Synthetic peptide within amino acids 4775 and the C-terminus of human BIRC6/APOLLON.
Host
Rabbit
Clonality
Polyclonal
Isotype
IgG
Conjugate
Unconjugated
Purification
Antigen affinity purification.
Concentration
1 mg/ml
Product Form
Liquid
Formulation
Supplied in Tris-Citrate/Phosphate Buffer, pH 7-8, with 0.09% Sodium Azide.
Storage
Shipped at 4°C. Upon delivery aliquot and store at -20°C. Avoid freeze/thaw cycles.
General Notes
This antibody was affinity purified using the immunising peptide immobilized on solid support. Immunoglobulin concentration was determined by extinction coefficient: absorbance at 280 nm of 1. 4 equals 1.0 mg of IgG.
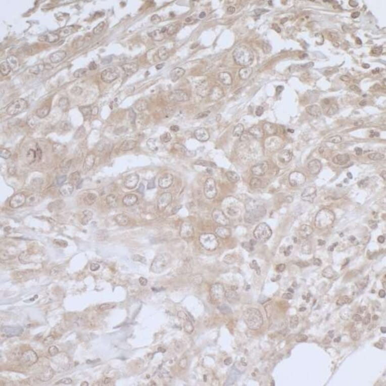
Sample: FFPE section of human breast carcinoma. Antibody: Anti-BIRC6 / APOLLON Antibody (A295470) was used at a dilution of 1:5,000 (0.2 µg/ml). Detection: DAB.
Samples: Whole cell lysate (0.5 or 1.0 mg per IP reaction; 20% of IP loaded) from HeLa cells prepared using NETN lysis buffer. Antibodies: Anti-BIRC6 / APOLLON Antibody (A295470) was used for IP at 6 µg per reaction. BIRC6 / APOLLON was also immunoprecipitated by a previous lot of this antibody. For blotting immunoprecipitated BIRC6 / APOLLON, Anti-BIRC6 / APOLLON Antibody (A295470) was used at 1 µg/ml. Detection: Chemiluminescence with an exposure time of 3 seconds.
Western Blot - Anti-BIRC6/APOLLON Antibody (A295470)
Samples: Whole cell lysate from HeLa, HEK293T, and mouse NIH 3T3 cells prepared using NETN lysis buffer. Antibody: Anti-BIRC6 / APOLLON Antibody (A295470) was used for WB at 0.1 µg/ml. Detection: Chemiluminescence with an exposure time of 3 seconds.
Publishing research using Anti-BIRC6/APOLLON Antibody (A295470)? Please let us know so that we can list the citation on this page.