Primary Antibodies
Secondary Antibodies
Proteins & Peptides
ELISA Kits
About Us
Contact Us
Sign In/Register
0
ISO 9001:2015 Certified
Live Customer Support
4.5/5 on Trustpilot
100% Quality Guarantee
Home
Primary Antibodies
BTG3 Antibodies
Anti-BTG3 Antibody (A38655)
Anti-BTG3 Antibody (A38655)
Overview
Specifications
Images
Enlarge Image
Enlarge Image
$430
Product Datasheet
Rabbit polyclonal antibody to BTG3 for WB and IHC.
100% Guarantee
Price Match Guarantee
Product Size:
100µl
Quantity:
1
2
3
4
5
6
7
8
9
10
Add To Cart
Request a Quotation
Custom or Bulk Request
Shipping Information
Freight/Packing Charges:
$40
Dispatched from St. Louis, MO.
Lead Time: 6-9 business days.
Specifications
Name
Anti-BTG3 Antibody
Description
Rabbit polyclonal antibody to BTG3
Specificity
The antibody detects endogenous levels of total BTG3 protein.
Applications
WB
,
IHC
Reactivity
Human, Mouse
Immunogen
Fusion protein corresponding to a region derived from internal residues of human BTG family, member 3
Host
Rabbit
Clonality
Polyclonal
Conjugate
Unconjugated
Purification
Antigen affinity purification.
Concentration
0.5 mg/mL
Formulation
Supplied in PBS, pH 7.3, containing 0.05% sodium azide and 50% glycerol.
Storage
Shipped at 4°C. Upon delivery aliquot and store at -20°C. Avoid freeze/thaw cycles.
Synonyms
Abundant in neuroepithelium area protein, ANA, BTG family member 3, Protein BTG3, Protein Tob5, TOB5
Suitable Secondaries
Goat Anti-Rabbit IgG H&L Antibody (AP) (A294874)
Goat Anti-Rabbit IgG H&L Antibody (Biotin) (A294795)
Goat Anti-Rabbit IgG H&L Antibody (FITC) (A294887)
Goat Anti-Rabbit IgG H&L Antibody (HRP) (A294888)
See all Anti-Rabbit IgG Secondaries →
Disclaimer
This product is for research use only. It is not intended for diagnostic or therapeutic use.
Scientific Validation Data
Validation Data
(2)
Enlarge Image
Anti-BTG3 Antibody (A38655)
Gel: 10% SDS-PAGE Lysates (from left to right): Human liver cancer tissue Amount of lysate: 40ug per lane Primary antibody: 1/100 dilution Secondary antibody dilution: 1/8000 Exposure time: 1 minute
Enlarge Image
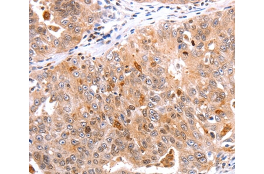
Immunohistochemistry - Anti-BTG3 Antibody (A38655)
Immunohistochemical analysis of paraffin-embedded Human ovarian cancer tissue using #35655 at dilution 1/20.
Publishing research using Anti-BTG3 Antibody (A38655)? Please
let us know
so that we can list the citation on this page.
Alternative products to Anti-BTG3 Antibody (A38655)
A14126
Anti-BTG3 Antibody
Rabbit polyclonal antibody to BTG3 for WB and IHC.
A14126
Anti-BTG3 Antibody
Rabbit polyclonal antibody to BTG3 for WB and IHC.
Proteins predicted to interact with BTG3
Predicted protein interactions based upon String database. Revelancy score correlates with probability of interaction.
CNOT7 Antibodies
92.7% Relevancy Score
NANOS2 Antibodies
74.7% Relevancy Score
CNOT8 Antibodies
66.4% Relevancy Score
CNOT10 Antibodies
64.5% Relevancy Score
Chk1 Antibodies
61.2% Relevancy Score
E2F1 Antibodies
55.3% Relevancy Score
CHODL Antibodies
47.1% Relevancy Score
NCAM2 Antibodies
45.4% Relevancy Score
PI4K2B Antibodies
42.2% Relevancy Score
Top