Primary Antibodies
Secondary Antibodies
Proteins & Peptides
ELISA Kits
About Us
Contact Us
Sign In/Register
0
ISO 9001:2015 Certified
Live Customer Support
4.5/5 on Trustpilot
100% Quality Guarantee
Home
Primary Antibodies
BOULE Antibodies
Anti-BOLL Antibody (A46678)
Anti-BOLL Antibody (A46678)
Overview
Specifications
Images
Enlarge Image
Enlarge Image
$430
Product Datasheet
Rabbit polyclonal antibody to BOLL for IHC.
100% Guarantee
Price Match Guarantee
Product Size:
100µl
Quantity:
1
2
3
4
5
6
7
8
9
10
Add To Cart
Request a Quotation
Custom or Bulk Request
Shipping Information
Freight/Packing Charges:
$40
Dispatched from St. Louis, MO.
Lead Time: 6-9 business days.
Specifications
Name
Anti-BOLL Antibody
Description
Rabbit polyclonal antibody to BOLL
Specificity
The antibody detects endogenous levels of total BOLL protein.
Applications
IHC
Reactivity
Human
Immunogen
Full length fusion protein
Host
Rabbit
Clonality
Polyclonal
Conjugate
Unconjugated
Purification
Antigen affinity purification.
Concentration
2.7 mg/mL
Formulation
Supplied in PBS, pH 7.3, containing 0.05% sodium azide and 50% glycerol.
Storage
Shipped at 4°C. Upon delivery aliquot and store at -20°C. Avoid freeze/thaw cycles.
Synonyms
Protein boule-like
Suitable Secondaries
Goat Anti-Rabbit IgG H&L Antibody (AP) (A294874)
Goat Anti-Rabbit IgG H&L Antibody (Biotin) (A294795)
Goat Anti-Rabbit IgG H&L Antibody (FITC) (A294887)
Goat Anti-Rabbit IgG H&L Antibody (HRP) (A294888)
See all Anti-Rabbit IgG Secondaries →
Disclaimer
This product is for research use only. It is not intended for diagnostic or therapeutic use.
Scientific Validation Data
Validation Data
(2)
Enlarge Image
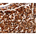
Immunohistochemistry - Anti-BOLL Antibody (A46678)
Immunohistochemical analysis of paraffin-embedded Human ovarian cancer tissue using #35553 at dilution 1/10.
Enlarge Image
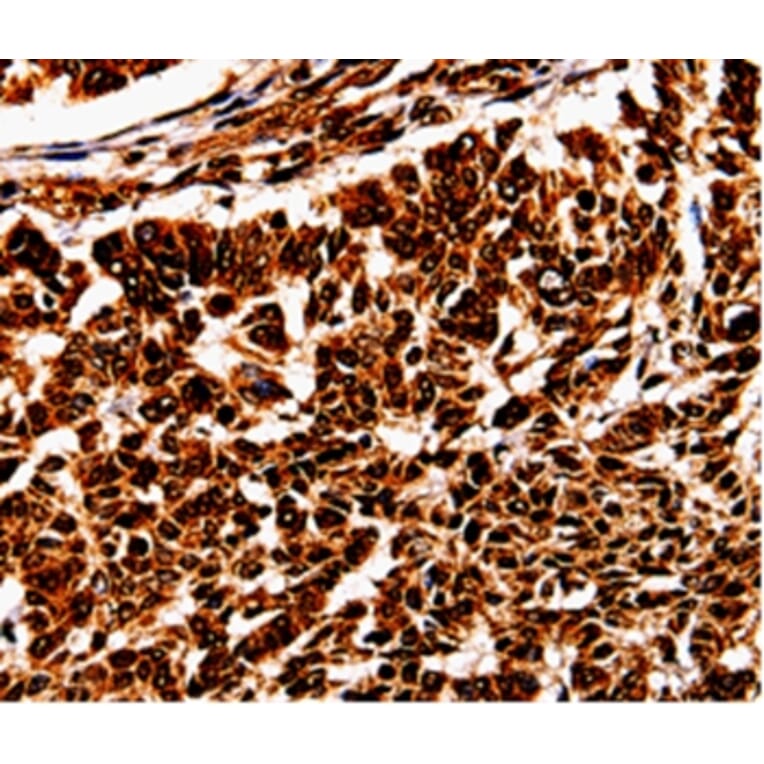
Immunohistochemistry - Anti-BOLL Antibody (A46678)
Immunohistochemical analysis of paraffin-embedded Human lung cancer tissue using #35553 at dilution 1/10.
Publishing research using Anti-BOLL Antibody (A46678)? Please
let us know
so that we can list the citation on this page.
Proteins predicted to interact with BOULE
Predicted protein interactions based upon String database. Revelancy score correlates with probability of interaction.
Pumilio 2 Antibodies
91% Relevancy Score
DAZAP2 Antibodies
83.5% Relevancy Score
UBA5 Antibodies
81.9% Relevancy Score
DDX4 Antibodies
79.1% Relevancy Score
CDC25A Antibodies
78.9% Relevancy Score
PABP Antibodies
78.1% Relevancy Score
SCP3 Antibodies
74% Relevancy Score
Acrosin Antibodies
65.3% Relevancy Score
CPEB1 Antibodies
62.8% Relevancy Score
Top