ISO 9001:2015 Certified
Live Customer Support
4.5/5 on Trustpilot
100% Quality Guarantee

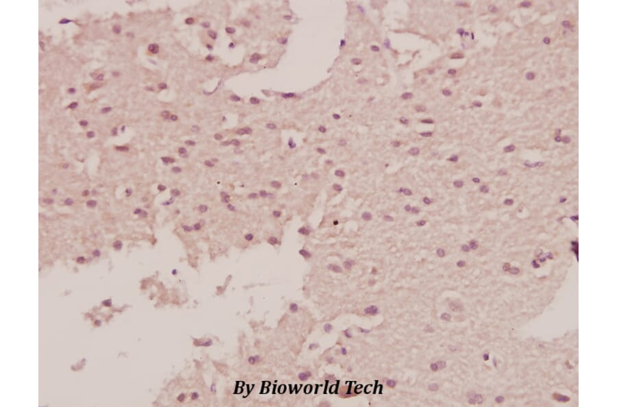
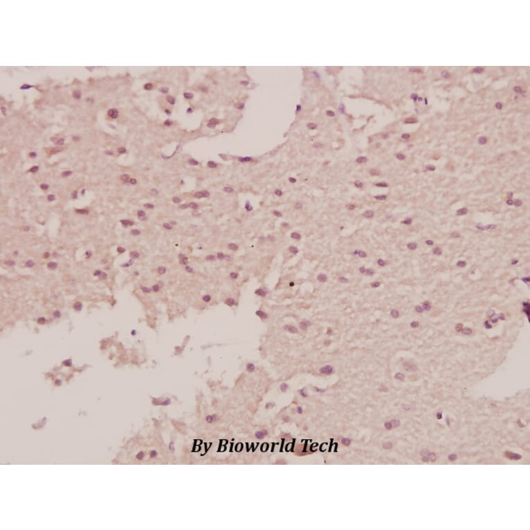
Anti-c-Fms (E557) Antibody (A25651)

This product is discontinued

Anti-c-Fms (E557) Antibody (A25651) has been discontinued and is no longer available.

View all available products.

Name
Anti-c-Fms (E557) Antibody
Description
Rabbit polyclonal antibody to c-Fms (E557)
Specificity
c-Fms (E557) pAb detects endogenous levels of c-Fms protein.
Applications
WB, IHC, IF
Reactivity
Human, Mouse, Rat
Immunogen
Synthetic peptide, corresponding to amino acids 531-580 of Human c-Fms.
Host
Rabbit
Clonality
Polyclonal
Conjugate

Unconjugated

Molecular Weight
Predicted band size : 108 kDaObserved band size : 130 kDa
Purity
The antibody was affinity-purified from rabbit antiserum by affinity-chromatography using epitope-specific immunogen and the purity is > 95% (by SDS-PAGE).
Product Form
1 mg/ml in Phosphate buffered saline (PBS) with 0.05% sodium azide, approx. pH 7.2.
Disclaimer
This product is for research use only. It is not intended for diagnostic or therapeutic use.