Primary Antibodies
Secondary Antibodies
Proteins & Peptides
ELISA Kits
About Us
Contact Us
Sign In/Register
0
ISO 9001:2015 Certified
Live Customer Support
4.5/5 on Trustpilot
100% Quality Guarantee
Home
Primary Antibodies
PRDM1 Antibodies
Anti-Blimp-1 Antibody (A47458)
Anti-Blimp-1 Antibody (A47458)
Overview
Specifications
Images
Enlarge Image
Enlarge Image
$780
Product Datasheet
Rabbit polyclonal antibody to Blimp-1 for ELISA, WB and IHC.
100% Guarantee
Price Match Guarantee
Product Size:
100µl
Quantity:
1
2
3
4
5
6
7
8
9
10
Add To Cart
Request a Quotation
Custom or Bulk Request
Shipping Information
Freight/Packing Charges:
$40
Dispatched from St. Louis, MO.
Lead Time: 6-9 business days.
Tags:
B Cell Marker
Memory T Cell Marker
Plasma B Cell Marker
Specifications
Name
Anti-Blimp-1 Antibody
Description
Rabbit polyclonal antibody to Blimp-1
Applications
ELISA
,
WB
,
IHC
Reactivity
Human, Mouse, Rat
Immunogen
Raised against a 17 amino acid peptide from near the amino terminus of human Blimp-1.
Host
Rabbit
Clonality
Polyclonal
Conjugate
Unconjugated
Purification
Affinity chromatography purified via peptide column
Formulation
Supplied in phosphate-buffered saline with 0.02% Sodium Azide.
Storage
Shipped at 4°C. Upon delivery aliquot and store at -20°C. Avoid freeze/thaw cycles.
Synonyms
Beta-interferon gene positive regulatory domain I-binding factor, BLIMP1, Positive regulatory domain I-binding factor 1, PR domain zinc finger protein 1, PR domain-containing protein 1, PRDI-BF1, PRDI-binding factor 1
Suitable Secondaries
Goat Anti-Rabbit IgG H&L Antibody (AP) (A294874)
Goat Anti-Rabbit IgG H&L Antibody (Biotin) (A294795)
Goat Anti-Rabbit IgG H&L Antibody (FITC) (A294887)
Goat Anti-Rabbit IgG H&L Antibody (HRP) (A294888)
See all Anti-Rabbit IgG Secondaries →
Disclaimer
This product is for research use only. It is not intended for diagnostic or therapeutic use.
Scientific Validation Data
Validation Data
(2)
Enlarge Image
Anti-Blimp-1 Antibody (A47458)
Western blot analysis of Blimp-1 in mouse lung tissue lysate with Blimp-1 antibody at (A) 0.5 and (B) 1ug/mL.
Enlarge Image
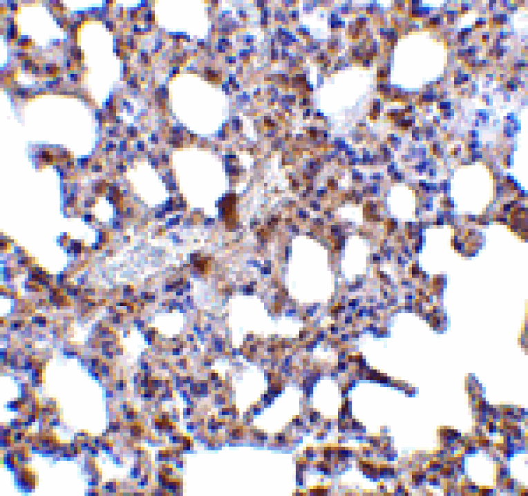
Immunohistochemistry - Anti-Blimp-1 Antibody (A47458)
Immunohistochemistry of Blimp-1 in mouse lung tissue with Blimp-1 antibody at 5 µg/mL.
Publishing research using Anti-Blimp-1 Antibody (A47458)? Please
let us know
so that we can list the citation on this page.
Alternative products to Anti-Blimp-1 Antibody (A47458)
(2)
A48644
Anti-Blimp-1 Antibody
Rabbit polyclonal antibody to Blimp-1 for ELISA, WB and ICC/IF.
A41777
Anti-Blimp-1 Antibody
Rabbit polyclonal antibody to Blimp-1 for WB.
(2)
A48644
Anti-Blimp-1 Antibody
Rabbit polyclonal antibody to Blimp-1 for ELISA, WB and ICC/IF.
A41777
Anti-Blimp-1 Antibody
Rabbit polyclonal antibody to Blimp-1 for WB.
Proteins predicted to interact with PRDM1
Predicted protein interactions based upon String database. Revelancy score correlates with probability of interaction.
STAT3 Antibodies
94.2% Relevancy Score
IRF4 Antibodies
93.8% Relevancy Score
EHMT2 Antibodies
92.3% Relevancy Score
PAX5 Antibodies
90.7% Relevancy Score
HDAC2 Antibodies
90.1% Relevancy Score
p53 Antibodies
87% Relevancy Score
XBP1 Antibodies
86.6% Relevancy Score
PRMT5 Antibodies
85.8% Relevancy Score
Syndecan 1 Antibodies
82.7% Relevancy Score
Top