ISO 9001:2015 Certified
Live Customer Support
4.5/5 on Trustpilot
100% Quality Guarantee

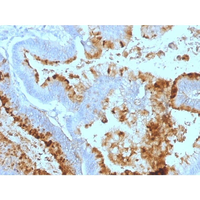
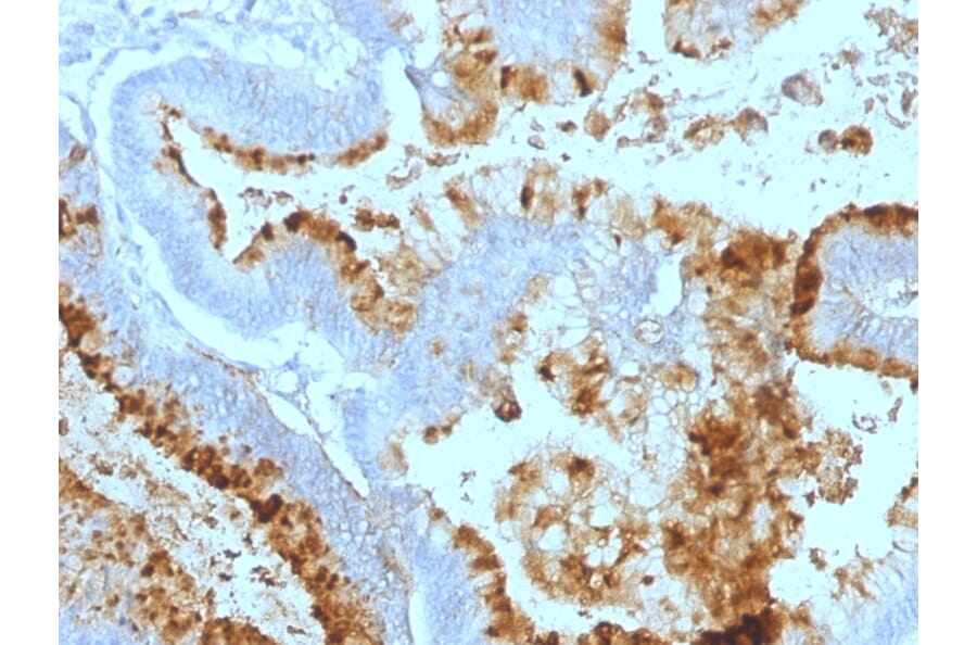
Anti-Blood Group Lewis a Antibody [7LE] - BSA and Azide free (A254049)

Mouse monoclonal [7LE] antibody to Blood Group Lewis a for Flow Cytometry, IF and IHC-P.

Alternative Formats and ConjugatesAlternative Formats

Shipping Information

$40
Dispatched from St. Louis, MO.
Lead Time: 5-8 business days.
Name
Anti-Blood Group Lewis a Antibody [7LE] - BSA and Azide free
Description
Mouse monoclonal [7LE] antibody to Blood Group Lewis a.
Specificity
This antibody recognizes a carbohydrate determinant of Gal 1-3(Fuc 1-4) GlcNAc which is blood group antigen Lewis A. It is present primarily on epithelial cells such as colon and kidneys. In the tumors and dedifferentiated tissues, decrease of Lewis A antigen was observed. Lewis A (type 1 chain) is expressed in colonic epithelial cells and may be useful for detection of gastrointestinal tumors, pancreatic cancer, and colorectal tumors. Blood group related antigens represent a group of carbohydrate determinants carried on both glycolipids and glycoproteins. They are usually mucin-type, and are detected on erythrocytes, certain epithelial cells, and in secretions of certain individuals. Sixteen genetically and biosynthetically distinct but inter-related specificities belong to this group of antigens, including A, B, H, Lewis A, Lewis B, Lewis X, Lewis Y, and precursor type 1 chain antigens.
Applications
Flow Cytometry, IF, IHC-P
Dilutions
Flow Cytometry: 1-2 µg/million cells, IF: 1-2 µg/ml, IHC-P: 1-2 µg/ml
Reactivity
Human, Mouse
Immunogen
Mucins isolated from ovarian cyst fluid.
Host
Mouse
Clonality
Monoclonal
Clone ID
7LE
Isotype
IgG1
Light Chains
kappa
Conjugate

Unconjugated

Purification
Protein A/G chromatography.
Concentration
1 mg/ml
Product Form
Liquid
Formulation
Supplied in 10mM Phosphate Buffered Saline; without Sodium Azide and carrier free.
Storage
Shipped at 4°C. Upon delivery aliquot and store at -20°C. Avoid freeze / thaw cycles.
General Notes
This monoclonal antibody is also available in a different formulation with BSA and Sodium Azide - Anti-Blood Group Lewis a Antibody [7LE] (A250869).
Disclaimer
This product is for research use only. It is not intended for diagnostic or therapeutic use.
Publishing research using Anti-Blood Group Lewis a Antibody [7LE] - BSA and Azide free (A254049)? Please let us know so that we can list the citation on this page.

Alternative products to Anti-Blood Group Lewis a Antibody [7LE] - BSA and Azide free (A254049)