Western Blot - Anti-CACNA1H Antibody [N55/10] (A304750)
Western blot analysis of rat brain membrane lysate (native) showing detection of ~261 kDa Cav3.2 protein using Anti-CACNA1H Antibody [N55/10] (A304750) at 1:1,000 for 2 hours at room temperature. Block: 2% Skim Milk + 2% BSA in TBST. The secondary antibody used was Anti-Mouse: HRP at 1:4000. Predicted/Observed Size: ~261 kDa.
Immunocytochemistry/Immunofluorescence analysis of human neuroblastoma cells (SH-SY5Y), fixed in 4% PFA for 15 min, using Anti-CACNA1H Antibody [N55/10] (A304750), at 1:50 for overnight at 4°C with slow rocking. The secondary antibody used was AlexaFluor 488 at 1:1,000 for 1 hour at room temperature. Counterstain: Phalloidin-iFluor 647 (red) F-Actin stain; Hoechst (blue) nuclear stain at 1:800, 1.6mM for 20 minutes at room temperature.(A) Hoechst (blue) nuclear stain. (B) Phalloidin-iFluor 647 (red) F-Actin stain. (C) Cav3.2 Antibody (D) Composite.
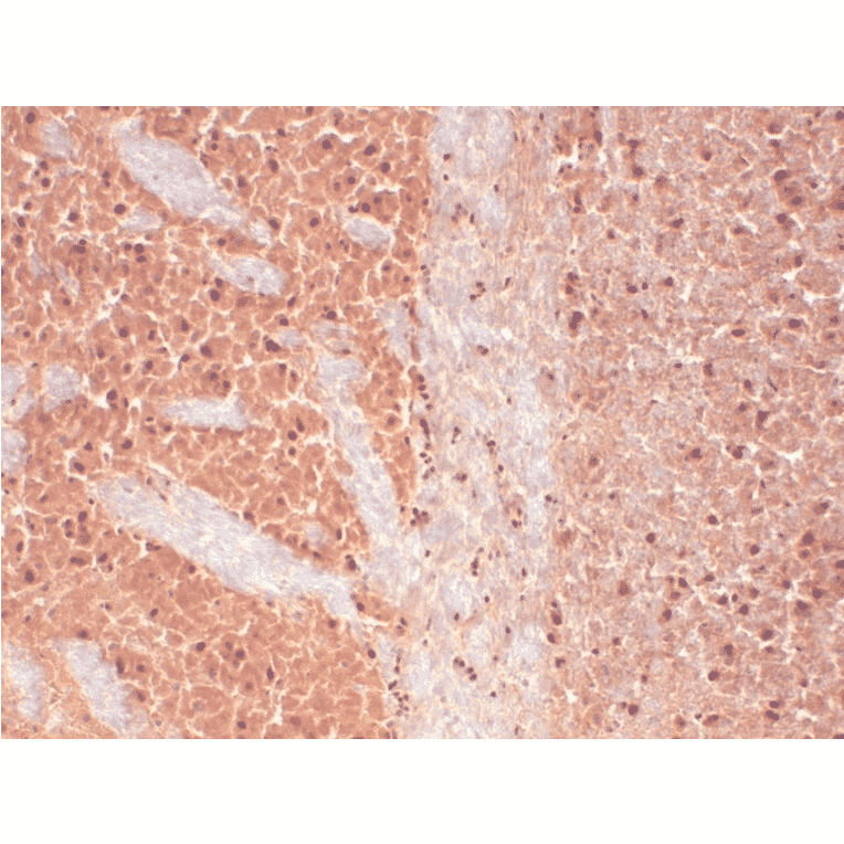
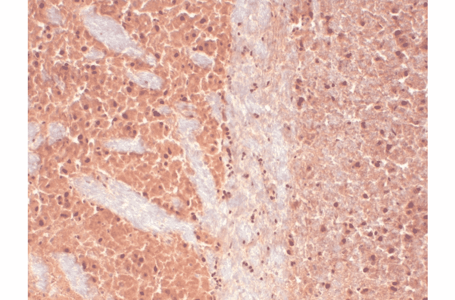
Immunohistochemistry analysis of human frozen brain section, fixed in 10% formalin solution for 12-24 hours at room temperature. The Primary Antibody used was Anti-CACNA1H Antibody [N55/10] (A304750) at 1:1,000 for 1 hour at room temperature. The secondary antibody used was HRP/DAB Detection System: Biotinylated Goat Anti-Mouse, Streptavidin Peroxidase, DAB Chromogen (brown) for 30 minutes at room temperature. Counterstain: Mayer Hematoxylin (purple/blue) nuclear stain at 250-500 µl for 5 minutes at room temperature.
Immunohistochemistry analysis of human hippocampus, fixed in Bouin's fixative solution and paraffin-embedded. The Primary Antibody used was Anti-CACNA1H Antibody [N55/10] (A304750) at 1:1,000 for 1 hour at room temperature. The secondary antibody used was FITC Goat Anti-Mouse (green) at 1:50 for 1 hour at room temperature.
Publishing research using Anti-CACNA1H Antibody [N55/10] (A304750)? Please let us know so that we can list the citation on this page.
Alternative products to Anti-CACNA1H Antibody [N55/10] (A304750)