ISO 9001:2015 Certified
Live Customer Support
4.5/5 on Trustpilot
100% Quality Guarantee

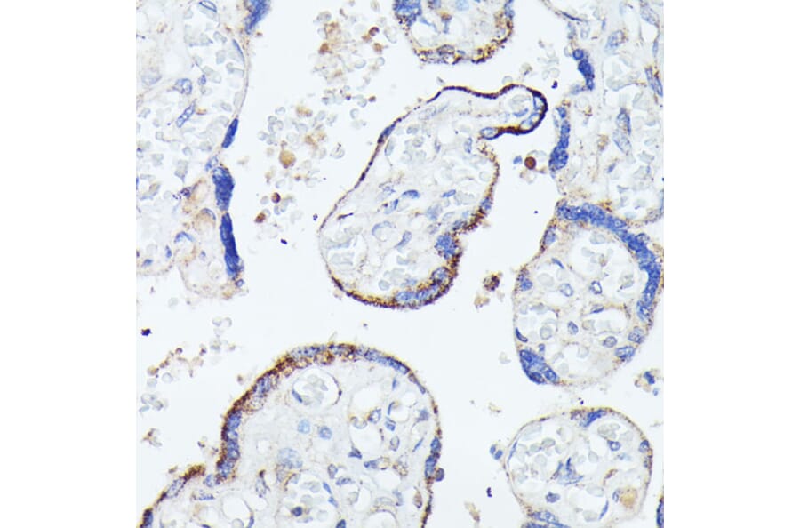
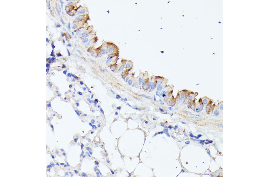
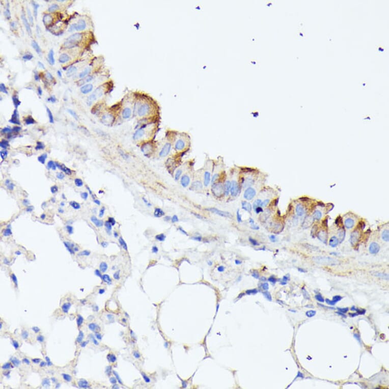
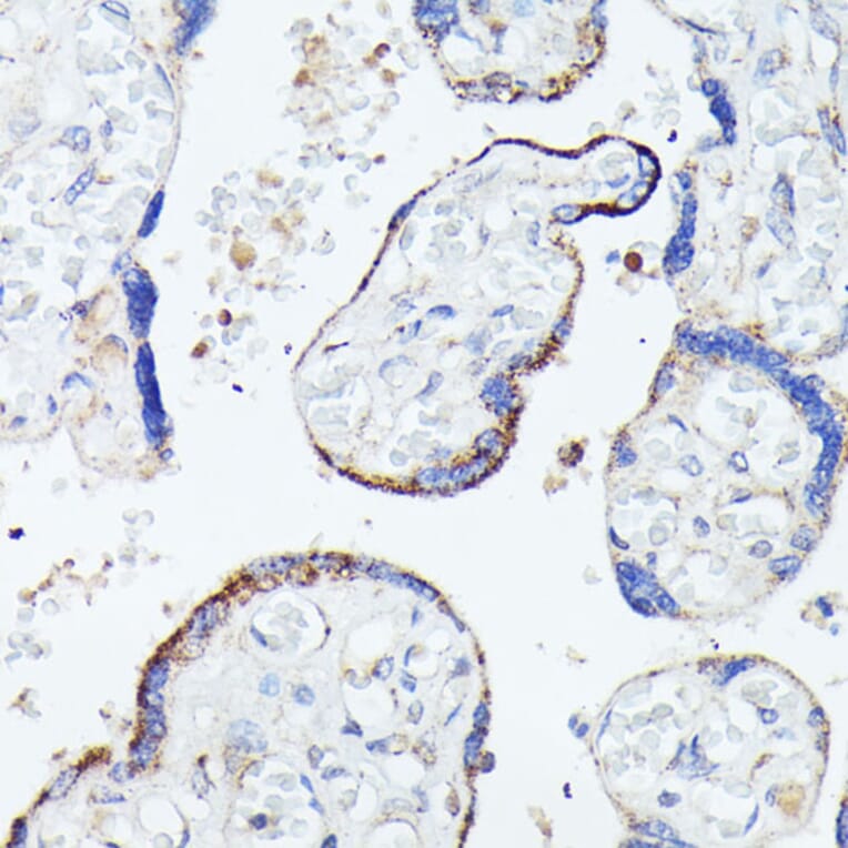
Anti-C1orf41 Antibody (A307693)

Rabbit polyclonal antibody to C1orf41 for WB, IHC and ICC/IF.

Shipping Information

$40
Dispatched from St. Louis, MO.
Lead Time: 7-10 business days.
Name
Anti-C1orf41 Antibody
Description
Rabbit polyclonal antibody to C1orf41.
Applications
WB, IHC, ICC/IF
Dilutions
WB: 1:500-1:2,000, IHC: 1:50-1:200, ICC/IF: 1:50-1:200
Reactivity
Human, Mouse, Rat
Immunogen
Recombinant fusion protein containing a sequence corresponding to amino acids 1-144 of human HSPB11 (NP_057210.2).
Sequence
MRKIDLCLSSEGSEVILATSSDEKHPPENIIDGNPETFWTTTGMFPQEFIICFHKHVRIERLVIQSYFVQTLKIEKSTSKEPVDFEQWIEKDLVHTEGQLQNEEIVAHDGSATYLRFIIVSAFDHFASVHSVSAEGTVVSNLSS
Host
Rabbit
Clonality
Polyclonal
Isotype
IgG
Conjugate

Unconjugated

Purification
Affinity purification.
Concentration
Lot Specific
Molecular Weight
16 kDa
Product Form
Liquid
Formulation
Supplied in Phosphate Buffered Saline, pH 7.3, with 50% Glycerol and 0.01% Thiomersal.
Storage
Shipped at 4°C. Upon delivery aliquot and store at -20°C. Avoid freeze/thaw cycles.
Synonyms
Heat shock protein beta-11, Heat shock protein family B member 11, HSPB11, IFT25, Intraflagellar transport protein 25 homolog, Placental protein 25, PP25
Disclaimer
This product is for research use only. It is not intended for diagnostic or therapeutic use.
Publishing research using Anti-C1orf41 Antibody (A307693)? Please let us know so that we can list the citation on this page.

Proteins predicted to interact with C1orf41

Predicted protein interactions based upon String database. Revelancy score correlates with probability of interaction.
99.9% Relevancy Score
99.8% Relevancy Score
99.8% Relevancy Score
99.8% Relevancy Score
99.7% Relevancy Score
99.6% Relevancy Score
98.6% Relevancy Score
89.7% Relevancy Score
88.8% Relevancy Score