Primary Antibodies
Secondary Antibodies
Proteins & Peptides
ELISA Kits
About Us
Contact Us
Sign In/Register
0
ISO 9001:2015 Certified
Live Customer Support
4.5/5 on Trustpilot
100% Quality Guarantee
Home
Primary Antibodies
BTG2 Antibodies
Anti-BTG2 Antibody (A38656)
Anti-BTG2 Antibody (A38656)
Overview
Specifications
Images
Enlarge Image
Enlarge Image
$430
Product Datasheet
Rabbit polyclonal antibody to BTG2 for WB and IHC.
100% Guarantee
Price Match Guarantee
Product Size:
100µl
Quantity:
1
2
3
4
5
6
7
8
9
10
Add To Cart
Request a Quotation
Custom or Bulk Request
Shipping Information
Freight/Packing Charges:
$40
Dispatched from St. Louis, MO.
Lead Time: 6-9 business days.
Specifications
Name
Anti-BTG2 Antibody
Description
Rabbit polyclonal antibody to BTG2
Specificity
The antibody detects endogenous levels of total BTG2 protein.
Applications
WB
,
IHC
Reactivity
Human, Mouse, Rat
Immunogen
Fusion protein corresponding to a region derived from internal residues of human BTG family, member 2
Host
Rabbit
Clonality
Polyclonal
Conjugate
Unconjugated
Purification
Antigen affinity purification.
Concentration
1.1 mg/mL
Formulation
Supplied in PBS, pH 7.3, containing 0.05% sodium azide and 50% glycerol.
Storage
Shipped at 4°C. Upon delivery aliquot and store at -20°C. Avoid freeze/thaw cycles.
Synonyms
BTG family member 2, NGF-inducible anti-proliferative protein PC3, PC3, Protein BTG2
Suitable Secondaries
Goat Anti-Rabbit IgG H&L Antibody (AP) (A294874)
Goat Anti-Rabbit IgG H&L Antibody (Biotin) (A294795)
Goat Anti-Rabbit IgG H&L Antibody (FITC) (A294887)
Goat Anti-Rabbit IgG H&L Antibody (HRP) (A294888)
See all Anti-Rabbit IgG Secondaries →
Disclaimer
This product is for research use only. It is not intended for diagnostic or therapeutic use.
Scientific Validation Data
Validation Data
(2)
Enlarge Image
Anti-BTG2 Antibody (A38656)
Gel: 12% SDS-PAGE Lysate: 40ug PC3 cell Primary antibody: 1/200 dilution Secondary antibody dilution: 1/8000 Exposure time: 10 seconds
Enlarge Image
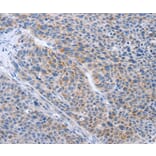
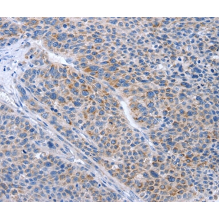
Immunohistochemistry - Anti-BTG2 Antibody (A38656)
Immunohistochemical analysis of paraffin-embedded Human liver cancer tissue using #35656 at dilution 1/35.
Publishing research using Anti-BTG2 Antibody (A38656)? Please
let us know
so that we can list the citation on this page.
Proteins predicted to interact with BTG2
Predicted protein interactions based upon String database. Revelancy score correlates with probability of interaction.
PRMT1 Antibodies
99.2% Relevancy Score
CNOT7 Antibodies
96.3% Relevancy Score
HOXB9 Antibodies
91.3% Relevancy Score
p53 Antibodies
88.8% Relevancy Score
CNOT8 Antibodies
88.1% Relevancy Score
Nur77 Antibodies
77.5% Relevancy Score
DUSP1 Antibodies
73.9% Relevancy Score
GADD45A Antibodies
71.4% Relevancy Score
c-Fos Antibodies
69.6% Relevancy Score
Top