St. Louis, MO.
Lead Time: 7-10 business days.
Name
Anti-BIN1 Antibody
Description
Rabbit polyclonal antibody to BIN1
Specificity
BIN1 pAb detects endogenous levels of BIN1 protein.
Applications
WB, IHC, IF
Reactivity
Human, Mouse, Rat
Immunogen
Recombinant full length Human BIN1.
Host
Rabbit
Clonality
Polyclonal
Conjugate

Unconjugated

Molecular Weight
~ 65 kDa
Purity
The antibody was affinity-purified from rabbit antiserum by affinity-chromatography using epitope-specific immunogen and the purity is > 95% (by SDS-PAGE).
Product Form
1mg/ml in PBS with 0.1% Sodium Azide, 50% Glycerol.
Synonyms
Amphiphysin II, Amphiphysin-like protein, AMPHL, Box-dependent myc-interacting protein 1, Bridging integrator 1, Myc box-dependent-interacting protein 1
Disclaimer
This product is for research use only. It is not intended for diagnostic or therapeutic use.
Publishing research using Anti-BIN1 Antibody (A30880)? Please let us know so that we can list the citation on this page.

Alternative products to Anti-BIN1 Antibody (A30880)

Proteins predicted to interact with BIN1

Predicted protein interactions based upon String database. Revelancy score correlates with probability of interaction.
99.9% Relevancy Score
99.9% Relevancy Score
99.4% Relevancy Score
99.2% Relevancy Score
99% Relevancy Score
98.4% Relevancy Score
95.5% Relevancy Score
94.1% Relevancy Score
94.1% Relevancy Score