Primary Antibodies
Secondary Antibodies
Proteins & Peptides
ELISA Kits
About Us
Contact Us
Sign In/Register
0
ISO 9001:2015 Certified
Live Customer Support
4.5/5 on Trustpilot
100% Quality Guarantee
Home
Primary Antibodies
CAD Antibodies
Anti-CAD Antibody (A48585)
Anti-CAD Antibody (A48585)
Overview
Specifications
Images
Enlarge Image
Enlarge Image
$780
Product Datasheet
Rabbit polyclonal antibody to CAD for ELISA, WB and IHC.
100% Guarantee
Price Match Guarantee
Product Size:
100µl
Quantity:
1
2
3
4
5
6
7
8
9
10
Add To Cart
Request a Quotation
Custom or Bulk Request
Shipping Information
Freight/Packing Charges:
$40
Dispatched from St. Louis, MO.
Lead Time: 6-9 business days.
Specifications
Name
Anti-CAD Antibody
Description
Rabbit polyclonal antibody to CAD
Applications
ELISA
,
WB
,
IHC
Reactivity
Mouse
Immunogen
Raised against a peptide corresponding to amino acids 314 to 329 of murine CAD.
Host
Rabbit
Clonality
Polyclonal
Conjugate
Unconjugated
Purification
Affinity chromatography purified via peptide column
Formulation
Supplied in phosphate-buffered saline with 0.02% Sodium Azide.
Storage
Shipped at 4°C. Upon delivery aliquot and store at -20°C. Avoid freeze/thaw cycles.
Synonyms
Carbamoyl phosphate synthetase 2-aspartate transcarbamylase-dihydroorotase, GATase, GLNase, Multifunctional protein CAD
Suitable Secondaries
Goat Anti-Rabbit IgG H&L Antibody (AP) (A294874)
Goat Anti-Rabbit IgG H&L Antibody (Biotin) (A294795)
Goat Anti-Rabbit IgG H&L Antibody (FITC) (A294887)
Goat Anti-Rabbit IgG H&L Antibody (HRP) (A294888)
See all Anti-Rabbit IgG Secondaries →
Disclaimer
This product is for research use only. It is not intended for diagnostic or therapeutic use.
Scientific Validation Data
Validation Data
(2)
Enlarge Image
Anti-CAD Antibody (A48585)
Western blot analysis of CAD in mouse lung (L) and kidney (K) tissue lysates with CAD antibody at 1: 500 dilution.
Enlarge Image
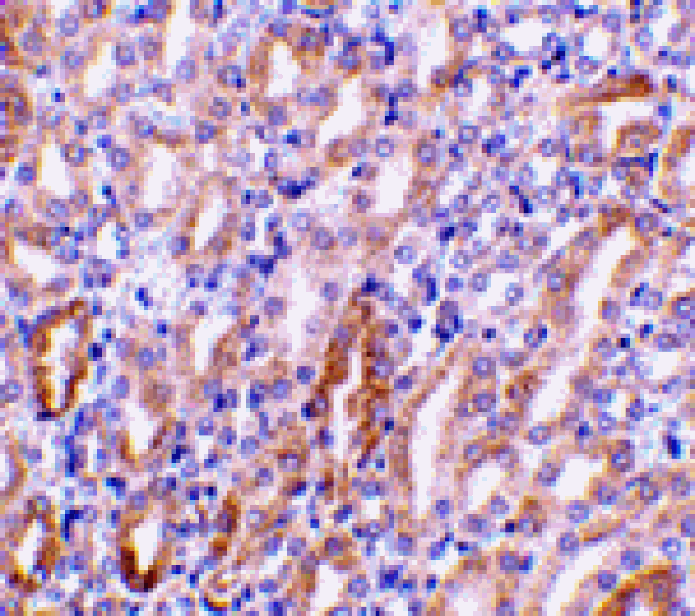
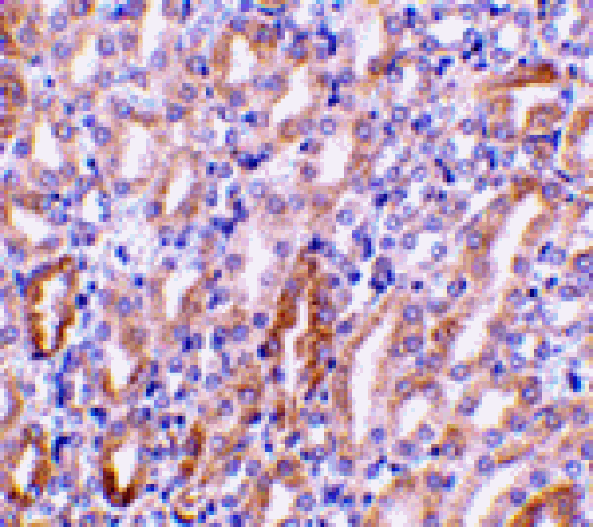
Immunohistochemistry - Anti-CAD Antibody (A48585)
Immunohistochemistry of CAD in mouse kidney tissue with CAD antibody at 1 µg/mL.
Publishing research using Anti-CAD Antibody (A48585)? Please
let us know
so that we can list the citation on this page.
Alternative products to Anti-CAD Antibody (A48585)
(2)
A48584
Anti-CAD Antibody
Rabbit polyclonal antibody to CAD for ELISA, WB and IHC.
A99482
Anti-CAD Antibody
Rabbit polyclonal antibody to CAD for IHC, IF and ELISA.
A94942
Anti-CAD (phospho Thr456) Antibody
Rabbit polyclonal antibody to CAD (phospho Thr456) for IHC, IF and ELISA.
(2)
A39045
Anti-CAD Antibody
Rabbit polyclonal antibody to CAD for WB and IHC.
A344881
Anti-CAD Antibody [25GB2240]
Recombinant rabbit monoclonal [25GB2240] antibody to CAD for WB, Flow Cytometry and ICC/IF.
A344880
Anti-CAD Antibody [23GB3075]
Recombinant rabbit monoclonal [23GB3075] antibody to CAD for WB, Flow Cytometry and ICC/IF.
A51466
Anti-CAD (Phospho-Thr456) Antibody
Rabbit polyclonal antibody to CAD (Phospho-Thr456) for IHC.
(2)
A48584
Anti-CAD Antibody
Rabbit polyclonal antibody to CAD for ELISA, WB and IHC.
A99482
Anti-CAD Antibody
Rabbit polyclonal antibody to CAD for IHC, IF and ELISA.
A94942
Anti-CAD (phospho Thr456) Antibody
Rabbit polyclonal antibody to CAD (phospho Thr456) for IHC, IF and ELISA.
(2)
A39045
Anti-CAD Antibody
Rabbit polyclonal antibody to CAD for WB and IHC.
A344881
Anti-CAD Antibody [25GB2240]
Recombinant rabbit monoclonal [25GB2240] antibody to CAD for WB, Flow Cytometry and ICC/IF.
A344880
Anti-CAD Antibody [23GB3075]
Recombinant rabbit monoclonal [23GB3075] antibody to CAD for WB, Flow Cytometry and ICC/IF.
A51466
Anti-CAD (Phospho-Thr456) Antibody
Rabbit polyclonal antibody to CAD (Phospho-Thr456) for IHC.
See all CAD Antibodies
Proteins predicted to interact with CAD
Predicted protein interactions based upon String database. Revelancy score correlates with probability of interaction.
DHODH Antibodies
99.4% Relevancy Score
ASS1 Antibodies
99.4% Relevancy Score
OTC Antibodies
97.5% Relevancy Score
Glutamine Synthetase Antibodies
96.7% Relevancy Score
AdSS 2 Antibodies
96.3% Relevancy Score
GFPT1 Antibodies
94.9% Relevancy Score
UMPS Antibodies
94.6% Relevancy Score
Asparagine Synthetase Antibodies
94.5% Relevancy Score
GFPT2 Antibodies
93.4% Relevancy Score
Top