Primary Antibodies
Secondary Antibodies
Proteins & Peptides
ELISA Kits
About Us
Contact Us
Sign In/Register
0
ISO 9001:2015 Certified
Live Customer Support
4.5/5 on Trustpilot
100% Quality Guarantee
Home
Primary Antibodies
c-Abl Antibodies
Anti-c-Abl (Phospho-Tyr412) Antibody (A51408)
Anti-c-Abl (Phospho-Tyr412) Antibody (A51408)
Overview
Specifications
Images
Enlarge Image
Enlarge Image
$290
Product Datasheet
Rabbit polyclonal antibody to c-Abl (Phospho-Tyr412) for IHC and ICC/IF.
100% Guarantee
Price Match Guarantee
Product Size:
50µl
100µl
Quantity:
1
2
3
4
5
6
7
8
9
10
Add To Cart
Request a Quotation
Custom or Bulk Request
Shipping Information
Freight/Packing Charges:
$40
Dispatched from St. Louis, MO.
Lead Time: 6-9 business days.
Specifications
Name
Anti-c-Abl (Phospho-Tyr412) Antibody
Description
Rabbit polyclonal antibody to c-Abl (Phospho-Tyr412)
Applications
IHC
,
ICC/IF
Dilutions
Immunohistochemistry: 1:50~1:100 Immunofluorescence: 1:100~1:200
Reactivity
Human, Mouse, Rat
Host
Rabbit
Clonality
Polyclonal
Conjugate
Unconjugated
Concentration
1.0 mg/mL
Storage
Shipped at 4°C. Upon delivery aliquot and store at -20°C. Avoid freeze/thaw cycles.
Synonyms
Abelson murine leukemia viral oncogene homolog 1, Abelson tyrosine-protein kinase 1, ABL, ABL1, JTK7, p150, Proto-oncogene c-Abl, Tyrosine-protein kinase ABL1
Suitable Secondaries
Goat Anti-Rabbit IgG H&L Antibody (AP) (A294874)
Goat Anti-Rabbit IgG H&L Antibody (Biotin) (A294795)
Goat Anti-Rabbit IgG H&L Antibody (FITC) (A294887)
Goat Anti-Rabbit IgG H&L Antibody (HRP) (A294888)
See all Anti-Rabbit IgG Secondaries →
Disclaimer
This product is for research use only. It is not intended for diagnostic or therapeutic use.
Scientific Validation Data
Validation Data
(2)
Enlarge Image
Immunofluorescence - Anti-c-Abl (Phospho-Tyr412) Antibody (A51408)
Immunofluorescence staining of methanol-fixed HeLa cells using c-Abl (phospho-Tyr412) antibody (#11125, Red).
Enlarge Image
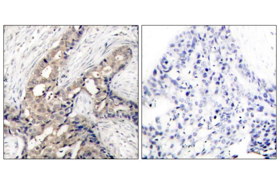
Immunohistochemistry - Anti-c-Abl (Phospho-Tyr412) Antibody (A51408)
Immunohistochemical analysis of paraffin-embedded human breast carcinoma tissue using c-Abl (phospho-Tyr412) antibody (#11125).
Publishing research using Anti-c-Abl (Phospho-Tyr412) Antibody (A51408)? Please
let us know
so that we can list the citation on this page.
Alternative products to Anti-c-Abl (Phospho-Tyr412) Antibody (A51408)
(5)
A12600
Anti-ABL1 Antibody
Rabbit polyclonal antibody to ABL1 for WB, IHC and ICC/IF.
A12481
Anti-ABL1 (phospho Tyr412) Antibody
Rabbit polyclonal antibody to ABL1 (phospho Tyr412) for IHC-P and ELISA.
(4)
A98548
Anti-Abl Antibody
Rabbit polyclonal antibody to Abl for WB,IHC-p,IF(paraffin section) and ELISA.
(5)
A24926
Anti-ABL1 (A198) Antibody
Rabbit polyclonal antibody to ABL1 (A198) for WB and IHC.
(4)
A26329
Anti-ABL1 (E883) Antibody
Rabbit polyclonal antibody to ABL1 (E883) for WB, IHC and IF.
(2)
A94321
Anti-Abl (phospho Tyr204) Antibody
Rabbit polyclonal antibody to Abl (phospho Tyr204) for WB, IHC, IF and ELISA.
(3)
A96250
Anti-ABL1 Antibody
Rabbit polyclonal antibody to ABL1 for WB, IHC, IF and ELISA.
(2)
A54940
Anti-ABL1 Antibody
Rabbit polyclonal antibody to ABL1 for ELISA, IHC, IP and WB.
A94096
Anti-ABL1 (phospho Thr735) Antibody
Rabbit polyclonal antibody to ABL1 (phospho Thr735) for WB, IHC, IF and ELISA.
(2)
A94394
Anti-c-Abl (phospho Tyr245) Antibody
Rabbit polyclonal antibody to c-Abl (phospho Tyr245) for WB, IF and ELISA.
(4)
A305660
Anti-ABL1 (phospho Tyr412) Antibody
Rabbit polyclonal antibody to ABL1 (phospho Tyr412) for WB and IHC.
(4)
A12447
Anti-ABL1 (phospho Tyr245) Antibody
Rabbit polyclonal antibody to ABL1 (phospho Tyr245) for WB and IHC.
(5)
A12600
Anti-ABL1 Antibody
Rabbit polyclonal antibody to ABL1 for WB, IHC and ICC/IF.
A12481
Anti-ABL1 (phospho Tyr412) Antibody
Rabbit polyclonal antibody to ABL1 (phospho Tyr412) for IHC-P and ELISA.
(4)
A98548
Anti-Abl Antibody
Rabbit polyclonal antibody to Abl for WB,IHC-p,IF(paraffin section) and ELISA.
(5)
A24926
Anti-ABL1 (A198) Antibody
Rabbit polyclonal antibody to ABL1 (A198) for WB and IHC.
(4)
A26329
Anti-ABL1 (E883) Antibody
Rabbit polyclonal antibody to ABL1 (E883) for WB, IHC and IF.
(2)
A94321
Anti-Abl (phospho Tyr204) Antibody
Rabbit polyclonal antibody to Abl (phospho Tyr204) for WB, IHC, IF and ELISA.
(3)
A96250
Anti-ABL1 Antibody
Rabbit polyclonal antibody to ABL1 for WB, IHC, IF and ELISA.
(2)
A54940
Anti-ABL1 Antibody
Rabbit polyclonal antibody to ABL1 for ELISA, IHC, IP and WB.
A94096
Anti-ABL1 (phospho Thr735) Antibody
Rabbit polyclonal antibody to ABL1 (phospho Thr735) for WB, IHC, IF and ELISA.
(2)
A94394
Anti-c-Abl (phospho Tyr245) Antibody
Rabbit polyclonal antibody to c-Abl (phospho Tyr245) for WB, IF and ELISA.
(4)
A305660
Anti-ABL1 (phospho Tyr412) Antibody
Rabbit polyclonal antibody to ABL1 (phospho Tyr412) for WB and IHC.
(4)
A12447
Anti-ABL1 (phospho Tyr245) Antibody
Rabbit polyclonal antibody to ABL1 (phospho Tyr245) for WB and IHC.
See all c-Abl Antibodies
Proteins predicted to interact with c-Abl
Predicted protein interactions based upon String database. Revelancy score correlates with probability of interaction.
GRB2 Antibodies
99.9% Relevancy Score
Crk Antibodies
99.9% Relevancy Score
ABI1 Antibodies
99.8% Relevancy Score
CrkL Antibodies
99.8% Relevancy Score
RIN1 Antibodies
99.7% Relevancy Score
CBL Antibodies
99.6% Relevancy Score
Bcr Antibodies
99.6% Relevancy Score
SHC Antibodies
99.1% Relevancy Score
ATM Antibodies
98.8% Relevancy Score
Top