ISO 9001:2015 Certified
Live Customer Support
4.5/5 on Trustpilot
100% Quality Guarantee

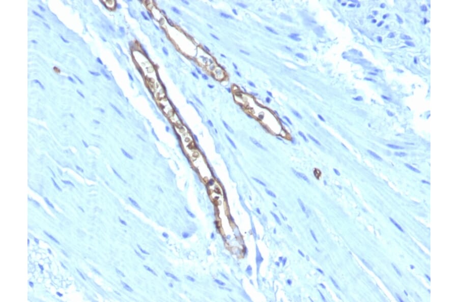
Anti-Blood Group Antigen A Antibody [HE-193] - BSA and Azide free (A254321)

Mouse monoclonal [HE-193] antibody to Blood Group Antigen A for IF and IHC-P.

Alternative Formats and ConjugatesAlternative Formats

Shipping Information

$40
Dispatched from St. Louis, MO.
Lead Time: 5-8 business days.
Name
Anti-Blood Group Antigen A Antibody [HE-193] - BSA and Azide free
Description
Mouse monoclonal [HE-193] antibody to Blood Group Antigen A.
Specificity
This antibody recognizes human blood group A (monofucosyl and difucosyl A antigens with chain types 1, 2, 3, 4, 5, 6) and Forssmann antigen. Blood-group antigens are generally defined as molecules formed by sequential addition of saccharides to the carbohydrate side chains of lipids and proteins detected on erythrocytes and certain epithelial cells. The A, B and H antigens are reported to undergo modulation during malignant cellular transformation. Blood group related antigens represent a group of carbohydrate determinants carried on both glycolipids and glycoproteins. They are usually mucin-type, and are detected on erythrocytes, certain epithelial cells, and in secretions of certain individuals. Sixteen genetically and biosynthetically distinct but inter-related specificities belong to this group of antigens, including A, B, H, Lewis A, Lewis B, Lewis X, Lewis Y, and precursor type 1 chain antigens.
Applications
IF, IHC-P
Dilutions
IF: 1-2 µg/ml, IHC-P: 1-2 µg/ml
Reactivity
Human
Immunogen
Mixture of erythrocytes of blood group A and glyco protein fraction isolated from the saliva of secretors with blood group A.
Host
Mouse
Clonality
Monoclonal
Clone ID
HE-193
Isotype
IgM
Light Chains
kappa
Conjugate

Unconjugated

Concentration
1 mg/ml
Product Form
Liquid
Formulation
Supplied in 10mM Phosphate Buffered Saline; without Sodium Azide and carrier free.
Storage
Shipped at 4°C. Upon delivery aliquot and store at -20°C. Avoid freeze / thaw cycles.
General Notes
This monoclonal antibody is also available in a different formulation with BSA and Sodium Azide - Anti-Blood Group Antigen A Antibody [HE-193] (A251044).
Isotype Controls
Disclaimer
This product is for research use only. It is not intended for diagnostic or therapeutic use.
Publishing research using Anti-Blood Group Antigen A Antibody [HE-193] - BSA and Azide free (A254321)? Please let us know so that we can list the citation on this page.