Primary Antibodies
Secondary Antibodies
Proteins & Peptides
ELISA Kits
About Us
Contact Us
Sign In/Register
0
ISO 9001:2015 Certified
Live Customer Support
4.5/5 on Trustpilot
100% Quality Guarantee
Home
Primary Antibodies
CAB39 Antibodies
Anti-CAB39 Antibody (A38080)
Anti-CAB39 Antibody (A38080)
Overview
Specifications
Images
Enlarge Image
Enlarge Image
$430
Product Datasheet
Rabbit polyclonal antibody to CAB39 for WB and IHC.
100% Guarantee
Price Match Guarantee
Product Size:
100µl
Quantity:
1
2
3
4
5
6
7
8
9
10
Add To Cart
Request a Quotation
Custom or Bulk Request
Shipping Information
Freight/Packing Charges:
$40
Dispatched from St. Louis, MO.
Lead Time: 6-9 business days.
Specifications
Name
Anti-CAB39 Antibody
Description
Rabbit polyclonal antibody to CAB39
Specificity
The antibody detects endogenous levels of total CAB39 protein.
Applications
WB
,
IHC
Reactivity
Human
Immunogen
Synthetic peptide corresponding to a region derived from internal residues of human calcium binding protein 39
Host
Rabbit
Clonality
Polyclonal
Conjugate
Unconjugated
Purification
Antigen affinity purification.
Concentration
2.9 mg/mL
Formulation
Supplied in PBS, pH 7.3, containing 0.05% sodium azide and 50% glycerol.
Storage
Shipped at 4°C. Upon delivery aliquot and store at -20°C. Avoid freeze/thaw cycles.
Synonyms
Calcium-binding protein 39, MO25, MO25alpha, Protein Mo25
Suitable Secondaries
Goat Anti-Rabbit IgG H&L Antibody (AP) (A294874)
Goat Anti-Rabbit IgG H&L Antibody (Biotin) (A294795)
Goat Anti-Rabbit IgG H&L Antibody (FITC) (A294887)
Goat Anti-Rabbit IgG H&L Antibody (HRP) (A294888)
See all Anti-Rabbit IgG Secondaries →
Disclaimer
This product is for research use only. It is not intended for diagnostic or therapeutic use.
Scientific Validation Data
Validation Data
(2)
Enlarge Image
Anti-CAB39 Antibody (A38080)
Gel: 8% SDS-PAGE Lysates (from left to right): 293T and LoVo cell, human brain malignant glioma tissue Amount of lysate: 40ug per lane Primary antibody: 1/450 dilution Secondary antibody dilution: 1/8000 Exposure time: 5 seconds
Enlarge Image
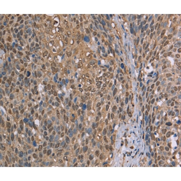
Immunohistochemistry - Anti-CAB39 Antibody (A38080)
Immunohistochemical analysis of paraffin-embedded Human cervical cancer tissue using #37736 at dilution 1/50.
Publishing research using Anti-CAB39 Antibody (A38080)? Please
let us know
so that we can list the citation on this page.
Alternative products to Anti-CAB39 Antibody (A38080)
A344877
Anti-CAB39 Antibody [25GB3880]
Recombinant rabbit monoclonal [25GB3880] antibody to CAB39 for WB, Flow Cytometry and ICC/IF.
A344876
Anti-CAB39 Antibody [24GB6950]
Recombinant rabbit monoclonal [24GB6950] antibody to CAB39 for WB, Flow Cytometry and ICC/IF.
A54643
Anti-CAB39 Antibody
Rabbit polyclonal antibody to CAB39 for ELISA, IP and WB.
A344877
Anti-CAB39 Antibody [25GB3880]
Recombinant rabbit monoclonal [25GB3880] antibody to CAB39 for WB, Flow Cytometry and ICC/IF.
A344876
Anti-CAB39 Antibody [24GB6950]
Recombinant rabbit monoclonal [24GB6950] antibody to CAB39 for WB, Flow Cytometry and ICC/IF.
A54643
Anti-CAB39 Antibody
Rabbit polyclonal antibody to CAB39 for ELISA, IP and WB.
Proteins predicted to interact with CAB39
Predicted protein interactions based upon String database. Revelancy score correlates with probability of interaction.
LKB1 Antibodies
99.9% Relevancy Score
ALS2CR2 Antibodies
99.9% Relevancy Score
LYK5 Antibodies
99.9% Relevancy Score
STK25 Antibodies
99.5% Relevancy Score
MST3 Antibodies
99.5% Relevancy Score
MST4 Antibodies
99.2% Relevancy Score
CAB39L Antibodies
97.7% Relevancy Score
AMPK alpha 1 Antibodies
93.3% Relevancy Score
AMPK alpha 2 Antibodies
92.8% Relevancy Score
Top