ISO 9001:2015 Certified
Live Customer Support
4.5/5 on Trustpilot
100% Quality Guarantee

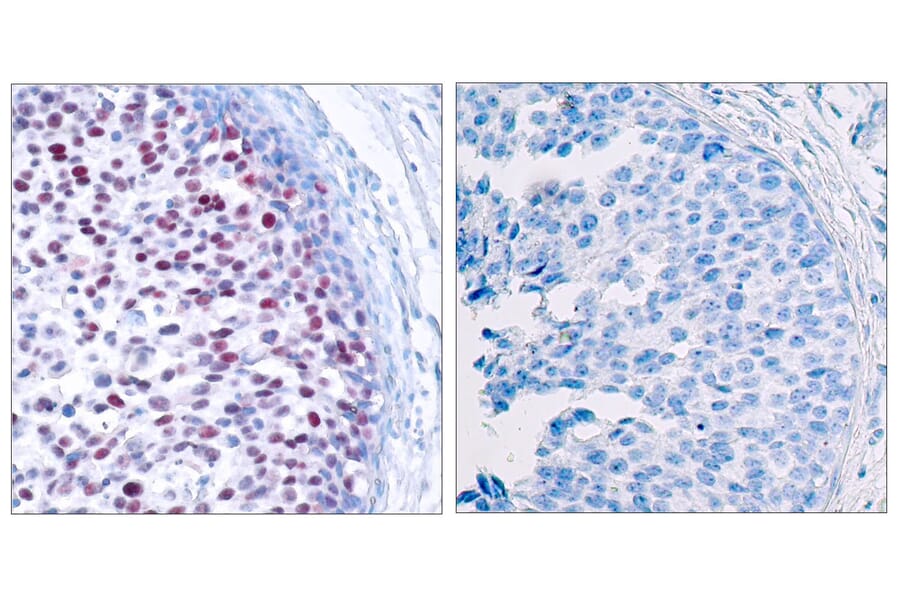
Anti-c-Jun (phospho Thr239) Antibody (A93502)

Rabbit polyclonal antibody to c-Jun (phospho Thr239) for WB, IHC, IF, IP and ELISA.

Shipping Information

$40
Dispatched from St. Louis, MO.
Lead Time: 6-8 business days.
Name
Anti-c-Jun (phospho Thr239) Antibody
Description
Rabbit polyclonal antibody to c-Jun (phospho Thr239).
Specificity
This antibody detects endogenous levels of c-Jun only when phosphorylated at Thr239.
Applications
WB, IHC, IF, IP, ELISA
Dilutions
WB: 1:500~1:1000, ELISA: 1:20000
Reactivity
Human, Mouse, Rat
Cross Reactivity
No reported cross-reactivity.
Immunogen
Synthetic peptide derived from human c-Jun around the phosphorylation site of Thr239 (amino acids 206-255).
Host
Rabbit
Clonality
Polyclonal
Isotype
IgG
Conjugate

Unconjugated

Purification
Purified from rabbit serum by antigen affinity chromatography using the immunizing phospho peptide.
Molecular Weight
35kDa
Product Form
Liquid
Formulation
Supplied in Phosphate Buffered Saline (without Mg2+ and Ca2+), pH 7.4, with 150mM NaCl, 0.02% Sodium Azide, and 50% Glycerol.
Storage
Shipped at 4°C. Upon delivery aliquot and store at -20°C. Avoid freeze / thaw cycles.
Synonyms
Activator protein 1, AP1, JUN, p39, Proto-oncogene c-Jun, Transcription factor AP-1 subunit Jun, Transcription factor Jun, V-jun avian sarcoma virus 17 oncogene homolog
Disclaimer
This product is for research use only. It is not intended for diagnostic or therapeutic use.
Publishing research using Anti-c-Jun (phospho Thr239) Antibody (A93502)? Please let us know so that we can list the citation on this page.

Alternative products to Anti-c-Jun (phospho Thr239) Antibody (A93502)

Proteins predicted to interact with c-Jun

Predicted protein interactions based upon String database. Revelancy score correlates with probability of interaction.
99.9% Relevancy Score
99.9% Relevancy Score
99.9% Relevancy Score
99.9% Relevancy Score
99.9% Relevancy Score
99.9% Relevancy Score
99.9% Relevancy Score
99.9% Relevancy Score