Primary Antibodies
Secondary Antibodies
Proteins & Peptides
ELISA Kits
About Us
Contact Us
Sign In/Register
0
ISO 9001:2015 Certified
Live Customer Support
4.5/5 on Trustpilot
100% Quality Guarantee
Home
Primary Antibodies
C2orf40 Antibodies
Anti-C2orf40 Antibody (A45144)
Anti-C2orf40 Antibody (A45144)
Overview
Specifications
Images
Enlarge Image
Enlarge Image
$430
Product Datasheet
Rabbit polyclonal antibody to C2orf40 for IHC.
100% Guarantee
Price Match Guarantee
Product Size:
100µl
Quantity:
1
2
3
4
5
6
7
8
9
10
Add To Cart
Request a Quotation
Custom or Bulk Request
Shipping Information
Freight/Packing Charges:
$40
Dispatched from St. Louis, MO.
Lead Time: 6-9 business days.
Specifications
Name
Anti-C2orf40 Antibody
Description
Rabbit polyclonal antibody to C2orf40
Specificity
The antibody detects endogenous levels of total C2orf40 protein.
Applications
IHC
Reactivity
Human
Immunogen
Synthetic peptide corresponding to a region derived from internal residues of human chromosome 2 open reading frame 40
Host
Rabbit
Clonality
Polyclonal
Conjugate
Unconjugated
Purification
Antigen affinity purification.
Concentration
2.2 mg/mL
Formulation
Supplied in PBS, pH 7.3, containing 0.05% sodium azide and 50% glycerol.
Storage
Shipped at 4°C. Upon delivery aliquot and store at -20°C. Avoid freeze/thaw cycles.
Synonyms
Augurin, ECRG4, Esophageal cancer-related gene 4 protein
Suitable Secondaries
Goat Anti-Rabbit IgG H&L Antibody (AP) (A294874)
Goat Anti-Rabbit IgG H&L Antibody (Biotin) (A294795)
Goat Anti-Rabbit IgG H&L Antibody (FITC) (A294887)
Goat Anti-Rabbit IgG H&L Antibody (HRP) (A294888)
See all Anti-Rabbit IgG Secondaries →
Disclaimer
This product is for research use only. It is not intended for diagnostic or therapeutic use.
Scientific Validation Data
Validation Data
(2)
Enlarge Image
Immunohistochemistry - Anti-C2orf40 Antibody (A45144)
Immunohistochemical analysis of paraffin-embedded Human thyroid cancer tissue using #36833 at dilution 1/20.
Enlarge Image
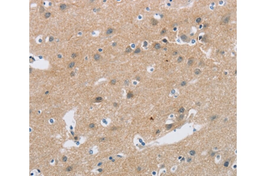
Immunohistochemistry - Anti-C2orf40 Antibody (A45144)
Immunohistochemical analysis of paraffin-embedded Human brain tissue using #36833 at dilution 1/20.
Publishing research using Anti-C2orf40 Antibody (A45144)? Please
let us know
so that we can list the citation on this page.
Alternative products to Anti-C2orf40 Antibody (A45144)
(2)
A97578
Anti-ECRG4 Antibody
Rabbit polyclonal antibody to ECRG4 for IHC, IF and ELISA.
A49484
Anti-ECRG4 Antibody
Rabbit polyclonal antibody to ECRG4 for ELISA and WB.
(2)
A44581
Anti-ECRG4 Antibody
Rabbit polyclonal antibody to ECRG4 for IHC and ICC/IF.
(2)
A97578
Anti-ECRG4 Antibody
Rabbit polyclonal antibody to ECRG4 for IHC, IF and ELISA.
A49484
Anti-ECRG4 Antibody
Rabbit polyclonal antibody to ECRG4 for ELISA and WB.
(2)
A44581
Anti-ECRG4 Antibody
Rabbit polyclonal antibody to ECRG4 for IHC and ICC/IF.
Proteins predicted to interact with C2orf40
Predicted protein interactions based upon String database. Revelancy score correlates with probability of interaction.
TMPRSS11A Antibodies
39.8% Relevancy Score
UBR5 Antibodies
39.1% Relevancy Score
OIF Antibodies
38.8% Relevancy Score
RIL Antibodies
37.7% Relevancy Score
MFAP5 Antibodies
37.6% Relevancy Score
Albumin Antibodies
36.2% Relevancy Score
Chromogranin C Antibodies
35.6% Relevancy Score
ANGPTL7 Antibodies
35% Relevancy Score
ZNF169 Antibodies
33.4% Relevancy Score
Top