ISO 9001:2015 Certified
Live Customer Support
4.5/5 on Trustpilot
100% Quality Guarantee

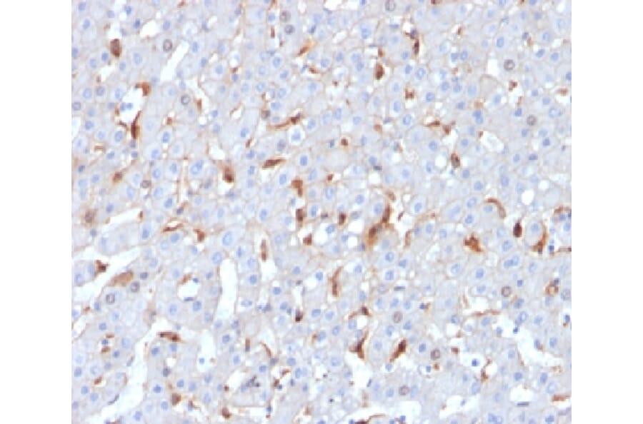
Anti-C1QB Antibody [C1QB/2962] - BSA and Azide free (A278410)

Mouse monoclonal [C1QB/2962] antibody to C1QB for IHC-P.

Alternative Formats and ConjugatesAlternative Formats

Shipping Information

$40
Dispatched from St. Louis, MO.
Lead Time: 5-8 business days.
Name
Anti-C1QB Antibody [C1QB/2962] - BSA and Azide free
Description
Mouse monoclonal [C1QB/2962] antibody to C1QB.
Specificity
C1q, a subcomponent of the classical complement pathway, is composed of nine subunits that mediate classical complement activation and thereby play an important role in the immune response. Six of these subunits are disulfide-linked dimers of chains A and B, while three of these subunits, designated C1q-A through C1q-C, are disulfide-linked dimers of chain C. Each chain contains an N-terminal collagen-like region and a C-terminal C1q globular domain. The presence of receptors for C1q on effector cells modulates its activity, which may be antibody-dependent or independent. Macrophages are the primary source of C1q, while anti-inflammatory drugs as well as cytokines differentially regulate expression of the mRNA as well as the protein. C1q deficiency is associated with lupus erythematosus and glomerulonephritis.
Applications
IHC-P
Dilutions
IHC-P: 1-2 µg/ml
Reactivity
Human
Immunogen
Recombinant fragment, around amino acids 41-188, of human C1QB protein. The exact sequence is proprietary.
Host
Mouse
Clonality
Monoclonal
Clone ID
C1QB/2962
Isotype
IgG
Light Chains
kappa
Conjugate

Unconjugated

Purification
Protein A/G chromatography.
Concentration
1 mg/ml
Molecular Weight
26-29 kDa
Product Form
Liquid
Formulation
Supplied in 10mM Phosphate Buffered Saline; without Sodium Azide and carrier free.
Storage
Shipped at 4°C. Upon delivery aliquot and store at -20°C. Avoid freeze / thaw cycles.
General Notes
This monoclonal antibody is also available in a different formulation with BSA and Sodium Azide - Anti-C1QB Antibody [C1QB/2962] (A277822).
Synonyms
Complement C1q subcomponent subunit B
Isotype Controls
Disclaimer
This product is for research use only. It is not intended for diagnostic or therapeutic use.
Publishing research using Anti-C1QB Antibody [C1QB/2962] - BSA and Azide free (A278410)? Please let us know so that we can list the citation on this page.

Alternative products to Anti-C1QB Antibody [C1QB/2962] - BSA and Azide free (A278410)

Proteins predicted to interact with C1QB

Predicted protein interactions based upon String database. Revelancy score correlates with probability of interaction.
99.9% Relevancy Score
99.9% Relevancy Score
99.5% Relevancy Score
99.5% Relevancy Score
98% Relevancy Score
97.3% Relevancy Score
96.6% Relevancy Score
96.1% Relevancy Score
96% Relevancy Score