ISO 9001:2015 Certified
Live Customer Support
4.5/5 on Trustpilot
100% Quality Guarantee

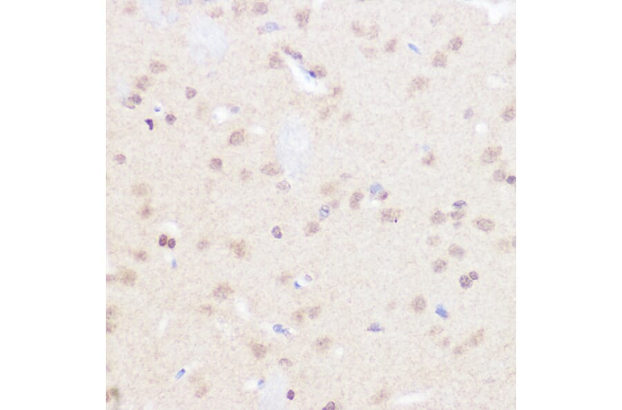
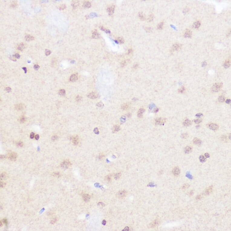
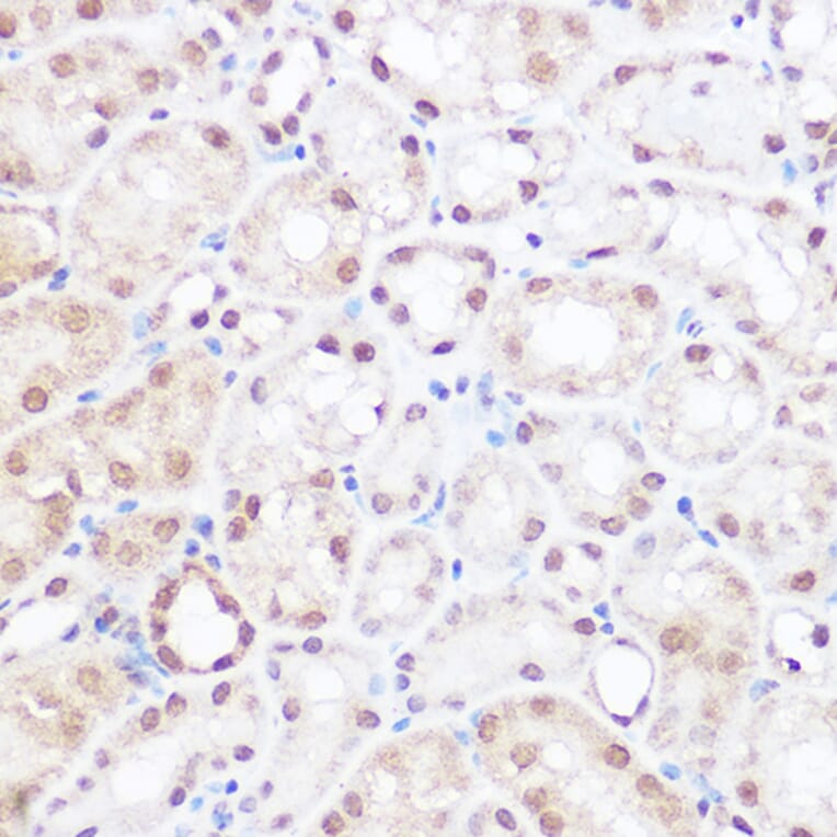
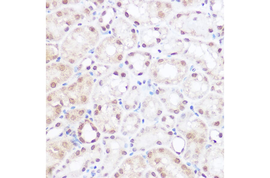
Anti-BRD2 Antibody (A87828)

This product is discontinued

Anti-BRD2 Antibody (A87828) has been discontinued and is no longer available.

View all BRD2 Antibodies.

Name
Anti-BRD2 Antibody
Description
Rabbit polyclonal antibody to BRD2.
Applications
WB, IHC
Dilutions
WB: 1:500-1:1,000, IHC: 1:50-1:200
Reactivity
Human, Mouse, Rat
Immunogen
A synthetic peptide corresponding to a sequence within amino acids 250-350 of human BRD2 (NP_005095.1).
Sequence
LLKSLHSAGPPLLAVTAAPPAQPLAKKKGVKRKADTTTPTPTAILAPGSPASPPGSLEPKAARLPPMRRESGRPIKPPRKDLPDSQQQHQSSKKGKLSEQL
Host
Rabbit
Clonality
Polyclonal
Isotype
IgG
Conjugate

Unconjugated

Purification
Affinity purification.
Molecular Weight
110 kDa
Product Form
Liquid
Formulation
Supplied in Phosphate Buffered Saline, pH 7.3, with 50% Glycerol and 0.05% Proclin 300.
Storage
Shipped at 4°C. Upon delivery aliquot and store at -20°C. Avoid freeze / thaw cycles.
Synonyms
Bromodomain-containing protein 2, KIAA9001, O27.1.1, RING3
Disclaimer
This product is for research use only. It is not intended for diagnostic or therapeutic use.

Alternative products to Anti-BRD2 Antibody (A87828)

Proteins predicted to interact with BRD2

Predicted protein interactions based upon String database. Revelancy score correlates with probability of interaction.
99.2% Relevancy Score
96.1% Relevancy Score
95% Relevancy Score
92.5% Relevancy Score
90.6% Relevancy Score
88.5% Relevancy Score
87.8% Relevancy Score
87% Relevancy Score
86.5% Relevancy Score