The antibody detects endogenous level of total c-Cbl protein.
Applications
WB, IHC
Reactivity
Human
Immunogen
Peptide sequence around aa. 698~702 (T-E-Y-M-T) derived from Human c-Cbl.
Host
Rabbit
Clonality
Polyclonal
Conjugate
Unconjugated
Purification
Antibodies were produced by immunizing rabbits with synthetic peptide and KLH conjugates. Antibodies were purified by affinity-chromatography using epitope-specific peptide.
Concentration
1.0 mg/mL
Formulation
Supplied in phosphate-buffered saline (without Mg²? and Ca²?), pH 7.4, containing 150 mM NaCl, 0.02% sodium azide, and 50% glycerol.
Storage
Shipped at 4°C. Upon delivery aliquot and store at -20°C. Avoid freeze/thaw cycles.
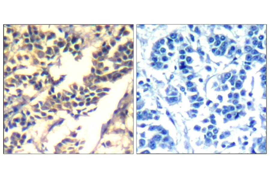
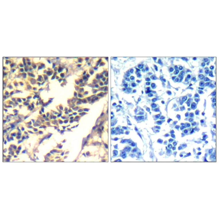
Immunohistochemical analysis of paraffin-embedded human breast carcinoma tissue using c-Cbl (Ab-700) Antibody #21549 (left) or the same antibody preincubated with blocking peptide (right).
Publishing research using Anti-c-Cbl (Ab-700) Antibody (A36435)? Please let us know so that we can list the citation on this page.