ISO 9001:2015 Certified
Live Customer Support
4.5/5 on Trustpilot
100% Quality Guarantee

Anti-Cadherin 16 Antibody [SPM594] - BSA and Azide free (A251249)

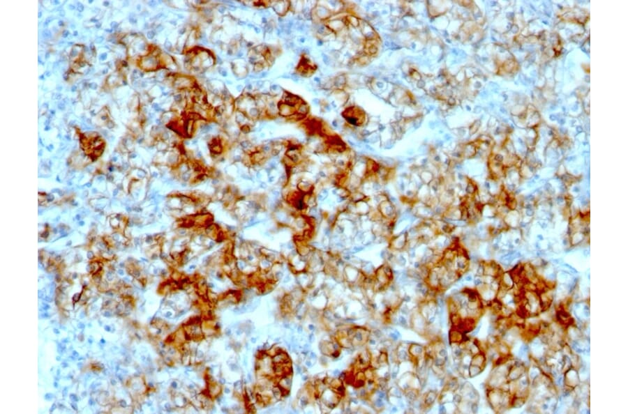
Mouse monoclonal [SPM594] antibody to Cadherin 16 for WB and IHC-P.

Alternative Formats and ConjugatesAlternative Formats

Shipping Information

$40
Dispatched from St. Louis, MO.
Lead Time: 5-8 business days.
Name
Anti-Cadherin 16 Antibody [SPM594] - BSA and Azide free
Description
Mouse monoclonal [SPM594] antibody to Cadherin 16.
Specificity
This antibody recognizes a protein of 130kDa, identified as Ksp-cadherin. Cadherins form a superfamily of related glycoproteins that mediate calcium-dependent cell adhesion and transmit signals from the extracellular matrix to the cytoplasm. Cadherins have been implicated in embryogenesis, tissue morphogenesis, tissue structure maintenance, cell polarization, neoplastic invasiveness and metastasis, and membrane transport. It is suggested that Ksp-cadherin is a marker for terminal differentiation of the basolateral membranes of renal tubular epithelial cells. Within the kidney, Ksp-Cadherin is found exclusively in the basolateral membrane of renal tubular epithelial cells and collecting duct cells, and not in glomeruli, renal interstitial cells, or blood vessels.Ksp-Cadherin has been suggested to distinguish Chromophobe Renal-Cell Carcinoma from Oncocytoma.
Applications
WB, IHC-P
Dilutions
WB: 1-2 µg/ml, IHC-P: 1-2 µg/ml
Reactivity
Human, Mouse, Rat, Rabbit, Canine
Immunogen
Recombinant full-length human CDH16 protein.
Host
Mouse
Clonality
Monoclonal
Clone ID
SPM594
Isotype
IgG1
Light Chains
kappa
Conjugate

Unconjugated

Purification
Protein A/G chromatography.
Concentration
1 mg/ml
Molecular Weight
130 kDa
Product Form
Liquid
Formulation
Supplied in 10mM Phosphate Buffered Saline; without Sodium Azide and carrier free.
Storage
Shipped at 4°C. Upon delivery aliquot and store at -20°C. Avoid freeze / thaw cycles.
General Notes
This monoclonal antibody is also available in a different formulation with BSA and Sodium Azide - Anti-Cadherin 16 Antibody [SPM594] (A248066).
Synonyms
CAD16_HUMAN, Cadherin 16 KSP cadherin, Cadherin kidney, Cadherin-16, CDH 16, CDH16, Kidney cadherin, Kidney specific cadherin, Kidney-specific cadherin, Ksp cadherin, Ksp-cadherin, PRO1340, UNQ695
Disclaimer
This product is for research use only. It is not intended for diagnostic or therapeutic use.
Publishing research using Anti-Cadherin 16 Antibody [SPM594] - BSA and Azide free (A251249)? Please let us know so that we can list the citation on this page.

Alternative products to Anti-Cadherin 16 Antibody [SPM594] - BSA and Azide free (A251249)