ISO 9001:2015 Certified
Live Customer Support
4.5/5 on Trustpilot
100% Quality Guarantee

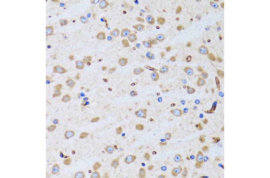
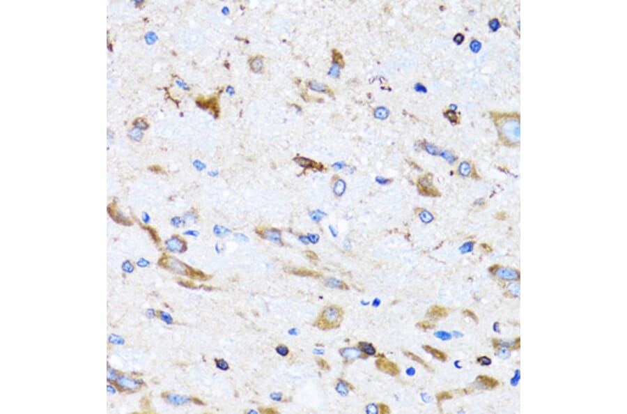
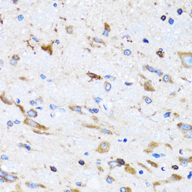
Anti-BIT1 Antibody (A15239)

Rabbit polyclonal antibody to BIT1 for WB, IHC and ICC/IF.

Shipping Information

$40
Dispatched from St. Louis, MO.
Lead Time: 7-10 business days.
Name
Anti-BIT1 Antibody
Description
Rabbit polyclonal antibody to BIT1.
Applications
WB, IHC, ICC/IF
Dilutions
WB: 1:500-1:2,000, IHC: 1:50-1:200, ICC/IF: 1:10-1:100
Reactivity
Human, Mouse, Rat
Immunogen
Recombinant fusion protein containing a sequence corresponding to amino acids 40-179 of human PTRH2 (NP_057161.1).
Sequence
LPKSKTSKTHTDTESEASILGDSGEYKMILVVRNDLKMGKGKVAAQCSHAAVSAYKQIQRRNPEMLKQWEYCGQPKVVVKAPDEETLIALLAHAKMLGLTVSLIQDAGRTQIAPGSQTVLGIGPGPADLIDKVTGHLKLY
Host
Rabbit
Clonality
Polyclonal
Isotype
IgG
Conjugate

Unconjugated

Purification
Affinity purification.
Concentration
Lot Specific
Molecular Weight
19 kDa
Product Form
Liquid
Formulation
Supplied in Phosphate Buffered Saline, pH 7.3, with 50% Glycerol and 0.02% Sodium Azide.
Storage
Shipped at 4°C. Upon delivery aliquot and store at -20°C. Avoid freeze/thaw cycles.
Synonyms
Bcl-2 inhibitor of transcription 1, Peptidyl-tRNA hydrolase 2, mitochondrial, PTH 2, PTH2, PTRH2
Disclaimer
This product is for research use only. It is not intended for diagnostic or therapeutic use.
Publishing research using Anti-BIT1 Antibody (A15239)? Please let us know so that we can list the citation on this page.

Alternative products to Anti-BIT1 Antibody (A15239)

Proteins predicted to interact with BIT1

Predicted protein interactions based upon String database. Revelancy score correlates with probability of interaction.
62.9% Relevancy Score
61.5% Relevancy Score
55.3% Relevancy Score
53.9% Relevancy Score
52.9% Relevancy Score
52.7% Relevancy Score
48.8% Relevancy Score
48.7% Relevancy Score