ISO 9001:2015 Certified
Live Customer Support
4.5/5 on Trustpilot
100% Quality Guarantee

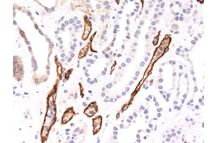
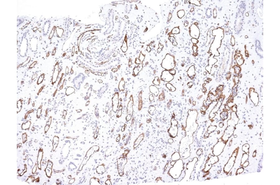
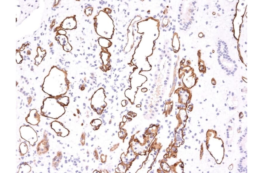
Anti-C4d Antibody [C4D204] - BSA and Azide free (A253395)

Mouse monoclonal [C4D204] antibody to C4d for ELISA and IHC-P.

Alternative Formats and ConjugatesAlternative Formats

Shipping Information

$40
Dispatched from St. Louis, MO.
Lead Time: 5-8 business days.
Name
Anti-C4d Antibody [C4D204] - BSA and Azide free
Description
Mouse monoclonal [C4D204] antibody to C4d.
Specificity
This antibody is specific to Complement 4d (C4d) and reacts with the secreted as well as cell-bound C4d.C4d is a degradation product of the activated complement factor C4b. Complement 4b is typically activated by binding of Abs to specific target molecules. Following activation and degradation of the C4 molecule, thio-ester groups are exposed, which allow transient, covalent binding of the degradation product Complement 4d to endothelial cell surfaces and extracellular matrix components of vascular basement membranes near the sites of C4 activation. The presence of C4d in peritubular capillaries is a key indicator for acute humoral (i.e. antibody-mediated) rejection of kidney, heart, pancreas and lung allografts. As an established marker of antibody-mediated acute renal allograft rejection and its proclivity for endothelium, this component can be detected in peritubular capillaries in chronic renal allograft rejection as well as hyperacute rejection, acute vascular rejection, acute cellular rejection, and borderline rejection. It has been shown to be a significant predictor of transplant kidney graft survival. Anti-C4d, combined with anti-C3d, can be utilized as a tool for diagnosis of allograft rejection that may warrant a prompt and aggressive anti-rejection treatment.
Applications
ELISA, IHC-P
Dilutions
ELISA: 1-2 µg/ml, IHC-P: 1:200-1:400
Reactivity
Human
Immunogen
Recombinant full-length human Complement 4d protein.
Host
Mouse
Clonality
Monoclonal
Clone ID
C4D204
Isotype
IgG1
Light Chains
kappa
Conjugate

Unconjugated

Purification
Protein A/G chromatography.
Concentration
1 mg/ml
Molecular Weight
192 kDa (predicted)
Product Form
Liquid
Formulation
Supplied in 10mM Phosphate Buffered Saline; without Sodium Azide and carrier free.
Storage
Shipped at 4°C. Upon delivery aliquot and store at -20°C. Avoid freeze / thaw cycles.
General Notes
This monoclonal antibody is also available in a different formulation with BSA and Sodium Azide - Anti-C4d Antibody [C4D204] (A250215).
Disclaimer
This product is for research use only. It is not intended for diagnostic or therapeutic use.
Publishing research using Anti-C4d Antibody [C4D204] - BSA and Azide free (A253395)? Please let us know so that we can list the citation on this page.

Alternative products to Anti-C4d Antibody [C4D204] - BSA and Azide free (A253395)