Primary Antibodies
Secondary Antibodies
Proteins & Peptides
ELISA Kits
About Us
Contact Us
Sign In/Register
0
ISO 9001:2015 Certified
Live Customer Support
4.5/5 on Trustpilot
100% Quality Guarantee
Home
Primary Antibodies
CABLES1 Antibodies
Anti-CABLES1 Antibody (A36844)
Anti-CABLES1 Antibody (A36844)
Overview
Specifications
Images
Enlarge Image
Enlarge Image
$430
Product Datasheet
Rabbit polyclonal antibody to CABLES1 for WB and IHC.
100% Guarantee
Price Match Guarantee
Product Size:
100µl
Quantity:
1
2
3
4
5
6
7
8
9
10
Add To Cart
Request a Quotation
Custom or Bulk Request
Shipping Information
Freight/Packing Charges:
$40
Dispatched from St. Louis, MO.
Lead Time: 6-9 business days.
Specifications
Name
Anti-CABLES1 Antibody
Description
Rabbit polyclonal antibody to CABLES1
Specificity
The antibody detects endogenous levels of total CABLES1 protein.
Applications
WB
,
IHC
Reactivity
Human, Mouse
Immunogen
Fusion protein corresponding to residues near the C terminal of human Cdk5 and Abl enzyme substrate 1
Host
Rabbit
Clonality
Polyclonal
Conjugate
Unconjugated
Purification
Antigen affinity purification.
Concentration
0.7 mg/mL
Formulation
Supplied in PBS, pH 7.3, containing 0.05% sodium azide and 50% glycerol.
Storage
Shipped at 4°C. Upon delivery aliquot and store at -20°C. Avoid freeze/thaw cycles.
Synonyms
CABLES, CDK5 and ABL1 enzyme substrate 1, Ik3-1, Interactor with CDK3 1
Suitable Secondaries
Goat Anti-Rabbit IgG H&L Antibody (AP) (A294874)
Goat Anti-Rabbit IgG H&L Antibody (Biotin) (A294795)
Goat Anti-Rabbit IgG H&L Antibody (FITC) (A294887)
Goat Anti-Rabbit IgG H&L Antibody (HRP) (A294888)
See all Anti-Rabbit IgG Secondaries →
Disclaimer
This product is for research use only. It is not intended for diagnostic or therapeutic use.
Scientific Validation Data
Validation Data
(2)
Enlarge Image
Anti-CABLES1 Antibody (A36844)
Gel: 6%SDS-PAGE Lysates (from left to right): Mouse brain and heart tissue, mouse liver tissue Amount of lysate: 40ug per lane Primary antibody: 1/350 dilution Secondary antibody dilution: 1/8000 Exposure time: 1 minute
Enlarge Image
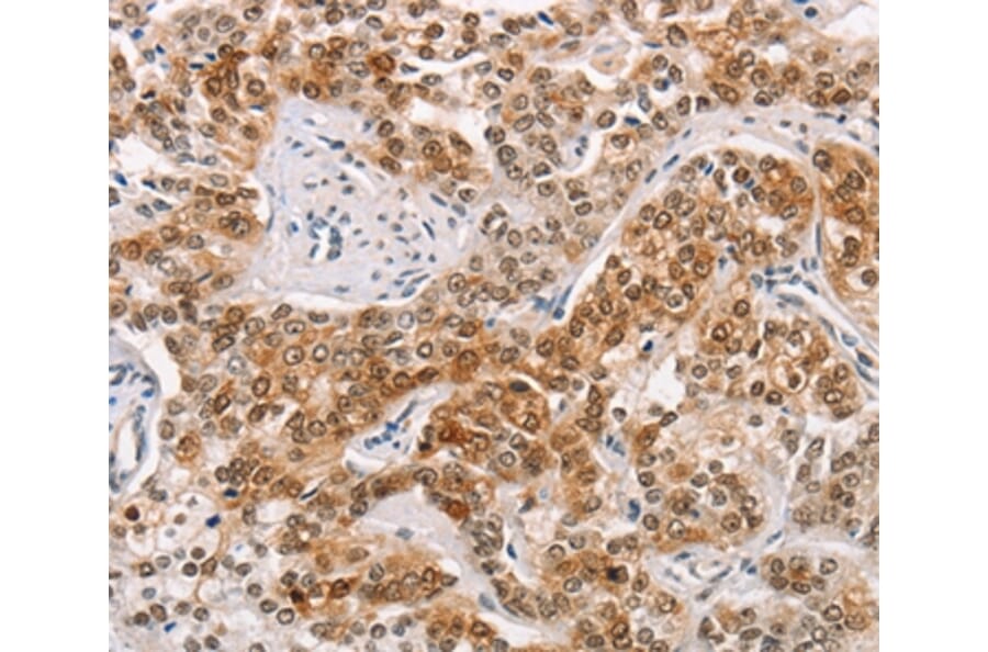
Immunohistochemistry - Anti-CABLES1 Antibody (A36844)
Immunohistochemical analysis of paraffin-embedded Human prostate cancer tissue using #36296 at dilution 1/15.
Publishing research using Anti-CABLES1 Antibody (A36844)? Please
let us know
so that we can list the citation on this page.
Alternative products to Anti-CABLES1 Antibody (A36844)
(2)
A26121
Anti-Cables1 (K588) Antibody
Rabbit polyclonal antibody to Cables1 (K588) for WB, IHC and IF.
(2)
A99072
Anti-Ik3-1 Antibody
Rabbit polyclonal antibody to Ik3-1 for WB, IHC, IF and ELISA.
A34338
Anti-Cables1 Antibody
Rabbit polyclonal antibody to Cables1 for WB, IHC, ICC/IF and ELISA.
A11288
Anti-CABLES1 Antibody
Rabbit polyclonal antibody to CABLES1 for WB and ELISA.
A42192
Anti-Ik3-1 Antibody
Rabbit polyclonal antibody to Ik3-1 for WB.
A344878
Anti-CABLES1 Antibody [24GB8085]
Mouse monoclonal [24GB8085] antibody to CABLES1 for WB.
(2)
A26121
Anti-Cables1 (K588) Antibody
Rabbit polyclonal antibody to Cables1 (K588) for WB, IHC and IF.
(2)
A99072
Anti-Ik3-1 Antibody
Rabbit polyclonal antibody to Ik3-1 for WB, IHC, IF and ELISA.
A34338
Anti-Cables1 Antibody
Rabbit polyclonal antibody to Cables1 for WB, IHC, ICC/IF and ELISA.
A11288
Anti-CABLES1 Antibody
Rabbit polyclonal antibody to CABLES1 for WB and ELISA.
A42192
Anti-Ik3-1 Antibody
Rabbit polyclonal antibody to Ik3-1 for WB.
A344878
Anti-CABLES1 Antibody [24GB8085]
Mouse monoclonal [24GB8085] antibody to CABLES1 for WB.
See all CABLES1 Antibodies
Proteins predicted to interact with CABLES1
Predicted protein interactions based upon String database. Revelancy score correlates with probability of interaction.
CDK5 Antibodies
96.9% Relevancy Score
CDK3 Antibodies
94.5% Relevancy Score
WEE1 Antibodies
93.6% Relevancy Score
CDK2 Antibodies
89.9% Relevancy Score
TDRD7 Antibodies
89.8% Relevancy Score
p53 Antibodies
86.4% Relevancy Score
FIBP Antibodies
83.6% Relevancy Score
PCTAIRE3 Antibodies
76.5% Relevancy Score
Cyclin A1 Antibodies
68.4% Relevancy Score
Top