Primary Antibodies
Secondary Antibodies
Proteins & Peptides
ELISA Kits
About Us
Contact Us
Sign In/Register
0
ISO 9001:2015 Certified
Live Customer Support
4.5/5 on Trustpilot
100% Quality Guarantee
Home
Primary Antibodies
BMF Antibodies
Anti-BMF Antibody (A39183)
Anti-BMF Antibody (A39183)
Overview
Specifications
Images
Enlarge Image
Enlarge Image
$405
Rabbit polyclonal antibody to BMF for WB and IHC.
100% Guarantee
Price Match Guarantee
Product Size:
100µl
Quantity:
1
2
3
4
5
6
7
8
9
10
Add To Cart
Request a Quotation
Custom or Bulk Request
Shipping Information
Freight/Packing Charges:
$40
Dispatched from St. Louis, MO.
Lead Time: 6-9 business days.
Specifications
Name
Anti-BMF Antibody
Description
Rabbit polyclonal antibody to BMF
Specificity
The antibody detects endogenous levels of total BMF protein.
Applications
WB
,
IHC
Dilutions
Western blotting: 1:200-1:1000 Immunohistochemistry: 1:25-1:100
Reactivity
Human, Mouse, Rat
Immunogen
Synthetic peptide of human BMF
Host
Rabbit
Clonality
Polyclonal
Conjugate
Unconjugated
Purification
Antigen affinity purification.
Concentration
800 µg/ml
Formulation
Rabbit IgG in pH7.4 PBS, 0.05% NaN3, 40% Glycerol.
Storage
Store at -20˚C
Synonyms
Bcl-2-modifying factor
Suitable Secondaries
Goat Anti-Rabbit IgG H&L Antibody (AP) (A294874)
Goat Anti-Rabbit IgG H&L Antibody (Biotin) (A294795)
Goat Anti-Rabbit IgG H&L Antibody (FITC) (A294887)
Goat Anti-Rabbit IgG H&L Antibody (HRP) (A294888)
See all Anti-Rabbit IgG Secondaries →
Disclaimer
This product is for research use only. It is not intended for diagnostic or therapeutic use.
Scientific Validation Data
Validation Data
(2)
Enlarge Image
Anti-BMF Antibody (A39183)
Gel: 12% SDS-PAGE Lysate: 40 μg Lane 1-4: Hepg2£¬293T£¬Hela and Jurkat cell Primary antibody: 1/200 dilution Secondary antibody: Goat anti rabbit IgG at 1/8000 dilution Exposure time: 20 seconds
Enlarge Image
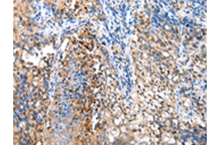
Immunohistochemistry - Anti-BMF Antibody (A39183)
Immunohistochemical analysis of paraffin-embedded Human lung cancer tissue using #43281 at dilution 1/20,
Publishing research using Anti-BMF Antibody (A39183)? Please
let us know
so that we can list the citation on this page.
Alternative products to Anti-BMF Antibody (A39183)
(2)
A48935
Anti-Bmf Antibody
Rabbit polyclonal antibody to Bmf for E, WB and ICC.
(2)
A48593
Anti-Bmf Antibody
Rabbit polyclonal antibody to Bmf for E, WB and IHC.
A14981
Anti-Bmf Antibody
Rabbit polyclonal antibody to Bmf for WB.
A44309
Anti-BMF Antibody
Rabbit polyclonal antibody to BMF for WB.
(2)
A48935
Anti-Bmf Antibody
Rabbit polyclonal antibody to Bmf for E, WB and ICC.
(2)
A48593
Anti-Bmf Antibody
Rabbit polyclonal antibody to Bmf for E, WB and IHC.
A14981
Anti-Bmf Antibody
Rabbit polyclonal antibody to Bmf for WB.
A44309
Anti-BMF Antibody
Rabbit polyclonal antibody to BMF for WB.
Proteins predicted to interact with BMF
Predicted protein interactions based upon String database. Revelancy score correlates with probability of interaction.
Bcl-2 Antibodies
99.8% Relevancy Score
Bcl-w Antibodies
99.6% Relevancy Score
BclXL Antibodies
99.4% Relevancy Score
Dynein Antibodies
97.1% Relevancy Score
MCL1 Antibodies
97% Relevancy Score
BIK Antibodies
95% Relevancy Score
BCL2A1 Antibodies
94% Relevancy Score
Bim Antibodies
90.1% Relevancy Score
JNK1 Antibodies
85.9% Relevancy Score
Top